Найти в Дзене

Молочные зубы растут криво, что делать

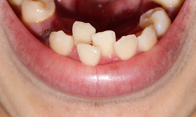
Появление первого зубика – это всегда важное событие в жизни родителя и ребёнка, но что делать, если он растёт криво? А если ещё и следующие зубки тоже не выглядят ровными? Нужно ли беспокоиться? Рассказываем в деталях. Прежде всего, не паникуйте: в момент роста молочные зубы часто «смотрят в сторону», это вполне может быть вариантом нормы. Если ситуация обстоит именно так, то со временем зубы выровняются, и у вашего ребёнка будет очаровательная улыбка. Однако бывает и так, что зубы растут криво из-за патологии развития или под воздействием внешних факторов. Это могут быть: Бывает и так, что зубы растут неправильно из-за наследственности или нарушений развития – например, челюсти слишком маленькие и зубкам просто не хватает места. Если прикус развивается с нарушениями, их обязательно нужно корректировать, причём чем раньше, тем лучше. Поэтому, хотя кривые молочные зубы могут быть вариантом нормы, мы настоятельно рекомендуем при любых сомнениях сходить на приём к стоматологу. В «Руссден

Появление первого зубика – это всегда важное событие в жизни родителя и ребёнка, но что делать, если он растёт криво? А если ещё и следующие зубки тоже не выглядят ровными? Нужно ли беспокоиться? Рассказываем в деталях.

Прежде всего, не паникуйте: в момент роста молочные зубы часто «смотрят в сторону», это вполне может быть вариантом нормы. Если ситуация обстоит именно так, то со временем зубы выровняются, и у вашего ребёнка будет очаровательная улыбка.

Однако бывает и так, что зубы растут криво из-за патологии развития или под воздействием внешних факторов. Это могут быть:

  • Постоянное сосание пальца или соски, такая привычка способна испортить прикус с самых ранних лет.
  • Питание жидкой пищей: кашами, смесями и т. д. Когда у малыша появляются зубы, ему обязательно нужно давать жевательную нагрузку – в рационе должны присутствовать твёрдые продукты.
  • Ротовое дыхание. Если челюсти постоянно разомкнуты, это напрямую влияет на положение зубов, мешает им расти правильно.

Бывает и так, что зубы растут неправильно из-за наследственности или нарушений развития – например, челюсти слишком маленькие и зубкам просто не хватает места.

-2

Если прикус развивается с нарушениями, их обязательно нужно корректировать, причём чем раньше, тем лучше. Поэтому, хотя кривые молочные зубы могут быть вариантом нормы, мы настоятельно рекомендуем при любых сомнениях сходить на приём к стоматологу.

В «Руссдент» такие консультации бесплатны: записывайтесь, посмотрим вашего малыша, дадим объективную оценку ситуации. Не затягивайте: нарушения прикуса в раннем возрасте влияют на развитие всего челюстно-лицевого аппарата, могут исказить пропорции лица и в целом создать массу проблем.

Ждём на приёме: +7 861 730-23-67.

#медицина #стоматология #Здоровье ребёнка #маме