Найти в Дзене

КТ легких при коронавирусе: когда важно пройти и чем заменить диагностику?

В каких случаях необходимо исследование? С каким интервалом можно проводить процедуры? Чем заменить компьютерную томографию в случае имеющихся относительных противопоказаний? Компьютерная томография, проводимая при диагностированной коронавирусной инфекции, является эффективным методом выявления патологического процесса в легких. Трехмерная визуализация помогает оценить степень поражения, назначить медикаментозное лечение вирусной пневмонии, тем самым свести к минимуму риск возможных осложнений. Также КТ помогает проконтролировать эффективность пройденной терапии. Разбираемся подробнее. Когда назначают КТ при коронавирусе Ввиду лучевой нагрузки на организм КТ не проводят в профилактических целях. Основные показания к исследованию: Для получения клинической картины КТ делают на 5-7 день после проявления симптомов болезни. Обследование в обязательном порядке проводят при тяжелом и среднетяжелом течении COVID-19. Клиническая практика показывает, что наиболее частым и характерным признаком
Оглавление

В каких случаях необходимо исследование? С каким интервалом можно проводить процедуры? Чем заменить компьютерную томографию в случае имеющихся относительных противопоказаний?

Компьютерная томография, проводимая при диагностированной коронавирусной инфекции, является эффективным методом выявления патологического процесса в легких. Трехмерная визуализация помогает оценить степень поражения, назначить медикаментозное лечение вирусной пневмонии, тем самым свести к минимуму риск возможных осложнений. Также КТ помогает проконтролировать эффективность пройденной терапии. Разбираемся подробнее.

Когда назначают КТ при коронавирусе

Ввиду лучевой нагрузки на организм КТ не проводят в профилактических целях. Основные показания к исследованию:

  • положительный результат анализа или ПЦР-теста для уточнения степени поражения легких и необходимости госпитализации
  • ощущение сдавливания в грудной клетке, появления симптомов затрудненного дыхания, одышки или непродуктивного кашля
  • ухудшения общего состояния больного с повышением фебрильной температуры, признаками интоксикации
  • уровень сатурации крови кислородом менее 95% по показаниям пульсоксиметра
  • дифференциальная диагностика вирусной пневмонии от других видов

Для получения клинической картины КТ делают на 5-7 день после проявления симптомов болезни. Обследование в обязательном порядке проводят при тяжелом и среднетяжелом течении COVID-19.

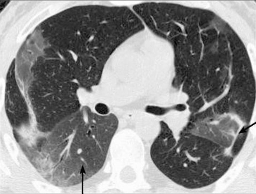
Клиническая практика показывает, что наиболее частым и характерным признаком патологических изменений в легочной ткани при COVID-19 на снимках КТ является наличие симптома «матового стекла». При прогрессировании процесса зоны «матового стекла» трансформируются в участки консолидации (уплотнение легочной ткани), которые при неблагоприятном течении заболевания вовлекают большие объемы легочной ткани.

Зоны "матового стекла" можно отчетливо увидеть на снимке КТ
Зоны "матового стекла" можно отчетливо увидеть на снимке КТ

Как проходит процедура

Пациент ложится на выдвижной стол томографа, который помещают внутрь вращающегося кольца. Рентгеновская труба аппарата подает веерообразный пучок лучей, которые проходят сквозь тело. Высокочувствительные датчики считывают ответ тканей организма и передают на аналогово-цифровой преобразователь. Затем данные передаются на компьютер для последующей распечатки изображений.

Процедура не сопряжена с дискомфортом для пациента
Процедура не сопряжена с дискомфортом для пациента

Кольцо томографа открытое, не вызывает ощущения замкнутого пространства у пациентов с клаустрофобией. Также отсутствуют шумовые эффекты, дискомфорт и неприятные ощущения.

Во время обследования требуется сохранение полной неподвижности, по предупреждению рентгенолога необходима кратковременная задержка дыхания для четкости получаемого изображения. Длительность процедуры обследования легких 15-20 минут.

Есть ли вред от КТ-излучения

КТ относят к рентгенографическому исследованию, которое делает 256 кадров в минуту. Следственно, по сравнению с обычным рентгеном, лучевая нагрузка на организм повышена. Выполняя томограмму органов грудной клетки, человек получает дозу облучения 11 мЗв. Допустимый годовой показатель равен 20, а в некоторых случаях 50 мЗв.

Поэтому компьютерная томография абсолютно безопасна и не влечет вредоносных последствий для организма. Но стоит придерживаться врачебных рекомендаций — соблюдение полугодового перерыва между обследованиями. Исключение составляет жизненно важные показания к срочному проведению КТ — в период с 2 недель до 3 месяцев.

Противопоказания к проведения КТ

Противопоказания к компьютерной томографии разделяют на абсолютные и относительные. К абсолютным относят:

  • предполагаемую и подтвержденную беременность
  • детский возраст до 5 лет

Относительными противопоказаниями считают вес обследуемого свыше 150 кг и диаметр апертуры грудной клетки свыше 70 см.

Что может заменить КТ легких

Заменой КТ при коронавирусе служит рентгенография. Если КТ дает объемные трехмерные снимки исследуемой области, то простой рентген — делают в одной проекции, получая в результате плоское изображение. Качество снимков рентгенографии гораздо хуже результатов томограммы, но также дает возможность выявить наличие пневмонии.

Благодаря методике веерного прохождения рентгеновских лучей, КТ более информативна, помогает выявить локализацию, степень поражения и распространения фиброзных изменений. Другими словами, это более тонкая и точная диагностика.

При невозможности проведения КТ или рентгена рекомендован вспомогательный способ диагностики — УЗИ сканирование тканей легких. Ультразвуковое исследование обычно назначают тяжелым пациентам при необходимости многократной оценки легочной паренхимы.

Компьютерная томография общепризнанно считается основным методом оценки поражения легочной паренхимы. При невозможности проведения исследования альтернативой (хоть и менее информативной) может стать МРТ — безопасная и не имеющая лучевой нагрузки. Метод позволяет получить дополнительную патогенетическую информацию при тяжелых и затяжных формах заболевания и вторичной бактериальной инфекции.

#медицина #здоровье #организм #коронавирус #болезни

Читайте также:

Последствия COVID-19, как не пропустить осложнения?

Причины хронической усталости: постковидный синдром и другие «сигналы» организма

Пропало обоняние: основные причины нарушения (не только COVID)