Найти в Дзене

Ортопантомограмма: особенности панорамного снимка зубов

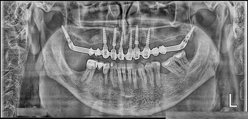
Ортопантомография дает более развернутую картину качественного и количественного изменения костных тканей, чем радиовизиография и более доступна, чем дентальная томография. Более чем в половине клинических случаев диагностических данных ортопантомограммы достаточно для уточнения диагноза и выбора метода лечения. Диагностические особенности панорамных снимков В терапии, стоматологической ортопедии, ортодонтии и хирургии панорамные снимки зубов решают одновременно две задачи: Ортопантомограмма дает четкое, неискаженное по форме изображение зубов. На нем хорошо видны полости, кариозные дефекты, периодонтальные щели, кисты, гранулемы, следы переломов, участки воспалений, опухолевые процессы. Снимок не определяет толщину и наклон альвеолярных отростков, зато отчетливо показывает ход костных балок, очаги резорбции и остеопороза, каналы артерий. Хорошо определяется взаиморасположение корней зубов и имплантатов, высота и ширина зубочелюстных структур. У пациентов с удаленными зубами панорамный
Оглавление

Ортопантомография дает более развернутую картину качественного и количественного изменения костных тканей, чем радиовизиография и более доступна, чем дентальная томография. Более чем в половине клинических случаев диагностических данных ортопантомограммы достаточно для уточнения диагноза и выбора метода лечения.

Диагностические особенности панорамных снимков

В терапии, стоматологической ортопедии, ортодонтии и хирургии панорамные снимки зубов решают одновременно две задачи:

  1. Повышают эффективность диагностики.
  2. Определяют выбор методов лечения.

Ортопантомограмма дает четкое, неискаженное по форме изображение зубов. На нем хорошо видны полости, кариозные дефекты, периодонтальные щели, кисты, гранулемы, следы переломов, участки воспалений, опухолевые процессы. Снимок не определяет толщину и наклон альвеолярных отростков, зато отчетливо показывает ход костных балок, очаги резорбции и остеопороза, каналы артерий. Хорошо определяется взаиморасположение корней зубов и имплантатов, высота и ширина зубочелюстных структур. У пациентов с удаленными зубами панорамный снимок объективно отражает процесс восстановления костных структур и перестройку костной ткани.

Благодаря показателям истинной высоты межальвеолярных перегородок, ортопантомограмма дает исчерпывающий диагностический материал при оценке степени генерализованного пародонтита – на снимках четко очерчены участки резорбции, очаги разрушенной ткани. Съемка в динамике очень показательна при определении активности костной деградации, а при направленной тканевой регенерации помогает оценить возможность имплантации и обосновать выбранную тактику лечения.

-2

У детей и подростков по панорамному снимку врач определит характер прорезывания, созревания и минерализации зачатков постоянных зубов. Увидит, есть ли дистония и ретенция, на ранней стадии оценит степень формирования корней и спрогнозирует прорезывание будущих зубов.

-3

С другой стороны, из-за особенностей панорамного снимка двухмерное изображение дает небольшие плоскостные искажения, в связи с чем на ОПТГ височно-нижнечелюстного сустава обнаруживаются только грубые костные дефекты. Дисфункции сочленений отображаются нечетко. Слабо видна внутренняя стенка верхнечелюстного синуса и практически не захватываются стенки орбит. Дополнительные диагностические материалы – 3D-снимки или телерентгенограммы – нужны и при подозрении на сложные зубочелюстные аномалии, лечение зубов при деформациях лицевой части черепа, сочетанных патологиях зубов и ВНЧС.

Чтобы закрыть весь объем исследований в один подход производители предлагают ортопантомографы с 3D режимом и цефалостатом. У KaVo это OP 3D 9х11Ø/9х14Ø см - компьютерный томограф с цефалостатом с функционалом панорамных снимков, телерентгенограмм и 3D-режимом. У Genoray – модель Papaya 3D Plus 16x8 - компьютерный томограф с цефалостатом. В режиме 3D аппарат позволяет получить изображение размером 16Øх8 см или 16Øх14 см (опция), цефалостат дает изображение 24х30 см, режим «PAN» позволяет получить классический панорамный снимок высокого качества.

-4

Но даже если не брать в расчет оборудование 2 в 1 или 3 в 1, большинство моделей цифровых ортопантомографов повышают диагностическую ценность снимков за счет коррекции характеристик изображения: увеличивать нужные зоны, менять контраст, устанавливать псевдоцветный и рельефный режимы. Этого достаточно для стандартных клинических случаев в эндодонтии, стоматологической хирургии, ортопедического, ортодонтического, гнатологического лечения и междисциплинарного подхода к решению неврологических и косметологических проблем.

Информация носит ознакомительный характер.

Углубимся в тему? Читайте другие статьи по этому вопросу:

3D-снимки в эндодонтии, ортопедии и ортодонтии

Цифровое моделирование зубов

Цифровая рентгенография в стоматологии

Программные продукты для стоматологии

Технологии XXI века, изменившие качество лечения зубов

Больше полезных материалов о стоматологии читайте у нас на Facebook и в Instagram, следите за новыми публикациями на канале в Яндекс. Дзен — впереди много интересного!

Для комплектации клиники или покупки стоматологического оборудования в кабинет позвоните по телефону 8 800 700 80 58, напишите нам по электронной почте info@dentex.ru или через форму заказа обратного звонка на сайте. Мы подберем оборудование нужной мощности, производительности и комплектации, предложим лучшую цену и удобную доставку.

#стоматология #стоматологическое оборудование #стоматологические материалы #советы стоматологам #полезно стоматологам #забота о зубах #полезно для зубов #купить стоматологическое оборудование #большой выбор оборудования для клиник