Добавить в корзинуПозвонить
Найти в Дзене
Алексей Сивухин

О работе иммунитета простыми словами (часть 3)

Теперь мы приблизительно представляем, как работает начальное звено иммунного ответа. Вкратце напомню, что существуют большие лейкоциты (особые клетки крови), которые могут сожрать не понравившуюся им бактерию. Они называются макрофагами. Затем кусочек этой бактерии (антиген) они выставляют напоказ, чтобы Т-лимфоцит (часть иммунной системы, отвечающая за клеточный специфический иммунитет) смог с этим кусочком познакомиться. Если этот лимфоцит оказывается идентичным антигену, то он начинает делиться и звать на помощь другие клетки. С этим вроде бы разобрались. Но кроме Т-звена существует ещё и В-звено. Взглянем на него пристальнее (Рис 1). В-лимфоциты являются родными братьями Т-лимфоцитов, потому что созревают из того же лимфобластного предшественника. Но их функции значительно отличаются. Если Т-клетки отвечают за клеточный иммунитет, то В-клетки – за гуморальный. Гуморальный – значит «растворимый». Имеется в виду, что вещества, которые продуцируются В-лимфоцитами, плавают в крови ка

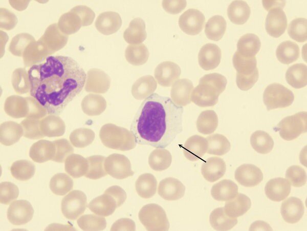
Теперь мы приблизительно представляем, как работает начальное звено иммунного ответа. Вкратце напомню, что существуют большие лейкоциты (особые клетки крови), которые могут сожрать не понравившуюся им бактерию. Они называются макрофагами. Затем кусочек этой бактерии (антиген) они выставляют напоказ, чтобы Т-лимфоцит (часть иммунной системы, отвечающая за клеточный специфический иммунитет) смог с этим кусочком познакомиться. Если этот лимфоцит оказывается идентичным антигену, то он начинает делиться и звать на помощь другие клетки. С этим вроде бы разобрались. Но кроме Т-звена существует ещё и В-звено. Взглянем на него пристальнее (Рис 1).

Рис. 1. В-лимфоцит среди эритроцитов. Слева - фагоцит.
Рис. 1. В-лимфоцит среди эритроцитов. Слева - фагоцит.

В-лимфоциты являются родными братьями Т-лимфоцитов, потому что созревают из того же лимфобластного предшественника. Но их функции значительно отличаются. Если Т-клетки отвечают за клеточный иммунитет, то В-клетки – за гуморальный. Гуморальный – значит «растворимый». Имеется в виду, что вещества, которые продуцируются В-лимфоцитами, плавают в крови как бы независимо от клеток, и это напоминает раствор. Название этих веществ вам хорошо известно – иммуноглобулины. Их ещё называют антителами. В чём же их функция? Всё очень просто. Когда антиген поступает в организм и В-система узнаёт об этом, лимфоциты начинают продуцировать антитела, представляющие собой белковые молекулы, подходящие к конкретному антигену, как ключ к замку. Затем антитела облепляют этот антиген (например, набрасываются со всех сторон на бактерию), словно помечая его. Такая связка «антиген+антитело» называется иммунным комплексом. Это тут же замечают макрофаги, для которых скопление антител означает сигнал к новой порции вкусной еды, и отправляются к месту вторжения. У иммуноглобулинов есть ещё несколько функций, например, они являются рецепторами на поверхности некоторых клеток нашего тела (про рецепторы и их функции мы говорили во втором посте). Плюс ко всему, облепляя бактерию, они нейтрализуют выделяемые ей токсины. У человека аж целых 5 классов иммуноглобулинов: IgG, IgA, IgM, IgD, IgE. Отличаются они по строению, составу и функциям. Рассмотрим каждый класс немного подробнее.

IgG является основным иммуноглобулином здорового человека (составляет 70-75 % всей фракции иммуноглобулинов). Благодаря своим крошечным (по сравнению с другими классами) размерам, он способен проходить через плацентарный барьер, обеспечивая врождённый иммунитет плода.

IgM появляется при первичном иммунном ответе B-лимфоцитами на ранее неизвестный антиген, выводится на их поверхность и становится рецептором к этому антигену.

Основной функцией IgA является защита слизистых оболочек дыхательных, мочеполовых путей и желудочно-кишечного тракта от инфекций.

IgD самый загадочный – его функции до конца не выяснены, но он обнаруживается преимущественно на мембране зрелых В-лимфоцитов.

IgE отвечает за аллергические реакции, связываясь с гранулоцитами (см. первый пост) и заставляя их выбрасывать гистамин после того, как соответствующий антиген образует иммунный комплекс.

Что же должно произойти, чтобы началась выработка антител? Помните про антигенпрезентирующую функцию макрофагов? Так вот, иногда В-лимфоциты тоже могут поглощать антигены и экспрессировать их на своей поверхности. Казалось бы, им-то это зачем? Почему бы сразу не начать выделять иммуноглобулины? Но всему есть объяснение. Представим, что в организм случайно попал какой-нибудь отдельный кусочек бактерии, он встретился В-лимфоциту, тот увидел в нём угрозу и сразу же стал продуцировать огромное количество антител. Одно из этих антител связалось с попавшим антигеном. А куда девать все остальные? Может так случиться, что они даже начнут повреждать собственные ткани, подобно тому, как солдаты, оставшись без приказов, начинают устраивать дебоши в захваченном городе. Это будет одна из форм аутоиммунных заболеваний. В норме же В-лимфоцит, даже поглотивший антиген, ещё не активируется. Это произойдёт лишь тогда, когда ему на пути встретится Т-хелпер, активированный точно таким же антигеном, что является гарантией большого количества попавших в организм чужеродных элементов. Вот тогда уже довольный В-лимфоцит превращается в плазматическую клетку и продуцирует иммуноглобулины (Рис. 2).

Рис. 2. Активация В-лимфоцита
Рис. 2. Активация В-лимфоцита

Но хелпер может активировать его и «дистанционно», выделяя особые вещества – цитокины. Тогда В-лимфоциту необязательно лично встречаться с антигеном заранее.

Часть В-клеток станет клетками памяти, чтобы в следующий раз, при встрече с тем же антигеном, сразу начать выработку антител, не теряя драгоценного времени.