Добавить в корзинуПозвонить
Найти в Дзене
Юлия Селютина

Скол молочного зуба: всегда ли нужен наркоз?

Невероятно классный, показательный случай — не могу не поделиться! Малышу всего 4 года. Скол бокового резца + уже до этого был кариес и на внешней, и на внутренней стороне. Зуб можно и нужно восстановить! Прием вела детский стоматолог Светлана Кожемякина. ❗БЕЗ НАРКОЗА! Ребенок находился в сознании. Зуб лечили и восстанавливали под местной анестезией. Вот что значит мягкий и грамотный подход. Мы всегда стараемся сделать всё возможное, чтобы избежать сложных манипуляций (по мере возможности, конечно). Наркоз не всегда показан даже таким малышам. Всегда сначала нужно попробовать договориться и наладить контакт. Тем более если объем вмешательства небольшой, как в нашем случае. При травме зуба окончательный вердикт можно вынести только на основании снимка. Важно проконтролировать, в каком состоянии корень зуба, нет ли трещины. А скол коронки восстанавливаем реставрацией. ИМЕЮТСЯ ПРОТИВОПОКАЗАНИЯ. НЕОБХОДИМА КОНСУЛЬТАЦИЯ СПЕЦИАЛИСТА.

Невероятно классный, показательный случай — не могу не поделиться!

Малышу всего 4 года.

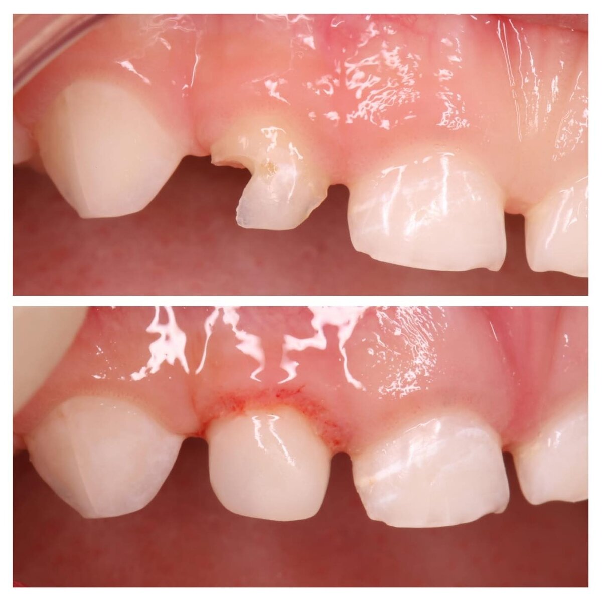
Скол бокового резца + уже до этого был кариес и на внешней, и на внутренней стороне.

Зуб можно и нужно восстановить!

Вид изнутри
Вид изнутри

Прием вела детский стоматолог Светлана Кожемякина.

❗БЕЗ НАРКОЗА!

Ребенок находился в сознании.

Зуб лечили и восстанавливали под местной анестезией.

Вот что значит мягкий и грамотный подход.

Мы всегда стараемся сделать всё возможное, чтобы избежать сложных манипуляций (по мере возможности, конечно).

Наркоз не всегда показан даже таким малышам.

Всегда сначала нужно попробовать договориться и наладить контакт.

Тем более если объем вмешательства небольшой, как в нашем случае.

При травме зуба окончательный вердикт можно вынести только на основании снимка.

Важно проконтролировать, в каком состоянии корень зуба, нет ли трещины.

А скол коронки восстанавливаем реставрацией.

ИМЕЮТСЯ ПРОТИВОПОКАЗАНИЯ. НЕОБХОДИМА КОНСУЛЬТАЦИЯ СПЕЦИАЛИСТА.

-2