Найти в Дзене
Стоматология Smile-at-Once

Как мне сделали наращивание зубов и что из этого вышло: рассказ пациентки

Один неудачный укус – и вот краешка переднего зуба нет. Некрасиво и не очень понятно, что с этим делать. Именно в такой ситуации оказалась наша пациентка Надежда. Исправить недочет нужно было быстро, но как? Коронкой? Наши врачи предложили восстановить форму зуба композитным материалом. О том, довольна ли Надежда лечением, внешним видом и функциональностью восстановленных зубов, рассказывает она сама. Правда, в отличие от других наших историй, здесь мы по просьбе пациентки не публикуем ее фото. Как появилась проблема с зубами — Мои проблемы все-таки не из детства. Тогда моих подружек восхищали наряды принцесс, а я засматривалась на красивые улыбки детских героинь. Мне тоже хотелось обладать белозубой и широкой улыбкой. Мама регулярно водила меня к стоматологу, и страха не было особо. Я приучилась правильно чистить зубы и беречь их. Но вот насчет красоты – увы. Зубы мне достались желтоватые, я их стеснялась. Дальше, наверное, как у всех. После университета я вышла замуж, родила двоих де
Оглавление

Один неудачный укус – и вот краешка переднего зуба нет. Некрасиво и не очень понятно, что с этим делать. Именно в такой ситуации оказалась наша пациентка Надежда. Исправить недочет нужно было быстро, но как? Коронкой?

Наши врачи предложили восстановить форму зуба композитным материалом. О том, довольна ли Надежда лечением, внешним видом и функциональностью восстановленных зубов, рассказывает она сама. Правда, в отличие от других наших историй, здесь мы по просьбе пациентки не публикуем ее фото.

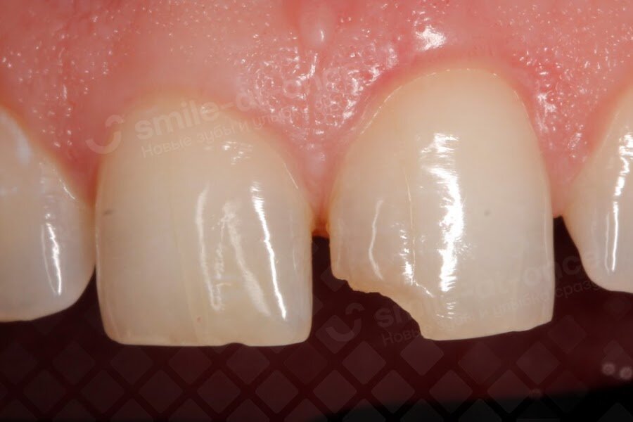
Сколы на резцах часто появляются, если разгрызать или поддевать зубами что-либо жесткое – скорлупу орехов, бутылочные пробки, нитки и др. Фото: Smile-at-Once.ru.
Сколы на резцах часто появляются, если разгрызать или поддевать зубами что-либо жесткое – скорлупу орехов, бутылочные пробки, нитки и др. Фото: Smile-at-Once.ru.

Как появилась проблема с зубами

— Мои проблемы все-таки не из детства. Тогда моих подружек восхищали наряды принцесс, а я засматривалась на красивые улыбки детских героинь. Мне тоже хотелось обладать белозубой и широкой улыбкой. Мама регулярно водила меня к стоматологу, и страха не было особо. Я приучилась правильно чистить зубы и беречь их. Но вот насчет красоты – увы. Зубы мне достались желтоватые, я их стеснялась.

В детстве Надежда хотела равняться на героинь любимых фильмов и сказок, иметь такую же открытую улыбку. Фото: Яндекс.Картинки.
В детстве Надежда хотела равняться на героинь любимых фильмов и сказок, иметь такую же открытую улыбку. Фото: Яндекс.Картинки.

Дальше, наверное, как у всех. После университета я вышла замуж, родила двоих детей. Женщины после родов часто теряют зубы, но у меня пока все на месте, к счастью. Но немного все-таки они разрушились. Из двух вылеченных зубов выпали пломбы, и еще откололись небольшие кусочки от передних зубов – вот это было не очень.

Руки не доходили исправить проблему. Меня другие мамы хорошо поймут. Маленькие дети, муж каждый день на работе, все время находились более важные дела и куда потратить деньги. Было не до лечения. И стоматологии в нашем маленьком городке не внушают мне доверия, честно говоря.

Я надеялась, что займусь своей улыбкой позже, обещала себе и откладывала. А однажды нас с мужем пригласили на корпоратив на его работе. Я тогда много общалась с его коллегами и смеялась. Заметила, что на меня как-то удивленно поглядывают. Не сразу поняла, что окружающие видят мои сколотые зубы во рту. Мне стало стыдно. Дома решила, надо отложить все дела и взяться за лечение как можно быстрее.

В Москву за новой улыбкой

— За новыми зубами я решила ехать в Москву. До столицы на машине три часа, а выбор стоматологий гораздо больше. Посоветовалась с мужем, отложили деньги. Я почему-то была уверена, что придется ставить коронки, и настраивалась, что будет дорого.

Многие люди предпочитают приехать из области в Москву, чтобы пройти качественное лечение. Фото: Яндекс.Картинки.
Многие люди предпочитают приехать из области в Москву, чтобы пройти качественное лечение. Фото: Яндекс.Картинки.

Я присмотрела несколько клиник, читала отзывы. Smile-at-Once тоже нашла в интернете. Конечно, было волнительно – едем в другой город, к незнакомым врачам. Хотелось быть уверенной, что после лечения все будет хорошо, меня не бросят, если что.

На консультации в Smile-at-Once я поняла, что здесь и останусь лечиться. Скрупулезный, дотошный подход! Подкупило, что есть гарантии и выбор, очень подробно объясняют каждую деталь, сразу становится все ясно про свои зубы. Врач после осмотра и оценки рентген-снимка предложил мне несколько вариантов, как поправить улыбку. Оказалось, что коронки ставить необязательно. Можно восстановить зубы винирами или даже сразу нарастить недостающий кусочек на зубе.

Наращивание по технологии схоже с установкой пломб. Фото: Smile-at-Once.ru.
Наращивание по технологии схоже с установкой пломб. Фото: Smile-at-Once.ru.

Почему именно наращивание?

— Я выбрала наращивание специальным материалом. Мне честно сказали, что по сравнению с винирами из керамики этот вариант будет не такой долговечный. Прослужит не 20-30, а до 10 лет. Но зато его сделают за одно посещение прямо на моих зубах. Не нужно будет ждать несколько дней виниры из лаборатории, примерять, а потом ставить окончательно. И не придется приезжать несколько раз. Это было то, что надо – с маленькими детьми проблематично часто ездить не только из области в Москву, но и в принципе выбираться из дома.

Я рассудила, что скорость для меня важнее. Сразу смогу вернуться домой. К тому же, на реставрацию мне дали гарантии, материалы хорошие, крепкие, прослужат не один год. А к установке керамических виниров я смогу вернуться позже, когда будет посвободнее со временем и финансами.

Новая жизнь не началась, но…

— Ощущения после лечения? Ну, моя жизнь не поменялась на 180 градусов, конечно. Я жена и мама в декрете, готовлюсь снова выйти на работу бухгалтером. Но теперь не боюсь, что моя улыбка кого-то шокирует на работе.

Близкие заметили, что улыбка стала лучше, делают комплименты. Я и сама себе чаще улыбаюсь теперь. Потерянные кусочки нарастили так, что я не могу отличить, где граница с искусственным материалом. Очень здорово подобрали цвет!

Ем как обычно. Твердые вещи стараюсь не кусать, как и предупреждал врач. Но вообще и шашлыки, и морковка в моей жизни есть, просто режу сначала ножом.

Еще я рада, что у нас с мужем теперь есть заботливая клиника, куда мы теперь ездим на профилактику. Мне после наращивания один раз в год проводят бесплатную профессиональную чистку. Муж вслед за мной тоже занялся зубами, сейчас ставит пломбы. В качестве работы врачей мы не сомневаемся.

-5

Читайте другие истории и познавательные статьи:

  • История, в которой жизнь пациентки круто поменялась после восстановления зубов.
  • Новые зубы за 1 день: интервью с пациентом после имплантации.
  • Можно ли лечить зубы с брекетами?

Оставайтесь с нами! Подписывайтесь на наш дзен-канал и группу в Телеграм, ставьте 👍 за полезный материал и читайте наши подборки на тему стоматологии. Рассказываем честно, интересно и объективно!

Информация подготовлена врачами клиники Smile-at-Once.

Записывайтесь на бесплатную консультацию (в том числе онлайн) и диагностику:
8 (495) 540-50-42 Москва и МО
8 (800) 333-46-28 для регионов
(звонок бесплатный)