Найти в Дзене
Врачун

Рак под микроскопом. Как его отличить от нормальных клеток.

Рак - это злокачественное образование, возникающее из-за мутаций в клетке, которые естественно отражаются на ее внешнем виде. Посмотрим, как выглядит рак на гистологических образцах. Саркома - злокачественная опухоль соединительной ткани(костной, хрящевой, жировой и т.д.). Меланома - злокачественная опухоль меланоцитов, клеток кожи, образующих меланин. Лейкоз - злокачественная опухоль созревающих и впоследствии зрелых лейкоцитов. Плоскоклеточный рак - злокачественное образование эпителиальных тканей кожи и слизистых оболочек. Глиобластома - злокачественное образование глиальных клеток мозга, клеток, создающих условия для протекания нервного импульса. Тератома - опухоль гоноцитов, эмбриональных клеток, из которых могут образоваться или сперматозоиды, или яйцеклетки. Для незнающего человека сложно отличить здоровую ткань от злокачественной, но возможно.

Рак - это злокачественное образование, возникающее из-за мутаций в клетке, которые естественно отражаются на ее внешнем виде. Посмотрим, как выглядит рак на гистологических образцах.

Саркома - злокачественная опухоль соединительной ткани(костной, хрящевой, жировой и т.д.).

-2

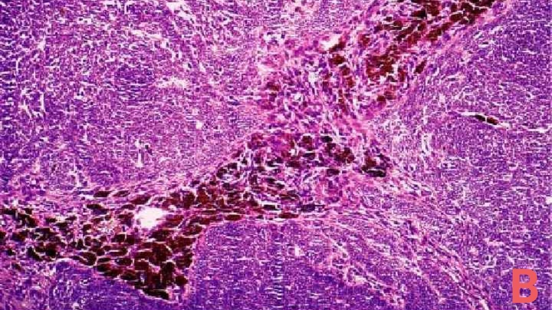
Меланома - злокачественная опухоль меланоцитов, клеток кожи, образующих меланин.

-3

Лейкоз - злокачественная опухоль созревающих и впоследствии зрелых лейкоцитов.

-4

Плоскоклеточный рак - злокачественное образование эпителиальных тканей кожи и слизистых оболочек.

-5

Глиобластома - злокачественное образование глиальных клеток мозга, клеток, создающих условия для протекания нервного импульса.

-6

Тератома - опухоль гоноцитов, эмбриональных клеток, из которых могут образоваться или сперматозоиды, или яйцеклетки.

Для незнающего человека сложно отличить здоровую ткань от злокачественной, но возможно.