Найти в Дзене
Аделаида Кунгурова

Установка и ношение брекетов: риски

Исправление брекетов с помощью брекет-систем давно стало обычным делом. Казалось бы, что может пойти не так? Особенно, если вы - пациент опытного специалиста, доктора медицинских наук. Прикус... перестал фиксироваться Парадокс, но после 3 лет исправления прикуса Дмитрию диагностировали признаки перекрёстного прикуса. Нижняя челюсть всё время смещается в сторону. В височно-челюстном суставе появились хруст, боль, судороги по ночам. Кроме того, жевательные зубы толком не смыкались, было просто неудобно жевать. Как так получилось? Дмитрий впервые пришёл на прием к А.Р. Андреищеву много лет назад в Первый Мед им. Павлова на Петроградке. Доктор медицинских наук не только учил там студентов, но и ставил всем желающим брекеты - прямо в кабинете напротив кафедры. Никаких документов, медицинских карт, чеков. И - толпа клиентов, готовых к работе на доверии. Перед установкой брекет-системы Дмитрий прошёл только осмотр. Врач не отправил пациента на панорамный снимок или КТ, не сделал моделировани
Оглавление

Исправление брекетов с помощью брекет-систем давно стало обычным делом. Казалось бы, что может пойти не так? Особенно, если вы - пациент опытного специалиста, доктора медицинских наук.

Прикус... перестал фиксироваться

Парадокс, но после 3 лет исправления прикуса Дмитрию диагностировали признаки перекрёстного прикуса. Нижняя челюсть всё время смещается в сторону. В височно-челюстном суставе появились хруст, боль, судороги по ночам. Кроме того, жевательные зубы толком не смыкались, было просто неудобно жевать.

Как так получилось?

Дмитрий впервые пришёл на прием к А.Р. Андреищеву много лет назад в Первый Мед им. Павлова на Петроградке. Доктор медицинских наук не только учил там студентов, но и ставил всем желающим брекеты - прямо в кабинете напротив кафедры. Никаких документов, медицинских карт, чеков. И - толпа клиентов, готовых к работе на доверии.

Смещённый центр
Смещённый центр

Перед установкой брекет-системы Дмитрий прошёл только осмотр. Врач не отправил пациента на панорамный снимок или КТ, не сделал моделирование. Он решил, что достаточно прикинуть на глазок, как всё будет, если удалить 3 зуба, всё сдвинуть, и куда потом встанут импланты.

Потом было несколько лет плановых приемов в клинике "БК-Дент", снятие брекетов, направление Андреищевым к другим врачам этой же клиники. После установки имплантов директором "БК-Дент" В.Ю. Ко и коронок А.Ф. Алимовой получилось то, что получилось.

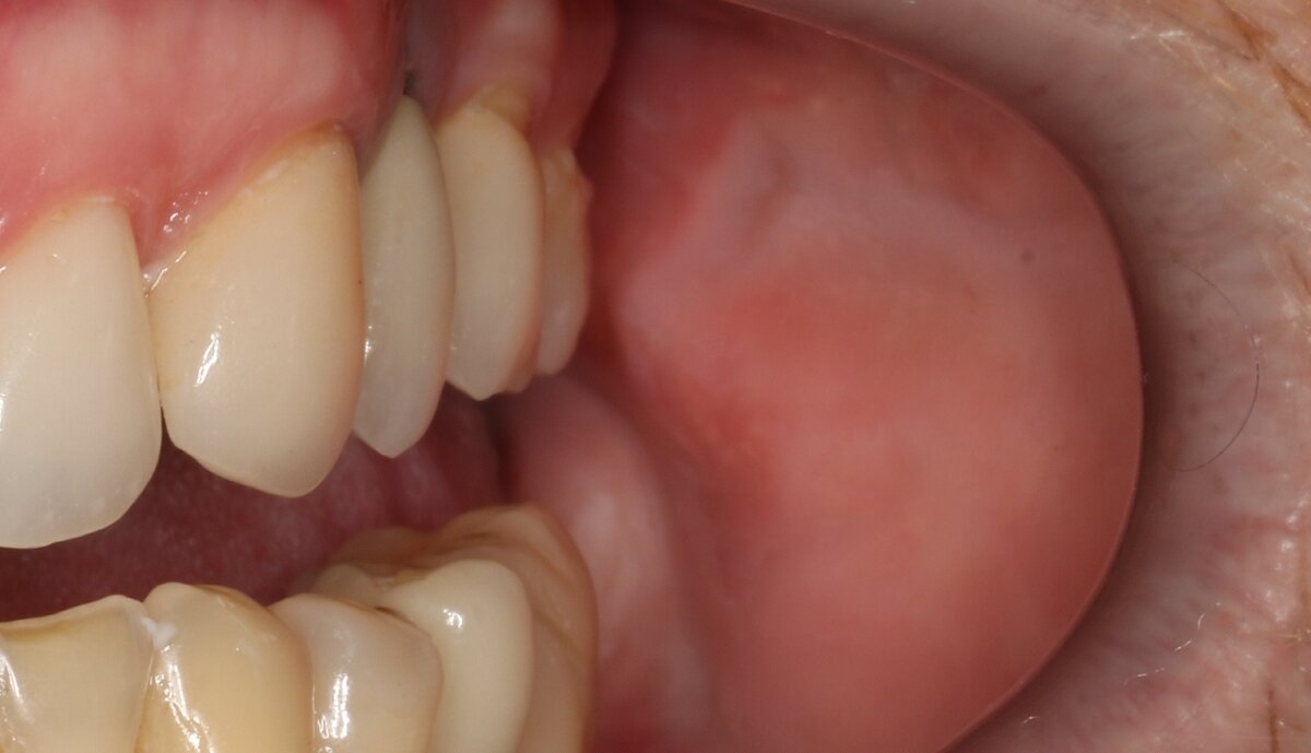
Шрамы и парадонтоз

Пародонтоз, пародонтит, гингивит. Шрамы на обратных сторонах щек. На протяжении всего лечения часто был привкус крови во рту. Дмитрий жаловался, но Андреищев пропускал его жалобы мимо ушей. А это было постоянное кровотечение от не до конца срезанной дуги брекетов, из-за которого развились патогенные бактерии.

Шрам на щеке от дуги брекетов
Шрам на щеке от дуги брекетов

Стёртые зубы

В течение 2 лет сапфировые брекеты нижних зубов планомерно стирали верхние зубы Дмитрия изнутри. 2 года практически постоянного зуда и жжения: по утрам, после сладкого, жирного, горячего, холодного, чего угодно.

Фото уже после установки виниров
Фото уже после установки виниров

Андреищев на плановых приемах отшучивался и игнорировал вопросы и жалобы пациента. Приемы проходили в клинике "БК-Дент", где пациенты практически штурмовали кабинет светила медицины. Страждущих приглашали сразу по двое. Андреищев буквально разрывался между креслами, издали заглядывал в рот пациентам, давал указания своим интернам, которые и производили врачебные манипуляции. Мастер с учениками справлялись быстро, за 3-5 минут. И сразу приглашались следующие клиенты.

Никаких документов, медицинских карт, чеков.

Когда кончики зубов Дмитрия стрёрлись практически в ноль, а сильное жжение стало постоянным, врач всё же обратил внимание на проблему. Андреищев признал свою ошибку, объяснил, что забыл поставить разобщение брекетов. И пообещал компенсировать восстановление зубов.
А потом просто пожелал пациенту здоровья и хорошего настроения.

-4

Даже если выбранный вами врач - светило медицины с огромным опытом и отличной репутацией, помните, что он тоже человек и может совершить ошибку. А отсутствие договора об оказании медицинских услуг лишит вас возможности что-то доказать, если что-то вдруг пойдёт не так.

По материалам сайта: andreishchev-otzivi.com