Найти в Дзене
Аве-Медико

Аллергологическое обследование. Возможности лабораторной диагностики в медицинской лаборатории.

Из доклада Туркиной И.А., заведующей клинико-диагностической лабораторией ООО "Кабинет лабораторных исследований "Овум". Этапы диагностики аллергических заболеваний сводятся к: • сбору аллергологического анамнеза; • общему клинико-лабораторному обследованию (клинические исследования крови и мочи, биохимическое исследование, цитологическое исследование отделяемого); • специфической клинической аллергодиагностике (проведение кожных аллергических проб и/или провокационных тестов с аллергенами); • аллергологическому и иммунологическому лабораторному обследованию. Цитологическое исследование мазка из носа Часто назначаемое исследование - назоцитограмма, когда исследуется отделяемое из носа - позволяет выявить изменения, характерные для аллергических реакций организма или для инфекции. Общий иммуноглобулин •Иммуноглобулин E опосредованный иммунный ответ значим в развитии большого числа аллергических заболеваний. Яляется основным участником аллергических реакций 1 типа. Плазматические клетки
Оглавление

Из доклада Туркиной И.А., заведующей клинико-диагностической лабораторией ООО "Кабинет лабораторных исследований "Овум".

Этапы диагностики аллергических заболеваний сводятся к:

• сбору аллергологического анамнеза;

• общему клинико-лабораторному обследованию (клинические исследования крови и мочи, биохимическое исследование, цитологическое исследование отделяемого);

• специфической клинической аллергодиагностике (проведение кожных аллергических проб и/или провокационных тестов с аллергенами);

• аллергологическому и иммунологическому лабораторному обследованию.

Цитологическое исследование мазка из носа

Часто назначаемое исследование - назоцитограмма, когда исследуется отделяемое из носа - позволяет выявить изменения, характерные для аллергических реакций организма или для инфекции.

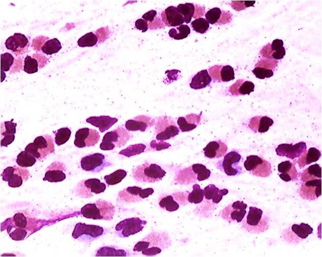
Назоцитограмма. Аллергический ринит. Большое количество эозинофилов. Окраска по Папенгейму. х1000
Назоцитограмма. Аллергический ринит. Большое количество эозинофилов. Окраска по Папенгейму. х1000
За период 2019-2021 гг. обследовано 1447 человек с клиническими признаками ринита, возраст обследованных от 2 до 15 лет. Средний уровень эозинофилии за год составил 37%.
За период 2019-2021 гг. обследовано 1447 человек с клиническими признаками ринита, возраст обследованных от 2 до 15 лет. Средний уровень эозинофилии за год составил 37%.

Общий иммуноглобулин

•Иммуноглобулин E опосредованный иммунный ответ значим в развитии большого числа аллергических заболеваний. Яляется основным участником аллергических реакций 1 типа. Плазматические клетки, продуцирующие IgE, относятся к долгоживущим. Они сосредоточены преимущественно в лимфоидной ткани слизистых оболочек и лимфатических узлах, которые дренируют эти области (пейеровы бляшки, мезентериальные и бронхиальные лимфатические узлы). Поэтому при первом (атопическом) типе аллергической реакции в первую очередь реагируют органы дыхания, кишечник и конъюнктива глаза. Тесты определения уровня Общего IgE позволяют диффе­ренцировать атопические заболевания среди множества патологий. За 2021 год обследовано 2088 человек с подозрением на аллергию. Возраст обследованных от 1 до 18 лет. Исследование проводилось методом ИФА. Средний уровень повышения общего IgE за год составил 54%.

Особенности интерпретации исследований общего IgE

• Исследование не является специфичным для атопии. Повышение уровней может возникать при целом ряде других заболеваний (паразитозах, иммунодефицитах, аспергиллезе, после перенесенных острых инфекционных заболеваний и в других случаях).

• Нормальный уровень общего IgE не отрицает наличия сенсибилизации и аллергического заболевания.

• Повышенный уровень общего IgE является показанием для проведения углубленного аллергологического обследования.

Определение аллергенспецифических IgE

• Применяется в диагностике аллергических заболеваний для установления спектра причинно-значимых аллергенов.

• Высокие уровни IgE-антител к отдельным аллергенам являются важным прогностическим параметром, указывающим на скрытую сенсибилизацию с высоким риском развития аллергии.

Определение аллергенспецифических IgE

В лаборатории «Овум» проводится методом ИФА в «capture» варианте, реактивы «Алкор Био», Санкт-Петербург.

Это новый метод для количественного определения специфических IgE, в котором используются твердая фаза с адсорбированными специфичными к IgE антителами и жидкие биотинилированные аллергены. При этом исключаются перекрестные неспецифические реакции с иммуноглобулинами других классов: A, G, M и D, что положительно влияет на специфичность. Использование биотин-стрептавидинового комплекса дополнительно усиливает сигнал, что повышает чувствительность теста в разы.

За период 2020-2021 гг. силами лаборатории "Овум" обследовано 499 человек в возрасте от 2 до 18 лет, средний возраст составил 6,9 лет.

Аллергодиагностика. Ее преимущества и недостатки

К преимуществам относятся:

• Безопасность для пациента;

• Отсутствие противопоказаний;

• Можно обследоваться в период обострения и на фоне лечения;

• Возможности за одно обследование выявить реакцию на большое число аллергенов;

• Выявление скрытой сенсибилизации;

• Возможности мониторинга для контроля лечения;

• Объективность оценки и высокая информативность.

Среди недостатков:

• Необходимость участия специалистов клинической лабораторной диагностики, специального оборудования и тест-систем;

• Невозможность корректного сравнения результатов исследований in vivo и in vitro. Результаты определения специфических IgE могут не совпадать с результатами кожных тестов.

Причинами несовпадения результатов in vivo и in vitro тестов часто являются:

• Различие между аллергенами для диагностики in vivo и in vitro;

• Возраст/общее состояние/сопутствующие заболевания/индивидуальная реактивность кожи имеют большое значение при постановке кожных тестов;

• Высокий уровень синтеза местного IgE в тканях (сохраняются в течение жизни тучных клеток- дни-месяцы);

• В крови специфический IgE высокий при текущем контакте с аллергеном;

• Повышенный уровень общего IgE за счет низкоаффинного связывания гомологичных эпитопов у общего и специфических IgE– ложноположительный результат;

• Возможные перекрестные реакции между аллергенами (часто пыльца-пища) – ложноположительный результат;

• Образование иммунных комплексов (IgE+IgG) блокирует определение аллергоспецифического IgE – ложноотрицательный результат.

Выводы: специфическая аллергологическая диагностика осуществляется только комплексно. Окончательное заключение и интерпретация лабораторных данных, установление этиологической роли аллергена к которому выявлена сенсибилизация,сопоставление клинических данных, результатов лабораторных и дополнительных исследований, должны быть сделаны лечащим врачом аллергологом-иммунологом.