Добавить в корзинуПозвонить
Найти в Дзене
Юлия Селютина

Зубной камень у детей

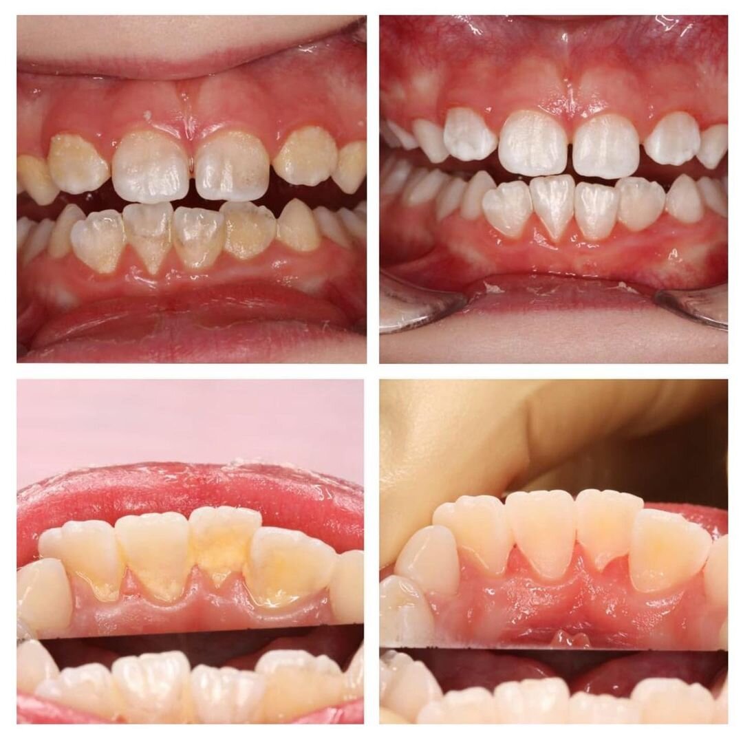
У детей тоже бывает зубной камень. Он "вырастает" из обычного мягкого налета. Если его не счищать, то под воздействием минералов слюны он будет затвердевать. И если налет можно счистить с зуба легко, то камень крепится очень плотно. А под ним размножаются бактерии, которые могут разрушать зуб и вызывать воспаление десны (гингивит). ❗Зубной камень снимает стоматолог. Не пытайтесь делать это самостоятельно дома, иначе повредите эмаль. Пациенту на фото 7 лет. Профессиональную гигиену ему проводила детский стоматолог Мария Штельмах. ✔️Пигментированный налет счистила; ✔️Камни на внутренней поверхности нижних резцов убрала специальным ультразвуковым наконечником; ✔️Зубы очищены специальной пастой, щетками и абразивными полосками; ✔️Отполированы резинками; ✔️В конце гигиены наносим укрепляющий гель для профилактики кариеса. В результате зубки ребенка стали на три тона белее! Шикарный эффект от простой процедуры! ИМЕЮТСЯ ПРОТИВОПОКАЗАНИЯ. НЕОБХОДИМА КОНСУЛЬТАЦИЯ СПЕЦИАЛИСТА.

У детей тоже бывает зубной камень.

Он "вырастает" из обычного мягкого налета.

Если его не счищать, то под воздействием минералов слюны он будет затвердевать.

И если налет можно счистить с зуба легко, то камень крепится очень плотно.

А под ним размножаются бактерии, которые могут разрушать зуб и вызывать воспаление десны (гингивит).

❗Зубной камень снимает стоматолог.

Не пытайтесь делать это самостоятельно дома, иначе повредите эмаль.

Пациенту на фото 7 лет.

Профессиональную гигиену ему проводила детский стоматолог Мария Штельмах.

✔️Пигментированный налет счистила;

✔️Камни на внутренней поверхности нижних резцов убрала специальным ультразвуковым наконечником;

✔️Зубы очищены специальной пастой, щетками и абразивными полосками;

✔️Отполированы резинками;

✔️В конце гигиены наносим укрепляющий гель для профилактики кариеса.

В результате зубки ребенка стали на три тона белее!

Шикарный эффект от простой процедуры!

ИМЕЮТСЯ ПРОТИВОПОКАЗАНИЯ. НЕОБХОДИМА КОНСУЛЬТАЦИЯ СПЕЦИАЛИСТА.