Найти в Дзене

Децеребрация и декартикация. Что это такое ?

Оглавление

Задача

45-летний мужчина доставлен в отделение неотложной помощи после получения травмы головы в результате столкновения с автомобилем. Пациент был признан невосприимчивым и имел несколько генерализованных тонико-клонических припадков во время транспортировки. История болезни включает гипертонию, а также злоупотребление алкоголем .

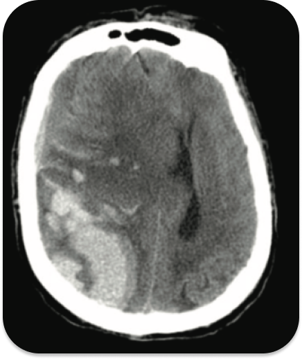
Температура 36,7 °C , кровяное давление 170/96 мм рт. ст., пульс 50 уд/мин, дыхание 10 ДД/мин. Пульсоксиметрия показывает 98% на искусственной вентиляции легких с 50% кислорода. При осмотре пациент находится в коматозном состоянии, мышечная ригидность разгибателей верхних и нижних конечностей .Неконтрастная компьютерная томография головы показана на изображении ниже:

Повреждение какой из следующих структур является наиболее вероятным?

A. Червь мозжечка
B. Полушарие головного мозга
C. Шейный отдел спинного мозга
D.Внутренняя капсула
Э. Мост
F. Черная субстанция
G. Таламус

Решение

У этого пациента, получившего травматическую травму головы, обширное внутрипаренхиматозное кровоизлияние. Внутричерепное (например, внутрипаренхиматозное) кровоизлияние может вызвать значительный массовый эффект и повысить внутричерепное давление, что может проявляться судорогами и триадой Кушинга

⬆️ гипертония

💓 брадикардия

👃 брадипноэ

При дальнейшем геморрагическом расширении может возникнуть синдром дислокации.

-2

Смещение мозговых структур также вызывает аномальную позу из-за нарушения нисходящих путей (например, руброспинальных, вестибулоспинальных), обычно участвующих в рефлекторных и постуральных движениях.

Вестибулоспинальный тракт поддерживает тонус разгибателей и происходит из вестибулярных ядер в понтомедуллярном соединении.

Руброспинальный тракт регулирует тонус сгибателей верхних конечностей и происходит из красных ядер в среднем мозге; он подавляется нисходящим кортикальным входом из коры головного мозга.

🚫 Повреждение над красным ядром (например, полушарие головного мозга, внутренняя капсула) обычно приводит к декортикации (сгибанию) из-за потери нисходящего торможения красного ядра и последующей гиперактивности сгибателей верхних конечностей (вариант полушарие головного мозга).

-3

✅ Повреждение ниже красного ядра (например, моста) или самого ядра (например, среднего мозга) часто вызывает децеребральную (разгибательную) позу из-за потери нисходящего возбуждения к сгибателям верхних конечностей (через руброспинальный тракт) и преобладания разгибателей (из-за беспрепятственного выхода вестибулоспинального тракта).

-4

Правильный ответ: МОСТ

Поддерживайте этот пост большим пальцем вверх и подпиской на канал