Найти в Дзене

Тотальное протезирование полости рта.

Что такое тотальное протезирование полости рта? Тотальное протезирование это комплекс работ при котором меняется большое количество зубов. Понятие большое, конечно, относительно, но если примерно 4-6 зубов отсутствует, то значит нужно перестраивать уже весь зубной ряд. Тотальная работа Здравствуйте, меня зовут Ордовский-Танаевский Владимир Вячеславович – врач-стоматолог, ортопед, гнатолог, кандидат медицинских наук. Мой стаж больше 30 лет, и я являюсь главным врачом и владельцем клиники – «Ордовский и коллеги» в городе Москва. Что такое тотальная работа? Наша клиника специализируется на так называемых тотальных реконструкциях полости рта. Примерно каждый второй наш пациент приходит после других стоматологов, ортодонтов, после исправления прикуса, с различными осложнениями. С помощью функциональной диагностики мы выявляем эти нарушения, составляем план лечения и позволяем пациентам вновь обрести «стоматологическое здоровье». Это такой комплекс мероприятий, в который входит и диагностик

Что такое тотальное протезирование полости рта? Тотальное протезирование это комплекс работ при котором меняется большое количество зубов. Понятие большое, конечно, относительно, но если примерно 4-6 зубов отсутствует, то значит нужно перестраивать уже весь зубной ряд.

Тотальная работа

Здравствуйте, меня зовут Ордовский-Танаевский Владимир Вячеславович – врач-стоматолог, ортопед, гнатолог, кандидат медицинских наук. Мой стаж больше 30 лет, и я являюсь главным врачом и владельцем клиники – «Ордовский и коллеги» в городе Москва.

Что такое тотальная работа?

Наша клиника специализируется на так называемых тотальных реконструкциях полости рта. Примерно каждый второй наш пациент приходит после других стоматологов, ортодонтов, после исправления прикуса, с различными осложнениями. С помощью функциональной диагностики мы выявляем эти нарушения, составляем план лечения и позволяем пациентам вновь обрести «стоматологическое здоровье». Это такой комплекс мероприятий, в который входит и диагностика, и лечение, и протезирование, если необходимо – имплантация, если необходимо – ортодонтическое лечение. Наш опыт позволяет достичь очень хороших, стабильных результатов благодаря междисциплинарному и комплексному подходу среди коллег, и благодаря тому, что мы используем концепцию последовательной дизокклюзия профессора Рудольфа Славичека, мы используем активно, так называемую, Венскую школу стоматологии и также мы используем концепцию последовательной дизокклюзии, это так называемая новая гнатология, то, что сейчас является наиболее востребованной с точки зрения функций и эстетики.

Когда нужна тотальная реабилитация?

Как понять, что вам нужно делать полную реконструкцию полости рта? Как правило тогда, когда отсутствует 4-6 зубов или же, возрастом наши зубы стираются. Кто-то их стирает к 40 годам, кто-то к 60, то есть у всех это по разному, но как правило, вы видите, что ваши зубы стали покороче, стали бочкообразные, ровные, они сильно изменились в цвете, при этом теряется высота прикуса, изменяется лицо и это тоже одно из показаний, что зубы нужно восстановить. Еще одно показание – если изменился цвет зубов и вам он не нравится, причем обычно это сочетается с этой «стираемостью» зубов, она бывает физиологическая, бывает патологическая. Патологическая это когда стирание зубов происходит очень быстро, то есть у человека к 30-40 годам уже а только вот такой желтый цвет зубов, бывает, что и до десны стирают некоторые люди. Еще одно показания – если зубы подвижны, десна воспаленная, то есть здесь нужно пролечить десну, пролечить парадонтит и потом уже задуматься о восстановлении этих зубов. Также очень часто после ортодонтического лечения, когда исправляли зубы, это могло быть в детстве, в юношестве появляются проблемы с положением зубов, при этом еще может начать беспокоить височно-нижнечелюстной сустав, то есть он начинает болеть, у кого-то щелкать, у кого-то что-то там шумит, это тоже одно из показаний для того, чтобы заниматься сначала диагностикой и потом возможным лечением и может быть полной реабилитацией полости рта, но это покажет уже только диагностика. То есть любая комплексная реабилитация всегда начинается с диагностики.

Этапы тотальной работы.

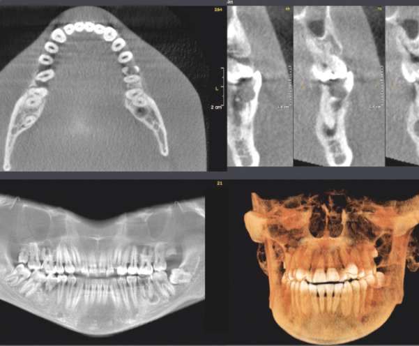
При тотальной реабилитации полости рта есть определенные этапы. Начинаем мы всегда с диагностики. То есть это функциональная диагностика, туда входит фото протокол, модели, электронная аксиография, анализ окклюзии в артикуляторе, может быть МРТ височно-нижнечелюстного состава, может быть компьютерная томография всех зубов, верхней нижней челюсти. После этой диагностики, если мы выявили проблемы с суставом или с окклюзией, мы можем изготовить сплинт, но опять же это делается по показаниям, если у пациента есть эти проблемы. Когда мы разобрались с окклюзией, убрали боль в суставе, боль в мышцах, мы проводим лечение или как раньше говорили – санацию полости рта. То есть мы лечим весь кариес, мы лечим осложнения кариеса, у кого-то может быть раньше были депульпурованные зубы и из нужно перелечить или во всяком случае сделать ревизию. Нужно вылечить десну, привести в порядок, чтобы она была здоровая. Когда мы сделали санацию, у кого нет зубов, нужно установить имплантаты, у кого сильно разрушены зубы или корни их нужно удалить и тогда сделать имплантацию. Когда вот это все мы подготовили, мы делаем восковое моделирование оно как правило делается по одной из двух методик. Первая – делать воск вручную, вторая – моделировать в программе, так называемое цифровое моделирование. После этого мы согласовываем с пациентом будущую форму зубов, можем сделать пробную реставрацию, чтобы он убедился, что эта форма ему подходит, а после этого уже мы обрабатываем зубы, снимаем оттиски и делаем временные реставрации как раз по форме будущих зубов. Эти реставрации делаются из фрезерованной пластмассы, которая называется полиметилметакрилат. Она достаточно прочная для того, чтобы ходить несколько месяцев с ней, но недостаточно прочная для того, чтобы с ней ходить постоянно. И вот когда пациент посмотрел, какая форма, где будут располагаться зубы, какой примерно будет цвет. После этого мы уже переводим прототип этих зубов. После того, как пациент пожевал, поговорил, попробовал их. То есть провел «тест драйв» зубами мы переводим его уже в постоянные реставрации. Постоянные реставрации как правило уже из керамики. Это особо прочные виды керамики такие как: оксид циркония, можем сделать имакс, можем из полевошпатной керамики сделать. Зависит от показаний, и что мы делаем. После того, как мы закончим лечение мы еще пациента постоянно ведем, раз в полгода приглашаем на профессиональную гигиену и на коррекцию окклюзии, чтобы эта работа служила у него долго. Как правило после тотальной реабилитации полости рта наши пациенты ходят от 10 до 25 лет. Можно сказать средний срок службы реставрации это примерно 15-20 лет.

Что входит в гнатологическу диагностику?

Гнатологическая диагностика – это комплекс мероприятий, который направлен на то, чтобы выявить какие есть проблемы у пациента. В этот комплекс входит беседа с пациентом, опрос, входит пальпация мышц, пальпация височно-нижнечелюстного сустава, фото протокол, то есть фотографии лица с разных ракурсов, фотографии зубов для того, чтобы пациент увидел в каком состоянии зубы, чтобы мы увидели, что с зубами. Далее мы делаем оклюзограмму – это такой тонкий воск, который вставляется между зубов, пациент смыкает, и мы видим по отпечаткам на зубах, какие зубы соприкасаются, какие нет. Это именно для оценки именно соприкосновения зубов, для оценки окклюзии. Далее мы делаем оттиски, ставим гипсовые либо цифровые модели и делаем еще бруксчекеры. Бруксчекеры – это такие тоненькие пластинки, окрашенные пищевым красителем, которые мы выдаем пациенту. Он надевает их на зубы и 2 ночи проводит с этими бруксчекерами, потом мы смотрим, стискивает ли он зубы ночью, а если стискивает, то на каких зубах, какие есть движения и так далее. Еще одно посещение мы посвящаем тому, чтобы исследовать, как движется нижняя челюсть, то есть какие функции нарушены или что-то не в норме. Для этого мы надеваем электронный конделограф на голову пациента, прикрепляем к нижним зубам специальные датчики, пациент двигает, и мы получаем графики движения нижней челюсти, анализируем состояние височно-нижнечелюстного сустава, также мы делаем боковой снимок головы и проводим на этом снимке циклометрический анализ.

То есть мы определяем высоту прикуса, смотрим какая норма для этого пациента по прикусу, есть ли у него стираемость, есть ли нарушение функции, составляем так называемый проблемный лист, потом в артикуляторе делаем анализ движений, так называемый инструментальный анализ и ставим диагноз. Уже на 3 посещении на консультации мы рассказываем пациенту какие есть проблемы и как их можно решить. Эта диагностика также называется функциональная диагностика. Мы на ней специализируемся у нас практически все врачи владеют этой технологией. Мы очень давно ею занимаемся. Я в свое время прошел обучение в Австрии у профессора Рудольфа Славичека, и я даже для врачей стоматологов веду курсы как раз по во этой концепции последовательной дизокклюзии и по этой функциональной диагностике.

Установка лицевой дуги, для последующей настройки артикулятора.
Установка лицевой дуги, для последующей настройки артикулятора.

Важность врачебного консилиума.

При тотальной реабилитации полости рта очень важно, чтобы с вами работала команда врачей стоматологов. Очень важно, чтобы помимо врача ортопеда, гнатолога, кем я являюсь, в вашей команде был врач-парадонтолог, врач-ортодонтист, то есть парадонтолог лечет десна, ортодонтист лечит каналы, чтобы был хирург-имплантолог, который может установить имплантаты, если нужно – сделать подсадку костной ткани и важно, чтобы эта коммуникация была очень своевременная, она постоянно поддерживалась, и самое главное, чтобы в этой коммуникации был человек, который отвечает за ваше лечение, то есть в нашей клинике за это обычно отвечает врач-ортопед, который будет заниматься непосредственно протезированием, то есть он ведет этого пациента. Он от своих коллег-профессионалов добивается выполнения тех заданий, которые он им дает. Мы подобрали такую команду, в которой все понимают, что такое концепция последовательной дизокклюзии, что такое гнатология, и все понимают, что нужно работать именно в этой концепции и заточены на эту цель. Такая команда позволяет достигать хороших, качественных результатов, сложно работать с врачами, которые находятся в разных концах города, сложно с ними коммуницировать. У нас, например, каждую неделю проводится врачебный консилиум и конференция, где мы обсуждаем тех пациентов, которые находятся у нас на лечении, корректируем планы лечения, корректируем свои действия и придерживаемся планов. Мы пациенту делаем план лечения. Он состоит у нас из трех частей:

  1. Какие есть проблемы у пациента. Фото протокол и краткое описание.
  2. Концепт лечения. То есть какая концепция будет. Что нужно будет делать и в какой последовательности.
  3. Финансовая часть. Она привязана к тому концепту, что нужно делать.

И после диагностики вы получаете понимание, что нужно делать, у вас появляются конкретные сроки. То есть мы в плане лечения подробно указываем, что вам понадобится, условно говоря, 50 посещений и на это понадобится 100 часов и эту работу мы можем выполнить в течение 4-5 месяцев. Вы понимаете, какую сумму вы должны будете заплатить за это лечение. Когда пациенту все это понятно, и он согласен, только тогда мы приступаем непосредственно к лечению.

-3

Последствия некорректного лечения.

Если говорить о симптомах, которые возникают после лечения ортопедического и ортодонтического их можно разделить на несколько категорий. Одни симптомы могут возникать из-за того, что диагностика была проведена не совсем правильно и работа сделана без учета ваших индивидуальных параметров, ваших особенностей. Вторая часть проблемы – это может быть связано с тем, как вы адаптируетесь к новым зубам, к новому положения нижней челюсти. Третья проблема это может быть как раз сочетание того, как сделано и невозможность этой адаптации. Как правило пациенты жалуются на последствия какого-то протезирования, последствия какого-то ортодонтического лечения. Это боли в суставах, это щелчки в суставах. У кого-то шуршание, у кого-то щелчок, у кого-то крепитация, кто-то говорит, что сустав опух и болит, кто-то говорит, что начались головные боли, у кого-то закладывает ухо, кто-то начинает плохо спать, кто-то не может положение нижней челюсти найти, у него начинает сводить мышцы, кто-то говорит, что он начинает сильнее стискивать зубы, напрягает мышцы, кто- говорит, что ему неудобно жевать, и он не может определенную пищу твердую, например, или вязкую хорошо пережевывать. У кого-то появляются проблемы с фонетикой, то есть он начинает после протезирования или исправления прикуса по-другому воспроизводить звуки и не может привыкнуть. Кто-то не может найти положения прикуса, то есть он постоянно ищет положение, которое было бы ему удобно, ну, я не говорю здесь про эстетические вещи, но они тоже могут присутствовать вместе с этими проблемами.

Итог

Итак, если у вас есть какие-то проблемы с зубами, с мышцами, с суставом, вам что-то больно, что-то неудобно, у вас какие-то опасения, я вам рекомендую пройти диагностику. Эту диагностику делают разные клиники и вообще сейчас такие времена, что хорошо, или я бы даже сказал правильно получить второе и третье врачебное мнение. Ваша задача понять, что вам говорят другие доктора и, собственно говоря, определиться, кому вы можете довериться. Конечно, пациенту легче всего доверять тому врачу, который обоснованно сделал диагностику, который обоснованно поставил вам диагноз и, соответственно, обоснованно предложил вам какое-то лечение. Опять же, разные клиники отличаются и по уровню той диагностики, которую они делают и по уровню стоимости этой диагностики и, конечно же, по уровню стоимости лечения. Не торопитесь сразу делать, я считаю, что это решение по полной (комплексной) реабилитации полости рта должно быть взвешенным, обоснованным, потому что такая работа делается не на один год, а на 15-20 лет. Хочу вам пожелать удачи, если вдруг у вас возникают какие-то вопросы, приходите к нам в клинику, мы с удовольствием проведем такую диагностику и расскажем, какие у вас есть проблемы и как их можно решать.