Найти в Дзене

Профессиональное отбеливание зубов у стоматолога vs услуги за 1900 ₽ в студии отбеливания

Дисклеймер: Осторожно, эта статья может задеть чувства владельцев студий отбеливания! Автор не несет ответственности за причиненный вред тем, кто к ним обращался. Все факты в материале не вымышлены и не случайны. Данная статья призвана защитить улыбки всех, кто ее читает. Ассоциация «здоровая улыбка=светлая улыбка» прочно закрепилась в обществе, поэтому за последние годы процедура отбеливания зубов стала очень популярной. Кажется вполне логичным и естественным, что проводить ее должны врачи-стоматологи, ведь зубы – их «территория». Но индустрия красоты и изобретательные китайцы увидели в этом возможность подзаработать. Как итог – в торговых центрах и косметических салонах появились услуги отбеливания: дешево, быстро, по пути – вот чем заманивают в “кресла-яйца” посетителей. Тот, кто никогда не делал отбеливание у стоматолога и не углублялся в этот вопрос, убежден, что и в клинике, и в студии оно проходит примерно одинаково. А дальше срабатывает логика, как в рекламе стирального порош

Дисклеймер: Осторожно, эта статья может задеть чувства владельцев студий отбеливания! Автор не несет ответственности за причиненный вред тем, кто к ним обращался. Все факты в материале не вымышлены и не случайны. Данная статья призвана защитить улыбки всех, кто ее читает.

Ассоциация «здоровая улыбка=светлая улыбка» прочно закрепилась в обществе, поэтому за последние годы процедура отбеливания зубов стала очень популярной. Кажется вполне логичным и естественным, что проводить ее должны врачи-стоматологи, ведь зубы – их «территория». Но индустрия красоты и изобретательные китайцы увидели в этом возможность подзаработать. Как итог – в торговых центрах и косметических салонах появились услуги отбеливания: дешево, быстро, по пути – вот чем заманивают в “кресла-яйца” посетителей.

Тот, кто никогда не делал отбеливание у стоматолога и не углублялся в этот вопрос, убежден, что и в клинике, и в студии оно проходит примерно одинаково. А дальше срабатывает логика, как в рекламе стирального порошка: если нет разницы, то зачем платить больше? На самом деле разница есть и она – как от Земли до Луны и обратно!

Профи vs профан

Отбеливание зубов – это медицинская процедура (код А16.07.050 класс медицинской услуги А), ее имеет право проводить только врач-стоматолог или гигиенист. Больше НИКТО! Следовательно, у организации, которая предоставляет эту услугу, должна быть лицензия на медицинскую деятельность. Что это значит? Если коротко, то многочисленные требования, проверки, документы, санитарные нормы, которые гарантируют стерильные инструменты, лицензионное оборудование, сертифицированные материалы – другими словами безопасность.

В студии отбеливание в лучшем случае проводит косметолог-эстетист, но по факту это может быть кто угодно: нужно просто знать последовательность действий, то есть прочитать инструкцию. Естественно, что все это без лицензии.

Тотальная подготовка vs инструктаж

Профессиональному отбеливанию обязательно предшествует подготовка по протоколу (это как УК РФ, который нельзя нарушать). Выглядит она так:

- консультация, так как у каждой процедуры есть временные или постоянные противопоказания и отбеливание – не исключение

- профгигиена – важно удалить весь налет и зубные камни, так как отбеливающий состав не сможет пробраться к спрятанным под ними участкам эмали

- минерализация – насыщение эмали микроэлементами необходимо, чтобы во время отбеливания не возникло повышенной чувствительности зубов.

Косметическое отбеливание проводят без подготовки: пришел, прослушал инструктаж и вперед, а там уж как получится.

Безопасность и контроль vs как пойдет

В стоматологической клинике используются только те составы, которые прошли исследования: доказали свою безопасность и эффективность, то есть можно не переживать за зубы во время процедуры – они не пострадают. Для защиты мягких тканей от воздействия лампы, мы их изолируем: губы – с помощью специального ретрактора, а на десны наносим специальный состав. И, естественно, каждый этап отбеливания проходит под строгим контролем врача.

Отбеливание в студии – это рулетка: никогда не знаешь заранее, что тебя ждет и как все пройдет, потому что отбеливающий состав и лампа, которая его активирует, неизвестного происхождения. Но как правило, для косметического отбеливания выбирают те, что подешевле, ведь очень важно сделать услугу максимально дешевой, чтобы ее быстрее и охотнее покупали.

Оправданные ожидания vs разочарование и проблемы

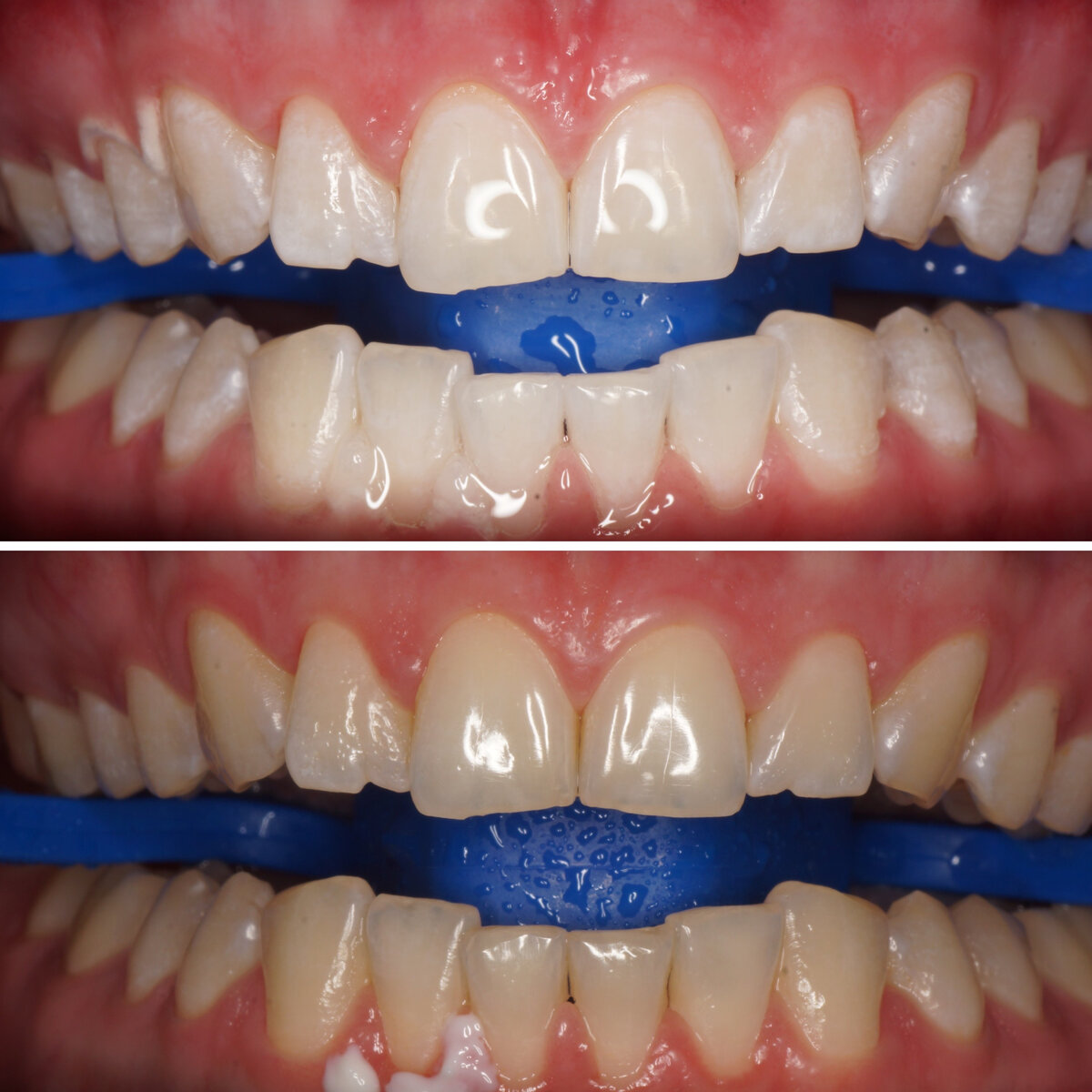
«Уау!», «Круто!», «Шикарно», «Здорово», «Волшебно» - так реагируют пациенты, увидев свою улыбку после отбеливания у стоматолога. А все потому, что в 99,9% случаев оно дает отличный результат: оттенок зубов можно изменить за 1 процедуру даже на 8-12 тонов! Но все индивидуально, ведь у каждого из нас свой вкус и свои желания, поэтому еще на этапе подготовки мы обязательно узнаем у пациента, на сколько оттенков светлее он хочет улыбаться, чтобы добиться желаемого результата отбеливания и оправдать его ожидания.

Что же касается процедуры в кресле-яйце, то самый безобидный и распространенный отзыв о ней выглядит так: «Я не увидела разницы». Но есть немало таких: «Сильно воспалились десны», «Болит весь рот», «Через пару дней зубы потемнели», «На эмали появились трещины», «Ужасно болят зубы», «Эмаль стала крошиться»… Очевидно же, что это не то, о чем мечтали люди, когда пришли на отбеливание.

А какое отбеливание для себя выберете вы?