Найти в Дзене
Технологии и наука

Лучшие изобретения 2021 года: 2021 как тебе?

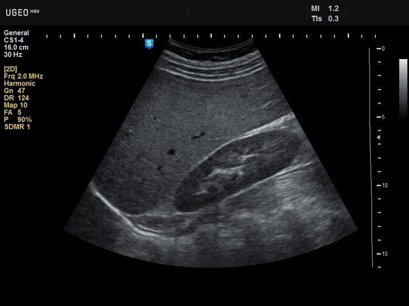
Лучшие изобретения 2021 года по версии Time Журнал Time назвал лучшие изобретения 2021 года. У этого обзора есть подзаголовок – "100 инноваций, меняющих наш образ жизни". Журналисты объясняют, что каждый год выбирают изобретения, которые "делают мир лучше, умнее и веселее". Сонограммы стали проще Сонограммы сердца могут помочь диагностировать такие состояния, как ревматическая болезнь сердца, от которой ежегодно умирают 1,4 миллиона человек, но во многих бедных странах нет ультразвуковых аппаратов и технических специалистов, обученных их использованию.
И тут в помощь приходит программное обеспечение машинного обучения Caption AI. Caption AI, предназначенное для работы с портативными ультразвуковыми устройствами нового поколения, помогает специалистам выполнять небольшие настройки, необходимые для получения изображения сердца, которое затем врач может исследовать на предмет потенциальных проблем. «Вы не можете отправлять каждого человека к кардиологу каждый год», - говорит Килиан Кё
Оглавление

Лучшие изобретения 2021 года по версии Time

Журнал Time назвал лучшие изобретения 2021 года. У этого обзора есть подзаголовок – "100 инноваций, меняющих наш образ жизни". Журналисты объясняют, что каждый год выбирают изобретения, которые "делают мир лучше, умнее и веселее".

Сонограммы стали проще

Сонограммы сердца могут помочь диагностировать такие состояния, как ревматическая болезнь сердца, от которой ежегодно умирают 1,4 миллиона человек, но во многих бедных странах нет ультразвуковых аппаратов и технических специалистов, обученных их использованию.
И тут в помощь приходит программное обеспечение машинного обучения
Caption AI. Caption AI, предназначенное для работы с портативными ультразвуковыми устройствами нового поколения, помогает специалистам выполнять небольшие настройки, необходимые для получения изображения сердца, которое затем врач может исследовать на предмет потенциальных проблем. «Вы не можете отправлять каждого человека к кардиологу каждый год», - говорит Килиан Кёпселл, соучредитель и технический директор Caption Health. «Но вы можете регулярно проходить осмотр у своего лечащего врача, и с помощью этих технологий они могут обследовать вас намного лучше, чем это было возможно раньше». - Алехандро де ла Гарса

VR становится реальностью

-2

Виртуальные миры предназначены не только для игр - они полезны для планирования инфраструктуры, такой как дороги и здания, а также могут использоваться для тестирования автономных транспортных средств. Проект NVIDIA Omniverse упрощает создание ультрареалистичных виртуальных пространств для реальных целей. Платформа сочетает в себе технологию трассировки лучей в реальном времени новейших графических процессоров бренда с набором инструментов с открытым исходным кодом для совместной работы в фотореалистичных трехмерных мирах. Такие архитекторы, как Foster + Partners, используют эту технологию для визуализации деталей здания на ранних этапах процесса проектирования, а BMW построила «цифрового двойника» одного из своих заводов, что позволяет компании протестировать возможности более эффективных сборочных линий. -Джесси Уилл

Лучшая селфи-палка

Vecnos IQUI

-3

Панорамные виды, которые открываются из фотографий и видео с обзором в 360 градусов, - это настоящая радость, которой можно поделиться. Но камеры, необходимые для их съемки, не всегда были такими простыми в использовании. Разработанный специально для социальных сетей, минималистичный IQUI (249 долларов США) делает 360-градусную фотосъемку проще, чем когда-либо. Созданная Vecnos - во главе с Шу Убукатой, создателем первой компактной камеры с обзором 360 градусов - IQUI оснащена четырьмя объективами на изящном тонком 5,5-дюймовом корпусе. палкой, три стрельбы по горизонтали и одна направлена ​​прямо вверх. Подставка позволяет без труда запечатлеть всю сцену - даже если она находится, скажем, в центре званого обеда, - а приложение-компаньон легко конвертирует фотографии в скачущие видеоклипы MP4 со специальными эффектами, идеально подходящие для того, чтобы поразить ваших друзей. Instagram и Twitter. - Элисон Ван Хаутен

Более точная карта мира

-4

В 1569 году, когда фламандский картограф Герард Меркатор расплющил цилиндрическую поверхность Земли на бумаге, он дал морякам инструменты для навигации по океану. Но он также исказил размер ближайших к полюсам стран - например, Северная Америка кажется ненормально большой. Несмотря на неточности, проекция Меркатора стала нормой и даже была основой Google Maps вплоть до 2018 года. Астрофизик Дж. Ричард Готт вместе с коллегами Дэвидом Голдбергом и Робертом Вандербей отправился в 2019 году, чтобы исправить неточности и пришел двустороннюю карту, по форме напоминающую виниловую пластинку. Это улучшает географическое равенство между континентами, в конечном итоге представляя южное полушарие как можно точнее на бумаге. Карта имеет бесплатный доступ в Интернете, и ученые работают с издателями, чтобы сделать его широко доступным для продажи в будущем. —Элоиза Барри

Умный детектор радона

-5

Арприт Чохан никогда особо не беспокоился о радоне - до тех пор, пока его близкий друг не умер от рака легких, вероятно, из-за воздействия радиоактивного газа в его доме. По данным Агентства по охране окружающей среды США, радон, образующийся в результате подземных залежей урана, вызывает около 20 000 смертей от рака легких в год. Чтобы помочь обнаружить невидимую опасность, Ecosense, компания, в которой работает Чохан , создала EcoQube (183 доллара США), который позволяет пользователям контролировать уровень радона в своем доме с помощью сопутствующего приложения. В небольшом черном ящике используется ионная камера для обнаружения смертоносного газа, и независимые испытания показали, что лежащая в основе технология работает так же, как и гораздо более дорогие профессиональные детекторы радона. (Устройство, использующее эту технологию, также было сертифицировано Национальным советом по радоновой безопасности.) - Алехандро де ла Гарса

Все изобретения 2021 года, отмеченные журналом Time, можно посмотреть здесь.