Добавить в корзинуПозвонить
Найти в Дзене

Привычка прикусывать предмет зубами (ручку, карандаш, дужку очков) и ее влияние на формирование прикуса

Статья миофункционального терапевта, логопеда Т.Б. Цукор. Когда ортодонт посылает пациента на консультацию к миофункциональному терапевту, не все пациенты воспринимают необходимость такой консультации. Миофункциональная коррекция является важной процедурой при исправлении прикуса, так как воздействует на причину нарушения прикуса, устраняет ее и тем самым предупреждает рецидив (то есть откат в результате лечения) после окончания ортодонтического лечения. В данной статье речь пойдет об одной из вредных миофункциональных привычек – о закусывании предметов. По какой-то причине в контексте диагностики причин нарушения прикуса вредным миофункциональным привычкам уделяют крайне мало внимания, а то и вовсе игнорируют. Тем не менее они довольно часто являются толчком к формированию неправильного прикуса, а какой именно прикус сформируется – зависит от привычки пациента. Тип нарушения прикуса во многом зависит от типа удержания предмета между зубами. Обычно, закусывание предмета идёт со стороны

Статья миофункционального терапевта, логопеда Т.Б. Цукор.

Когда ортодонт посылает пациента на консультацию к миофункциональному терапевту, не все пациенты воспринимают необходимость такой консультации. Миофункциональная коррекция является важной процедурой при исправлении прикуса, так как воздействует на причину нарушения прикуса, устраняет ее и тем самым предупреждает рецидив (то есть откат в результате лечения) после окончания ортодонтического лечения.

консультация логопеда-миофункционального терапевта в Диал-Дент
консультация логопеда-миофункционального терапевта в Диал-Дент

В данной статье речь пойдет об одной из вредных миофункциональных привычек – о закусывании предметов. По какой-то причине в контексте диагностики причин нарушения прикуса вредным миофункциональным привычкам уделяют крайне мало внимания, а то и вовсе игнорируют. Тем не менее они довольно часто являются толчком к формированию неправильного прикуса, а какой именно прикус сформируется – зависит от привычки пациента.

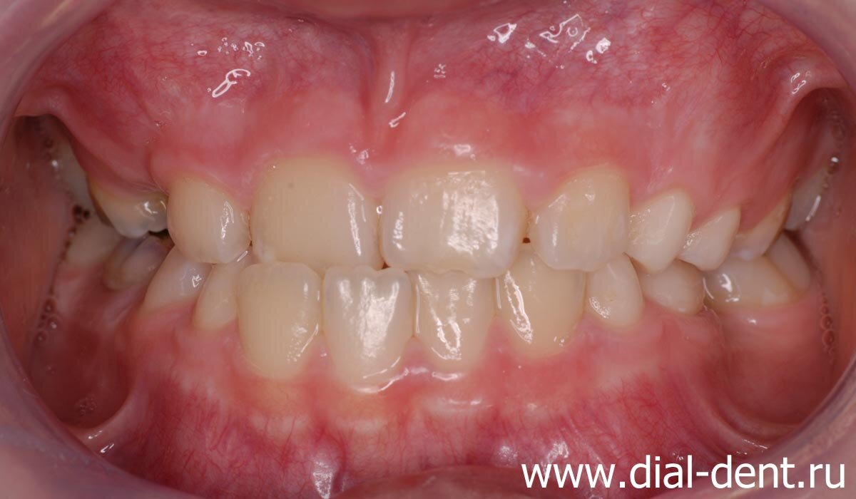
Тип нарушения прикуса во многом зависит от типа удержания предмета между зубами. Обычно, закусывание предмета идёт со стороны ведущей руки. Соответственно, если фломастер, ручку или карандаш «грызун» удерживает справа, то нижняя челюсть смещается влево и формируется устойчивая девиация влево нижней челюсти при открывании рта или дефлексия, что часто ведёт к формированию перекрёстного типа прикуса.

перекрестный прикус у ребенка - нижние зубы выступают перед верхними
перекрестный прикус у ребенка - нижние зубы выступают перед верхними

Ещё один из вариантов последствия вредной привычки может быть боковой односторонний открытый прикус. Дизокклюзия намечается с той стороны, откуда «приходит» инородный предмет.

Если привычка захвата предмета между резами, то это ведёт к формированию дистального типа прикуса и может изменить положение верхних резцов (протрузия верхних резцов).

протрузия верхних резцов
протрузия верхних резцов

Как вариант, формирование переднего открытого прикуса при воздействии предмета во фронтальном отделе.

Не следует забывать, что при присутствии во рту инородного предмета, он воспринимается системой как чужеродный, и язык, как чувствительный орган, начинает его изучать. Иными словами, язык изнутри, а предмет снаружи совершают встречные движения, что дорабатывает ситуацию по изменению прикуса или окклюзионных контактов.

Очень важным моментом является частота прикусывания инородных предметов. Часто? Время от времени? Редко?

Если мы говорим о привычке, то это происходит довольно часто и, как правило, неосознанно. Это и является основной проблемой: делать и не замечать этого! По этой причине привычка настолько затягивает, что ее наличие может выявить четко поставленный вопрос врача: что грызёте? И тогда человек начинает припоминать, что, действительно, что-то грызёт, закусывает, подсасывает. Например, губу или щеку изнутри или язык.

прием миофункционального терапевта Т.Б. Цукор
прием миофункционального терапевта Т.Б. Цукор

Если привычка выявлена, то о ее вредном влиянии пациент должен знать, чтобы взять ее в зону внимания и начать с ней работать. Часто, этого бывает достаточно, чтобы от неё избавится.

А если одного контроля недостаточно, то разобраться в причинах наличия трудно истребимой привычки поможет миофункциональный терапевт.

Записаться на консультацию к миофункциональному терапевту или ортодонту Семейного стоматологического центра «Диал-Дент» можно по телефону 8-499-110-18-02.