Добавить в корзинуПозвонить
Найти в Дзене
Мама в кубе.

Улитка вылезай. Я в домике

Точнее не в домике, а в печали. В думах понимайте как хотите. Продолжение истории как я решила сделать медотвод. Муж называл меня антипрививочницой. Прививаться или нет пусть решают врачи. Первым пунктом в моём списке было МРТ головного мозга. Два года МРТ делали с контрастом. В марте 20 года контраст ничего не показал, за то без него всё стало видно. Мне сказали, что есть очаги поражения головного мозга, которые похожи на облака. Не удивлена в 18 году и в 19. Их там было два. Ну, ладно очагов мало. Из-за этого у меня проблемы со слухом, начинаются проблемы со зрением и координацией. В этот раз очаги увеличились в размерах. То-то я чувствую что-то мне не хорошо. Грусть, тоска я в домике. Ой, а у тебя белок в спинномозговой жидкости. Это фразу я услышала первый раз в 19 году. Нам бы найти у тебя подходящий лимфоузел и сделать пункцию. А в больницу я легла сразу после пневмонии. Выписали меня в пятницу, а в понедельник госпитализация. Добрые врачи решили посмотреть в мои

Точнее не в домике, а в печали. В думах понимайте как хотите. Продолжение истории как я решила сделать медотвод.

Муж называл меня антипрививочницой. Прививаться или нет пусть решают врачи.

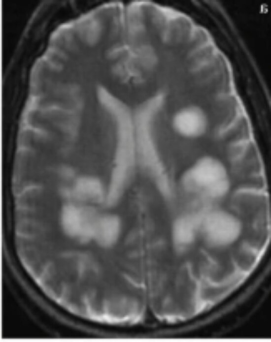
Мрт не моё. Моё на диске. Примерно так сейчас выглядят облака в моей голове.
Мрт не моё. Моё на диске. Примерно так сейчас выглядят облака в моей голове.

Первым пунктом в моём списке было МРТ головного мозга. Два года МРТ делали с контрастом. В марте 20 года контраст ничего не показал, за то без него всё стало видно. Мне сказали, что есть очаги поражения головного мозга, которые похожи на облака. Не удивлена в 18 году и в 19. Их там было два. Ну, ладно очагов мало. Из-за этого у меня проблемы со слухом, начинаются проблемы со зрением и координацией.

В этот раз очаги увеличились в размерах. То-то я чувствую что-то мне не хорошо. Грусть, тоска я в домике.

Ой, а у тебя белок в спинномозговой жидкости. Это фразу я услышала первый раз в 19 году. Нам бы найти у тебя подходящий лимфоузел и сделать пункцию. А в больницу я легла сразу после пневмонии. Выписали меня в пятницу, а в понедельник госпитализация. Добрые врачи решили посмотреть в моих лёгких подходящий лимфоузел. Смотри у тебя подозрение на саркоидоз. Пришёл пульмонолог, поржал. После пневмонии две недели прошло. Конечно в лёгких будет безобразие. Меня когда выписывали с больничного делали рентген лёгких и в одном из лёгких был увеличен лимфоузел. Посмотрел кт, посмотрел мой рентген. Сказал, что у него ко мне вопросов нет. Фтизиатр, а зачем они меня к тебе позвали?

Ладно. Съездила в кабинет саркоидоза. Переделала кт. Они говорят лимфоузел увеличен в пределах нормы. Всё с ним нормально. Пункцию брать не будем.

Было в рекомендациях сделать пэт кт головы с контрастом (искать онкологию) Да пошли вы всё. Заплатить 40 тыс. За то что б получить отрицательный ответ. Ну. Нет.

Начинается 20 год. Ревматолог мне написал системная склеродермия. Это такие красные точки на теле. Перед госпитализацией приехала к заведующему отделением так и так, что мне надо ещё сделать, какие анализы обследования пройти. Что б у вас время не отнимать. Может я сделаю УЗИ щитовидной железы, а то не нравиться мне мой второй подбородок. Сделай, пожалуйста, мрт с контрастом. И пересдай анализы на аутоиммунные заболевания.

Почему самостоятельно это делаю. МРТ щитовидной железы с контрастом делают в СПб только в одном месте. Анализы у меня специфические иммоноблоты, разные антитела и под ОМС не попадают.

МРТ много увеличенных лимфоузлов. Вот тут мы и возьмём что-нибудь. Три раза хаха. Не возьмете их много и они маленькие.

Почему Пэткт не сделала? Онкологи бесплатно отказались делать. Сказали в голове рака нет. Повторяем люмбальную пункцию. Опять белок и вирус Эпштейна-Барра. Не знаю что за вирус. Знаю только что в моём организме есть иммуноглобулины М и G и тесты всегда будут ложно положительные. 4 марта выписка. Не уйдешь 5 мы по поводу тебя консилиум собрали. А что я. Сижу себе после завтрака, музыку в наушниках слушаю, в телефон играю. Врачи ходят, смотрят на меня на мои анализы.

Больная такая-то?

Да

Чего-то вы на больную не похожи.

Анализы видели? МРТ видели?

Да.

Ну, и все. Я не хочу как другие пациенты плакать и переживать.

Честно, плакала когда узнала, что буду глохнуть. Плакала после аудиограм и разговоров с сурдологами. И плакала сейчас, когда тебе принесли плохие новости.

В выписке написано сделать Пэткт всего тела (тела, а не головы).

Сделать пункцию лимфоузлов.

Выписать то меня выписали. Я даже успела проконсультироваться на кафедре челестнолицовой хирургии. Что мне делать с этими лимфоузлами. И локдаун.

Летом приехали на дачу. Мам, в Москве есть институт ревматологии. Пусть они мои анализы посмотрят.

Ревматолог: а зачем они тебя направляют на Пэткт? Тебе нужно к инфекционисту и к нам. А тут как раз о прививках разговор зашел. От повидлы 19. Ревматолог, а тебе нельзя.

Ждала, ждала я себе инфекциониста по омс. С сыном разбиралась. Старшую дочку успела прооперировать. А инфекциониста нет.

Пункт 2. Разобраться с пункцией.

Сегодня ездила к онкологу. Сравнили старое УЗИ лимфоузлов и на новое. Да есть увеличенные лимфоузлы, но из них пункцию брать не надо.

Они всё нормальные. Это не онкология.

А меня всё время в МИБС посылали на Пэткт.

И Пэткт делать не надо.

Так я сэкономила 100 тыс. семейного бюджета.

В четверг меня ждёт иммунолог - ревматолог. Будем дальше искать проблему и решать можно мне делать прививку или нет.