Добавить в корзинуПозвонить
Найти в Дзене
Юлия Селютина

Лечение кариеса у малыша

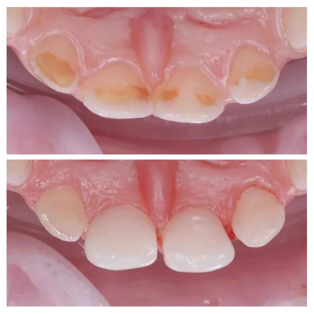
Типичный пример агрессивного кариеса раннего детского возраста. Начинается он на внутренней стороне и в пришеечной зоне на внешней стороне верхних передних зубов. Разрушение стремительное, поэтому тянуть-откладывать нельзя. Есть риск потерять зубки! Пациенту 3 года. Лечение требовалось как можно скорее, но на контакт он не шел. Поэтому принято решение лечить в наркозе. А попал малыш в заботливые руки детского стоматолога Ольги Новиковой. ✔️Все верхние резцы она пролечила от кариеса; ✔️Отреставрировала зубки; ✔️Зашлифовала и отполировала; ✔️Провела профессиональную гигиену полости рта; ✔️Родителям дала рекомендации по домашнему уходу. Процедура наркоза не новая, уже, можно сказать, рядовая. Технология отлично изучена и успешно применяется ежедневно. За одно посещение можно сделать огромный объем работы и избежать слез, истерик и уговоров неконтактного ребенка, и, конечно, спасти зубки от разрушения. ИМЕЮТСЯ ПРОТИВОПОКАЗАНИЯ. НЕОБХОДИМА КОНСУЛЬТАЦИЯ СПЕЦИАЛИСТА.

Типичный пример агрессивного кариеса раннего детского возраста.

Начинается он на внутренней стороне и в пришеечной зоне на внешней стороне верхних передних зубов.

Разрушение стремительное, поэтому тянуть-откладывать нельзя.

Есть риск потерять зубки!

Пациенту 3 года.

Лечение требовалось как можно скорее, но на контакт он не шел.

Поэтому принято решение лечить в наркозе.

А попал малыш в заботливые руки детского стоматолога Ольги Новиковой.

Вид изнутри
Вид изнутри

✔️Все верхние резцы она пролечила от кариеса;

✔️Отреставрировала зубки;

✔️Зашлифовала и отполировала;

✔️Провела профессиональную гигиену полости рта;

✔️Родителям дала рекомендации по домашнему уходу.

Процедура наркоза не новая, уже, можно сказать, рядовая.

Технология отлично изучена и успешно применяется ежедневно.

За одно посещение можно сделать огромный объем работы и избежать слез, истерик и уговоров неконтактного ребенка, и, конечно, спасти зубки от разрушения.

ИМЕЮТСЯ ПРОТИВОПОКАЗАНИЯ. НЕОБХОДИМА КОНСУЛЬТАЦИЯ СПЕЦИАЛИСТА.

-2