Найти в Дзене
Кругозор

"... Унесла жизней больше, чем пушки Колчака… "

Какую болезнь мы сразу вспоминаем, услышав слово "эпидемия"? Чуму, конечно же. Ещё, наверняка, натуральную оспу и холеру. Из более современного — ВИЧ. Ну и ту-которую-нельзя-называть. А вот герой нашей сегодняшней заметки, сыпной тиф, нынче подзабыт. Что неудивительно, ведь в настоящее время существует и эффективное лечение, и профилактика "сыпняка", и он уже больше не выглядит в массовом сознании чем-то страшным. Но было так не всегда… Итак, перенесемся примерно на 100 лет назад. Мир охвачен Первой Мясорубной. Окопы, скученность, антисанитария, вши. И солдаты, один за другим, заболевающие сыпным тифом. Беженцы, военнопленные, дезертиры разносят тиф по всей России. С началом Гражданской становится только хуже. Несмотря на то, что врачи знают, какие противоэпидемические меры нужно предпринять, чтобы остановить триумфальное шествие эпидемии по стране, их рекомендации просто нет возможности выполнить. В России, терзаемой гражданской войной, не найти такого количества бань, прачечных, чи

Какую болезнь мы сразу вспоминаем, услышав слово "эпидемия"? Чуму, конечно же. Ещё, наверняка, натуральную оспу и холеру. Из более современного — ВИЧ. Ну и ту-которую-нельзя-называть. А вот герой нашей сегодняшней заметки, сыпной тиф, нынче подзабыт. Что неудивительно, ведь в настоящее время существует и эффективное лечение, и профилактика "сыпняка", и он уже больше не выглядит в массовом сознании чем-то страшным. Но было так не всегда…

Итак, перенесемся примерно на 100 лет назад. Мир охвачен Первой Мясорубной. Окопы, скученность, антисанитария, вши. И солдаты, один за другим, заболевающие сыпным тифом. Беженцы, военнопленные, дезертиры разносят тиф по всей России. С началом Гражданской становится только хуже. Несмотря на то, что врачи знают, какие противоэпидемические меры нужно предпринять, чтобы остановить триумфальное шествие эпидемии по стране, их рекомендации просто нет возможности выполнить. В России, терзаемой гражданской войной, не найти такого количества бань, прачечных, чистого белья и мыла. Мыло вообще довольно скоро становится предметом спекуляций, и достать его, даже самое простое, можно лишь на чёрном рынке, втридорога.

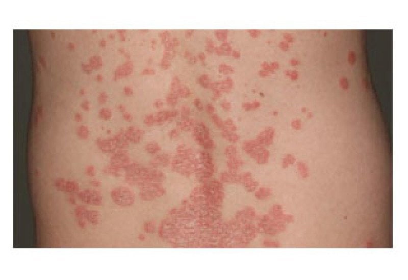
Как протекает сыпной тиф? Остро нарастает интоксикация, температура тела поднимается до 40 градусов и выше, больной жалуется на нестерпимую головную боль. Болят суставы и мышцы. Тифозный больной мучается от кошмарных сновидений, сознание часто спутано, характерны эйфория или, наоборот, беспокойство и возбуждение. Затем к лихорадке и интоксикации присоединяется то, благодаря чему сыпной тиф получил своё название: сыпь. Высыпания появляются по всему телу, кроме, разве что, лица, ладоней и подошв. Артериальное давление падает. Возможно поражение дыхательных путей, вплоть до пневмонии. Страдает центральная нервная система. Встречаются такие грозные осложнения, как энцефалит или менингит. Страдает и сердечно-сосудистая система: тромбофлебиты, эндартерииты, тромбоэмболия лёгочной артерии, кровоизлияние в мозг…

До появления антибиотиков, во время некоторых эпидемий, летальность доходила до 80%.

Возбудителем сыпного тифа является так называемая риккетсия Провачека. Своим названием этот микроорганизм обязан двум микробиологам, американцу Говарду Тейлору Риккетсу и чеху Станиславу Провачеку. Оба этих исследователя умрут от сыпного тифа: Риккетс в 1910 году, Провачек — в 1915. Источник и резервуар "сыпняка" — больной человек. Переносчиком же являются вши — платяная и, реже, головная. Да, именно поэтому так страшны скученность и антисанитария.

Итак, Гражданская. От сыпного тифа страдают красные. Председатель Реввоенсовета 11 армии Я. В. Полуян пишет: "Самая главная причина — это эпидемия тифа, по данным медико-санитарного отдела, в начале января с. г. насчитывалось до 40 тысяч больных, ежедневно поступало около тысячи больных. Армия таяла не по дням, а по часам; начальник 2-ой стрелковой дивизии т. Науменко и военкомдив т. Скворцов в своем донесении сообщают, что в дивизии осталось всего лишь 600 штыков. Было открыто 250 лазаретов, весь медицинский персонал был мобилизован, 75% которого выбывало из строя. Медикаментов не было, не хватало медицинского персонала. Можно определенно сказать: не кадеты разгромили армию, а более страшный враг — эпидемия тифа".

Не лучше дела обстоят и у белых. А. В. Бинецкий, которому довелось служить в 1919 году в Добровольческой армии, вспоминал: "В эшелоне было около 400 чел. сыпнотифозных солдат и офицеров. Санитарное состояние и положение больных не поддается описанию: полное отсутствие медикаментов, холод, голод, грязь и легионы вшей делали свое дело. Ежедневно санитары уносили несколько трупов и складывали в двух задних вагонах как дрова. Эти вагоны ездили с эшелоном и были битком набиты. Все санитары и сестры милосердия переболели тифом, и это время было самое ужасное: трупы умерших оставались лежать по нескольку дней на нарах вместе с больными, печи в теплушках не топились, и, порою, не приносили по целым дням пищи и воды…

Эшелон был похож на мертвый дом: трупный запах и отсутствие признаков жизни придавали мрачный и печальный вид красненьким теплушкам, и только белые тени сестер милосердия да глухие задавленные стоны напоминали, что здесь еще теплится жизнь, что не закончена борьба со смертью".

Всего за период с 1917 по 1921 годы от сыпного тифа умерло порядка 3 млн человек.

В года Великой Отечественной удалось не допустить повторения сыпнотифозного кошмара Гражданской. Свою роль сыграли жесткие противоэпидемические меры, строились бани, прачечные, создавались подвижные эпидемиологические отряды. Наконец, в 1942 году советским микробиологом Пшеничновым была изобретена вакцина для профилактики сыпного тифа. Именно массовая вакцинация сыграла ключевую роль в предотвращении эпидемии. Ну а Пшеничнов в дальнейшем станет лауреатом Государственной премии и посвятит жизнь борьбе с инфекционными заболеваниями.

Вспышки сыпного тифа встречаются и по сей день. Влияют всё те же факторы: педикулез, антисанитария, скученность, массовая миграция, отсутствие бань и прачечных. Но хотя бы летальные исходы нынче редки, менее 1% — за это скажем спасибо антибиотикам.

1, 2. Сыпь при сыпном тифе

3. Платяная вошь

4. Алексей Васильевич Пшеничнов

-2
-3
-4