Найти в Дзене

ГОНАРТРОЗ ИЛИ ДЕФОМИРУЮЩИЙ АРТРОЗ КОЛЕННОГО СУСТАВА

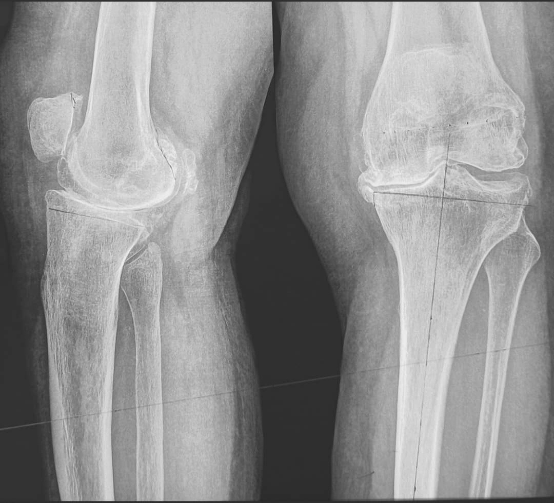
Дегенеративно-дистрофическое заболевание, при котором поражается гиалиновый хрящ, покрывающий мыщелки большеберцовой и бедренной костей. На поздних стадиях гонартроза в процесс вовлекается весь сустав (подлежащая часть кости уплотняется и разрастается). Гонартроз занимает первое место по распространенности среди всех артрозов. Болезнь обычно возникает у пациентов в возрасте старше 40 лет и чаще наблюдается у женщин. В некоторых случаях (после травм, у спортсменов) гонартроз может развиваться в молодом возрасте. Основным проявлением гонартроза являются боли, усиливающиеся при движениях, ограничение движений и синовит (накопление жидкости) в суставе. Лекарственная терапия направлена на оказание противовоспалительного и анальгезирующего эффекта, а также на снижение деструкции хряща. Для решения поставленных задач в современной медицине используются препараты следующих фармакологических групп: -Нестероидные противовоспалительные препараты -препаратоы для внутрисуставных инъекций на основе

Дегенеративно-дистрофическое заболевание, при котором поражается гиалиновый хрящ, покрывающий мыщелки большеберцовой и бедренной костей. На поздних стадиях гонартроза в процесс вовлекается весь сустав (подлежащая часть кости уплотняется и разрастается).

Гонартроз занимает первое место по распространенности среди всех артрозов. Болезнь обычно возникает у пациентов в возрасте старше 40 лет и чаще наблюдается у женщин. В некоторых случаях (после травм, у спортсменов) гонартроз может развиваться в молодом возрасте. Основным проявлением гонартроза являются боли, усиливающиеся при движениях, ограничение движений и синовит (накопление жидкости) в суставе.

Лекарственная терапия направлена на оказание противовоспалительного и анальгезирующего эффекта, а также на снижение деструкции хряща. Для решения поставленных задач в современной медицине используются препараты следующих фармакологических групп:

-Нестероидные противовоспалительные препараты

-препаратоы для внутрисуставных инъекций на основе гиалуроновой кислоты

-PRP (platelet rich plasma, обогащенная тромбоцитами плазма крови пациента)

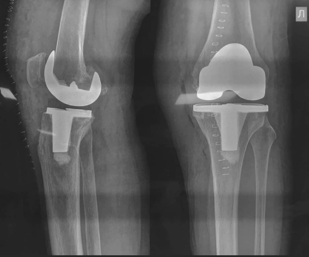
При стадиях артроза, сопровождающихся изменением оси конечности, возможно применение более инвазивных методик, таких как корригирующие остеотомии, вплоть до эндопротезирования сустава.

-2