Добавить в корзинуПозвонить
Найти в Дзене
Рамблер/доктор

Как определить туберкулез на ранней стадии

В 2021 году Россия достигла исторического минимума по смертности от туберкулеза. По данным "Национального медицинского исследовательского центра фтизиопульмонологии и инфекционных заболеваний" за 20 лет заболеваемость снизилась более чем в три раза, а смертность — более чем в четыре раза. Тем не менее инфекционное заболевание до сих пор представляет опасность, особенно в свете коронавирусной пандемии. "Рамблер" рассказывает, как определить болезнь на ранней стадии. О ранних признаках туберкулеза пишет Елена Валерьевна Зырянова, врач-фтизиатр высшей категории. По мнению эксперта, нет характерных клинических признаков, которые указывают исключительно на туберкулез. Однако некоторые симптомы позволяют заподозрить болезнь и лечить ее на ранней стадии. ⠀ По словам врача, данные симптомы (не обязательно все сразу) — это повод обратиться к врачу и провести рентгенологическое обследование органов грудной полости. "Длительно протекающий воспалительный процесс без должной динамики от лечения — э

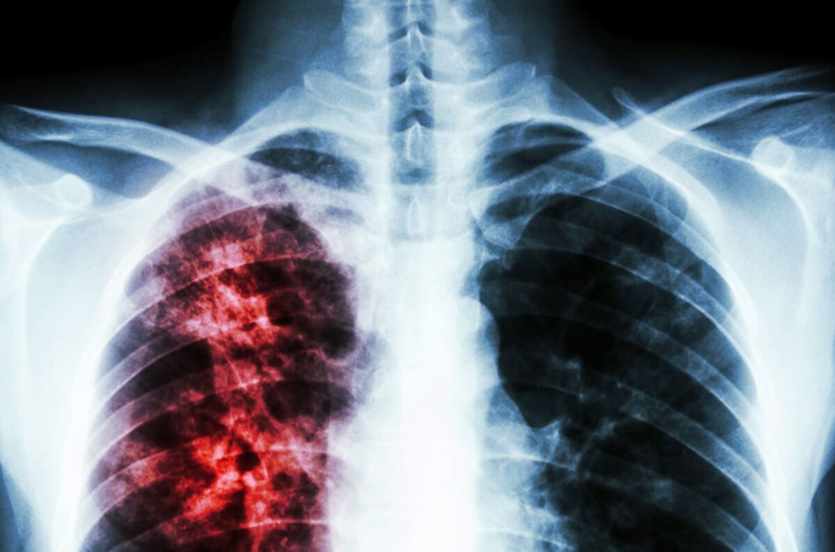
В 2021 году Россия достигла исторического минимума по смертности от туберкулеза. По данным "Национального медицинского исследовательского центра фтизиопульмонологии и инфекционных заболеваний" за 20 лет заболеваемость снизилась более чем в три раза, а смертность — более чем в четыре раза. Тем не менее инфекционное заболевание до сих пор представляет опасность, особенно в свете коронавирусной пандемии. "Рамблер" рассказывает, как определить болезнь на ранней стадии.

О ранних признаках туберкулеза пишет Елена Валерьевна Зырянова, врач-фтизиатр высшей категории. По мнению эксперта, нет характерных клинических признаков, которые указывают исключительно на туберкулез.

Однако некоторые симптомы позволяют заподозрить болезнь и лечить ее на ранней стадии.

  1. Кашель в течение 3 недель и более;
  2. Снижение аппетита, потеря веса;
  3. Периодическое повышение температуры тела;
  4. Потливость по ночам;
  5. Общее недомогание и слабость;
  6. Боли в грудной клетке;
  7. Кровохарканье;
  8. Одышка.

По словам врача, данные симптомы (не обязательно все сразу) — это повод обратиться к врачу и провести рентгенологическое обследование органов грудной полости. "Длительно протекающий воспалительный процесс без должной динамики от лечения — это показание для осмотра фтизиатра", — пишет Елена.