Найти в Дзене
Юлия Селютина

Наркоз: все или ничего

Говорила уже неоднократно, но повторюсь еще раз: наркоз — это серьезная процедура. Если мы решаем лечить ребенка в условиях глубокой седации, то проводим полную санацию полости рта. Лечим ВСЁ, что требуется, ЗА ОДИН РАЗ. Сдача анализов, сам наркоз, лечение — всё это стоит немалых денег. НО! Я за то, чтобы один раз потратиться и вылечить по максимуму, не оставляя на потом. Ведь невылеченные зубы будут негативно влиять на здоровье ребенка и рано или поздно дадут о себе знать. Как раз такой случай произошел недавно у нас в Центре. Пришла мама с малышом (1 г 10 мес). В августе его лечили под наркозом в другой клинике. Были вылечены, внимание❗ Только 3 жевательных зуба❗ Врач не трогал передние и сказал, что лечить их не нужно, пусть гниют, а когда появятся свищи, тогда и удалите... Так делать нельзя! Давать наркоз и не вылечить всё — категорически неверная тактика❌ Я ЩИТАЮ! В полости рта маленького пациента остались разрушенные, пораженные кариесом, зубки. Это постоянный очаг инфекции!

Говорила уже неоднократно, но повторюсь еще раз: наркоз — это серьезная процедура.

Если мы решаем лечить ребенка в условиях глубокой седации, то проводим полную санацию полости рта.

Лечим ВСЁ, что требуется, ЗА ОДИН РАЗ.

Сдача анализов, сам наркоз, лечение — всё это стоит немалых денег.

НО! Я за то, чтобы один раз потратиться и вылечить по максимуму, не оставляя на потом.

Ведь невылеченные зубы будут негативно влиять на здоровье ребенка и рано или поздно дадут о себе знать.

Как раз такой случай произошел недавно у нас в Центре.

Пришла мама с малышом (1 г 10 мес).

В августе его лечили под наркозом в другой клинике.

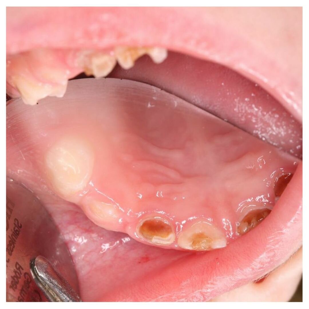
Были вылечены, внимание❗ Только 3 жевательных зуба❗

Врач не трогал передние и сказал, что лечить их не нужно, пусть гниют, а когда появятся свищи, тогда и удалите...

-2
-3
-4
-5

Так делать нельзя!

Давать наркоз и не вылечить всё — категорически неверная тактика❌

Я ЩИТАЮ!

В полости рта маленького пациента остались разрушенные, пораженные кариесом, зубки.

Это постоянный очаг инфекции!

Воспаление может распространиться вглубь, поразить периодонт и зачатки постоянных зубов!

Не говорю уже о негативном влиянии на весь организм.

На приеме мы сделали снимки — лечить нужно срочно.

Центральный верхний резец под вопросом: удалять или еще можно спасти.

У пациента нет противопоказаний к наркозу, поэтому, если процедура показана (а она здесь однозначно показана), то можно лечить даже через такой короткий промежуток времени.

Свои рекомендации мы подробно озвучили родителям пациента, теперь решение за ними.

А вам я еще раз хочу донести свой главный посыл.

Лучше один раз заплатить за качественное тотальное лечение у профессионалов, чем ходить потом перелечиваться.

Изучите свой диагноз и методы лечения, сходите в разные клиники.

Я веду блог больше 6 лет, чтобы вы знали и были в курсе, как выглядит и лечится то или иное заболевание.

Чтобы вы знали, где искать настоящих профи — в команде #ЦентрСелютиной такие ВСЕ.

ИМЕЮТСЯ ПРОТИВОПОКАЗАНИЯ. НЕОБХОДИМА КОНСУЛЬТАЦИЯ СПЕЦИАЛИСТА.

-6