Добавить в корзинуПозвонить
Найти в Дзене

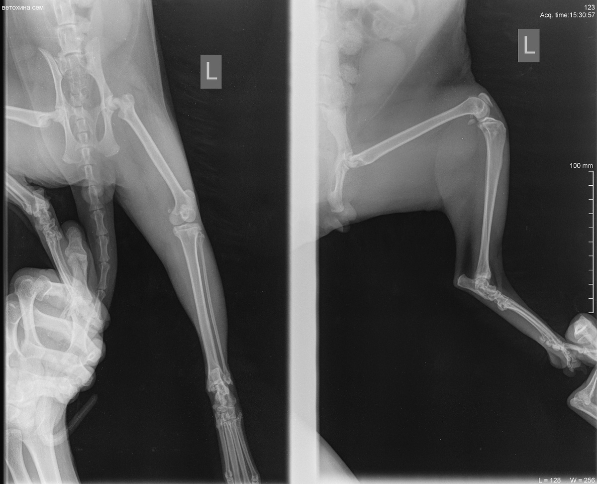
Рентген, УЗИ сердца, впереди операция.

Началось с того, что заметили , как наш кот стал прихрамывать. Временами казалось что нормально ходит. При этом он бегал, прыгал, аппетит хороший. Поняли что какая то лапа болит, а какая не понятно. Сходили в ветеринару, ничего не нашли. Когда я его брала, например когти стричь, он как то укал, как будто ему больно. Прошло время, изменений нет, хромота осталась. И вот взяли его как то на руки, а он при этом оцарапал и выпрыгнул с рук и упал на попу. Закричал и убежал под кровать. Мы испугались не меньше его, когда Сэм вышел то хромал сильнее. Мы снова к ветеринару, ноги не сломали, сделали укол и капли в рот, наблюдать 5-7 дней. Наблюдали неделю и всё осталось по-прежнему. Записались на рентген, оказалось сломана шейка бедра слевой стороны. Только операция улучшит ситуацию. Если её не делать, кот останется инвалидом и дальше могут быть ухудшения. Теперь надо проверить сердце пред операцией. Съездили на УЗИ. Сердце здоровое. Теперь мысленно готовимся к операции. Она назначена на 9 ок

Началось с того, что заметили , как наш кот стал прихрамывать. Временами казалось что нормально ходит. При этом он бегал, прыгал, аппетит хороший. Поняли что какая то лапа болит, а какая не понятно. Сходили в ветеринару, ничего не нашли. Когда я его брала, например когти стричь, он как то укал, как будто ему больно.

Прошло время, изменений нет, хромота осталась. И вот взяли его как то на руки, а он при этом оцарапал и выпрыгнул с рук и упал на попу. Закричал и убежал под кровать.

Мы испугались не меньше его, когда Сэм вышел то хромал сильнее. Мы снова к ветеринару, ноги не сломали, сделали укол и капли в рот, наблюдать 5-7 дней. Наблюдали неделю и всё осталось по-прежнему.

Записались на рентген, оказалось сломана шейка бедра слевой стороны. Только операция улучшит ситуацию. Если её не делать, кот останется инвалидом и дальше могут быть ухудшения.

Теперь надо проверить сердце пред операцией. Съездили на УЗИ. Сердце здоровое. Теперь мысленно готовимся к операции. Она назначена на 9 октября. Очень страшно за кота. Как всё произойдёт никто не знает.

СЭМ
СЭМ

рентген
рентген
любимки наши.
любимки наши.
-4
-5

-6