Найти в Дзене

Какие действия предпринять, если вы скрипите зубами во время сна?

Если с утра испытываете напряжение в челюсти или слышите от домочадцев о странных звуках, исходящих из вашей комнаты, то, возможно, вы #скрипите зубами во сне . Кстати, эта проблема распространена. Почему так происходит и что делать читайте в этой статье. Признаки скрипения зубами Обычно данный процесс происходит, когда вступаете в глубокую фазу сна. Если с утра никто не говорит вам о странных звуках, исходящих из вашей комнаты, то стоит насторожиться, заметив такие симптомы: Повреждения «родных» зубов и коронок возникают, только если #скрипение переходит в тяжелую стадию. Причины скрипения Врачи единогласны во мнении: скрипение возникает на нервной почве. Человек испытывает сильный стресс и непроизвольно #сжимает челюсти . Можно слишком нервничать из-за экзамена, смены работы, перегрузки, переезда. Также причиной такого явления может стать прием антидепрессантов, пристрастие к алкоголю, психотропным веществам и курению. Третья возможная причина – чрезмерная любовь к шоколаду, кофе
Оглавление

Если с утра испытываете напряжение в челюсти или слышите от домочадцев о странных звуках, исходящих из вашей комнаты, то, возможно, вы #скрипите зубами во сне . Кстати, эта проблема распространена.

Около 20% детей и 10% взрослых во всем мире испытывают те же трудности.
Около 20% детей и 10% взрослых во всем мире испытывают те же трудности.

Почему так происходит и что делать читайте в этой статье.

Признаки скрипения зубами

Обычно данный процесс происходит, когда вступаете в глубокую фазу сна. Если с утра никто не говорит вам о странных звуках, исходящих из вашей комнаты, то

стоит насторожиться, заметив такие симптомы:
  • болят уши после пробуждения
  • ощущаете дискомфорт в челюсти и мышцах лица
  • испытываете тупую боль в висках
  • челюсть слишком напрягается во время жевания
  • на щеках изнутри появляются ранки, которые слишком болят
  • зубы становятся более чувствительными
  • на эмали появляются трещины
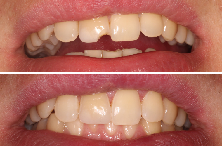
  • скалываются #зубы, коронки или пломбы

Повреждения «родных» зубов и коронок возникают, только если #скрипение переходит в тяжелую стадию.

-2

Причины скрипения

Врачи единогласны во мнении: скрипение возникает на нервной почве. Человек испытывает сильный стресс и непроизвольно #сжимает челюсти . Можно слишком нервничать из-за экзамена, смены работы, перегрузки, переезда. Также причиной такого явления может стать прием антидепрессантов, пристрастие к алкоголю, психотропным веществам и курению. Третья возможная причина – чрезмерная любовь к шоколаду, кофе и коле.

Риск появления ночного скрипения выше у людей, у которых присутствуют иные нарушения сна. Например, храп или лунатизм. Еще больше шансов у людей, которые страдают от болезни Паркинсона и эпилепсии. Связи между глистами и появлением ночного скрипения нет.

Почему скрипение – это плохо?

  • развитие стоматологических проблем – стирание или #сколы зубов
  • обвисание тканей из-за укорочения зубов
  • изменение черт лица
  • появление сильной #боли в челюсти с утра
  • риск развития дисфункции височно-нижнечелюстных суставов
Если возникла проблема, которая причиняет дискомфорт, то ее не стоит игнорировать.
Если возникла проблема, которая причиняет дискомфорт, то ее не стоит игнорировать.

Что делать, чтобы не #скрипеть зубами ?

Если скрипение никак не беспокоит, его можно не лечить. Но лучше снизить потребление напитков с высоким содержанием кофеина. Также на пользу организму пойдет отказ от курения и трудоголизма.

Способы профилактики:
  • медитация, неспешная прогулка перед сном
  • нормальный режим работы и отдыха
  • отказ от жевательных резинок
  • при подозрении на наличие тревожного расстройства стоит посетить специалиста
Если скрипение мешает настроиться на продуктивный и активный день, стоит обратиться за консультацией стоматолога.
Если скрипение мешает настроиться на продуктивный и активный день, стоит обратиться за консультацией стоматолога.

#Стоматолог порекомендует изготовить капы, которые придется надевать на ночь. Такая защита поможет уберечь зубы от стирания и повышенной нагрузки на суставы челюсти. Если возникли необратимые повреждения, специалист порекомендует #установку коронок .

Иногда для лечения показано использование миорелаксантов, антидепрессантов и инъекций ботокса. Однако, всегда стоит смотреть на персональную клиническую картину.

Если есть риск того, что скрипение возникло из-за приема лекарственных препаратов, то врач назначает оптимальную замену. Также не стоит игнорировать психические расстройства и #нарушения сна .

И будьте здоровы!