Добавить в корзинуПозвонить
Найти в Дзене

В британии школьник решил проверить длинну своего полового члена, и засунул туда то, что засовывать не следовало.

Перед каждым юношей рано или поздно встаёт очень важный для него вопрос: какой длинные у меня пенис? Вот только решение этого вопроса все ищут разыми путями. И некоторые не самыми очевидными. Так к примеру 15-летний подросток из Лондона не не нашел решения лучше, чем использовать для этих целей USB кабель. Юноша был доставлен в больницу сразу после того, как его родители обнаружили кровь которая обильно выходила из полового органа подростка. Юноша тайно от родителей признался врачам что взял и запихнул в себя достаточно длинные кабель USB, надеясь таким образом рассчитать размер своего достоинства. Когда юноша попытался извлечь кабель, то лишь усугубил свою ситуацию.. Поняв, что без операции тут не обойтись, юношу отправили на рентген. И лишь после того как точная длинна и расположения кабеля стали им известны, хирурги аккуратно разрезали мышцы в районе мошонки подростка, а затем разорвали и извлекли от туда кабель. Уже на следующий день парень был успешно выписан из больницы, но докт

Перед каждым юношей рано или поздно встаёт очень важный для него вопрос: какой длинные у меня пенис?

Вот только решение этого вопроса все ищут разыми путями.

И некоторые не самыми очевидными.

Так к примеру 15-летний подросток из Лондона не не нашел решения лучше, чем использовать для этих целей USB кабель.

Юноша был доставлен в больницу сразу после того, как его родители обнаружили кровь которая обильно выходила из полового органа подростка.

Юноша тайно от родителей признался врачам что взял и запихнул в себя достаточно длинные кабель USB, надеясь таким образом рассчитать размер своего достоинства.

Когда юноша попытался извлечь кабель, то лишь усугубил свою ситуацию..

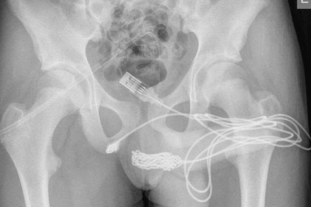
Поняв, что без операции тут не обойтись, юношу отправили на рентген.

И лишь после того как точная длинна и расположения кабеля стали им известны, хирурги аккуратно разрезали мышцы в районе мошонки подростка, а затем разорвали и извлекли от туда кабель.

-2

Уже на следующий день парень был успешно выписан из больницы, но доктор Амр Рахим подметил:

"Хоть и операция прошла успешно, позже у пациента может развиться сужение уретры, что грозит вызвать проблемы при мочеиспускании или предрасположить его к рецидивирующей инфекции мочевых путей"

По словам специалистов, в последнее время подобных случаев становиться все больше.

Они связанны с распространением социальных сетей, которое позволяет людям делиться с другими не самыми здравыми идеями.

Берегите себя.