Добавить в корзинуПозвонить
Найти в Дзене
Просто Михална

Клещи не дремлют и осенью. Собаководы, осторожно, пироплазмоз!

Бабезиоз или пироплазмоз собак – это сезонное заболевание, ежегодно уносящее жизни тысяч собак. Тем не менее, общаясь с владельцами собак, я удивилась, насколько мало они осведомлены об опасности этого заболевания и необходимости его профилактики. Вместе с моими коллегами и студентами мы исследовали и продолжаем исследовать проблему пироплазмоза у собак, и сегодня я готова поделиться результатами в сжатом и доступном формате. Кто является возбудителем заболевания? Пироплазмоз вызывают паразитические простейшие Babesia canis. Эти микроорганизмы проникают в эритроциты (красные кровяные клетки), где и происходит их размножение. Чем опасен пироплазмоз? Страшны не сами бабезии, а то, что происходит в организме под влиянием их жизнедеятельности. Бабезии паразитируют в крови, а точнее в эритроцитах, разрушая их. Происходит распад эритроцитов, выделение большого количества гемоглобина – внутренние органы не справляются с этой работой. В связи с этим образуются токсические продукты распа
Оглавление
Делюсь результатами научных  исследований по пироплазмозу - возбудители заболевания, переносчики, оценка риска заражения.
Делюсь результатами научных исследований по пироплазмозу - возбудители заболевания, переносчики, оценка риска заражения.

Бабезиоз или пироплазмоз собак – это сезонное заболевание, ежегодно уносящее жизни тысяч собак. Тем не менее, общаясь с владельцами собак, я удивилась, насколько мало они осведомлены об опасности этого заболевания и необходимости его профилактики.

Вместе с моими коллегами и студентами мы исследовали и продолжаем исследовать проблему пироплазмоза у собак, и сегодня я готова поделиться результатами в сжатом и доступном формате.

Кто является возбудителем заболевания?

Пироплазмоз вызывают паразитические простейшие Babesia canis. Эти микроорганизмы проникают в эритроциты (красные кровяные клетки), где и происходит их размножение.

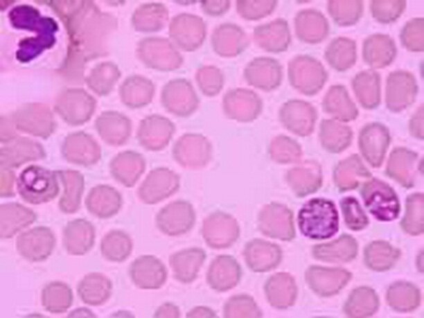
Так выглядят зараженные бабезиями эритроициты
Так выглядят зараженные бабезиями эритроициты

Чем опасен пироплазмоз?

Страшны не сами бабезии, а то, что происходит в организме под влиянием их жизнедеятельности. Бабезии паразитируют в крови, а точнее в эритроцитах, разрушая их. Происходит распад эритроцитов, выделение большого количества гемоглобина – внутренние органы не справляются с этой работой. В связи с этим образуются токсические продукты распада. При этом страдают печень, почки, селезенка, а так же может возникнуть гипоксия мозга, что вызовет тяжелейшие последствия

Важно: без лечения летальность заболевания достигает 98%

Как происходит заражение собак?

Заражение происходит при укусе клещей - представителей семейства Иксодовые. У бабезий очень сложный жизненный цикл, часть которого протекает в теле клещей, а часть - в теле млекопитающего

цикл развития бабезии канис
цикл развития бабезии канис

Среди наиболее распространенных переносчиков - луговой клещ и собачий клещи. Наши исследования зараженности клещей бабезиями показали, что зараженными (а следовательно, опасными для собак) могут быть и клещи Павловского. и даже таежные клещи, ранее считавшиеся безопасными для собак. Есть и эндемичные переносчики, распространенные лишь в некоторых регионах.

Листайте галерею

ВАЖНО: если любой клещ впился в собаку, будьте начеку!

Какие есть еще пути заражения? Может ли здоровая собака заразиться от больной? Опасно ли заболевание для человека?

Нет, заражение происходит только через кровь. Есть единственный способ заражения - от зараженной матери к щенкам. Для человека, для кошек, хомячков и любых других домашних питомцев заболевшая собака не представляет опасности.

В каких регионах собака может заразиться?

К сожалению, риск заражения есть практически по всей территории России, исключая районы тундры, лесонтундры. Но особенно неблагополучны по пироплазмозу Европейская часть России, Урал, Западная Сибирь и Алтай. К сожалению, есть четкая тенденция к географическому распространению этого заболевания - оно активно проникает на север и восток страны. Если 20 лет назад мы в Кузбассе не знали такой проблемы, то в настоящее время наблюдается настоящая сезонная эпизоотия ( то же, что эпидемия, только у животных). Буквально в последние годы возбудитель проник и в Среднюю Сибирь.

В какой период надо остерегаться клещей?

Основной переносчик - луговой клещ активизируется ранней весной, как только возникают первые проталины. Летом его активность несколько снижается, и снова возрастет осенью, сохраняясь до устойчивых минусовых температур.

В Западной Сибири последние обращения со впившимся клещом регистрировали в ноябре.
Это наши данные по обращению в ветклиники владельцев собак с пироплазмозом
Это наши данные по обращению в ветклиники владельцев собак с пироплазмозом

Значит ли это, что в теплых регионах клещи активны круглогодично? Нет, так как в их цикле присутствует стадия диапаузы - неактивного состояния.

Каждый ли клещ - переносчик возбудителя?

Мы исследовали собранных клещей с помощью методики ПЦР, чтобы определить, какой процент их популяции заражен бабезиями. оказалось, что эта цифра сильно варьирует. Наибольшую зараженность показали луговые клещи в городской и пригородной зоне - 38%.

Листайте галерею

Что делать при обнаружении клеща?

Первым делом - как можно быстрее удалить клеща! Особенно, если он еще не раздулся. Но сделать это надо аккуратно, не оставляя в коже собаки его хоботок. Это можно сделать при помощи специальной вилочки, а можно обойтись петелькой из нити, накинув и затянув ее как можно ближе к коже. Не надавливайте на раздувшееся брюшко.

-7

В ряде городов можно сделать ПЦР-диагностику извлеченного клеща. В этом случае его необходимо доставить в лабораторию живым немедленно, поместив во влажную вату или немедленно заморозить. В противном случае ДНК быстро разрушится и анализ будет недостоверным.

Неизбежно ли развитие болезни, если клещ был зараженным?

Вот тут я приведу уникальные данные, хотя объем наблюдений будет небольшим. В наших исследованиях были случаи, когда напившийся клещ, снятый с собаки, был инфицирован бабезиями, но заражение собаки не произошло. И все же уповать на такое не следует.

Какие признаки заболевания проявляются первыми?

Инкубационный период продолжается от 3 дней до 3 недель, и по нашим наблюдениям, в последнее время он имеет тенденцию у укорочению.

Первое, на что надо обратить внимание - вялость и потеря аппетита!

Следом за эти идет

  • резкий подъем температуры (до 40-43)
  • потемнение мочи (она становится бурой)
  • бледность слизистых (десен)
  • пожелтение белков глаз

ВАЖНО: Нельзя терять ни минуты, ранняя диагностика и лечение - залог выздоровления собаки!

В ветеринарной клинике пироплазмоз диагностируют по клинической картине и анализу крови. При заражении будут видны пораженные эритроциты, как на первом рисунке.

Общая схема лечения - на рисунке ниже. Естественно, что проводится оно только в ветеринарных клиниках.

-8

Самостоятельно применение противопротозойных препаратов недопустимо!

Как правило заболевание протекает остро, но может принимать и хроническую форму. В редких случаях мы наблюдали форму носительства - в крови собак были обнаружены бабезии, но при этом собаки были здоровы.

Клеща не снимали, а признаки заболевания есть. Как это происходит?

В некоторых случаях бывает и так. Иногда клещ не впивается полностью, а как бы накусывает жертву. Вероятность инфицирования бабезиями в этом случае невелика, но все же шанс заразиться есть. Иногда это происходит у собак, обработанных акарицидными препаратами. В редких случаях собак могут кусать не имаго (взрослые клещи), а нимфы, которые быстро напиваются и отпадают.

ВАЖНО: если есть симптомы, диагностику и лечение нужно проводить независимо от того, был ли найден клещ на собаке!

Существует ли профилактика заражения пироплазмозом?

Да, существует. В следующей статье я расскажу об имеющихся средствах защиты и об эффективности их применения по данным наших исследований.

Где почитать подробнее? Например здесь и здесь и тут

Либо задавайте вопросы в комментариях.

Сталкивались ли Вы с пироплазмозом? Готовы поделиться опытом и, возможно, принять участие в дальнейших исследованиях?

Если статья показалась Вам полезной, помогите распространить ее, поставив лайк и поделившись в соцсетях!

#здоровье собаки #пироплазмоз #клещи #домашние питомцы