Найти в Дзене
Олег Лисичкин

Как на нас зарабатывают стоматологи. Истираемость передних резцов.

Это повествование длинное, немного занудное, но если вы дочитаете его до конца, то полученная информация может помочь сэкономить десятки тысяч рублей вашего бюджета. Написать эту статью меня побудила картинка, случайно попавшаяся на просторах инета Сразу скажу: стоматологам я не доверяю давно, еще с советских времен. Тогда один врач, вместо того чтобы вылечить мне больной зуб, вколола какую-то "блокаду". Зуб болеть перестал, но через год его пришлось совсем удалить. Но речь не о прошлых временах, а о современных реалиях бизнес-времени. В детстве и молодости я любил снимать изоляцию с проводов зубами. Специальных инструментов тогда было не достать, а так быстрее. О зубах, естественно, тогда не думал. В результате к 2000 годам получил немного хуже чем такое: В 2004 году при осмотре у стоматолога мне посоветовали срочно поставить коронки на передние резцы иначе вскоре все развалится. Вот это "срочно" меня очень напрягло! Зубы не болели, провода я уже пару лет как не грыз. В общем, с так

Это повествование длинное, немного занудное, но если вы дочитаете его до конца, то полученная информация может помочь сэкономить десятки тысяч рублей вашего бюджета.

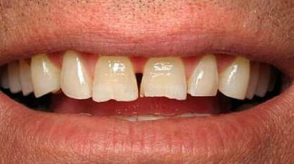
Написать эту статью меня побудила картинка, случайно попавшаяся на просторах инета

Вот так нас видят стоматологи
Вот так нас видят стоматологи

Сразу скажу: стоматологам я не доверяю давно, еще с советских времен. Тогда один врач, вместо того чтобы вылечить мне больной зуб, вколола какую-то "блокаду". Зуб болеть перестал, но через год его пришлось совсем удалить.

Но речь не о прошлых временах, а о современных реалиях бизнес-времени. В детстве и молодости я любил снимать изоляцию с проводов зубами. Специальных инструментов тогда было не достать, а так быстрее. О зубах, естественно, тогда не думал. В результате к 2000 годам получил немного хуже чем такое:

Фото из инета
Фото из инета

В 2004 году при осмотре у стоматолога мне посоветовали срочно поставить коронки на передние резцы иначе вскоре все развалится. Вот это "срочно" меня очень напрягло! Зубы не болели, провода я уже пару лет как не грыз. В общем, с такими передними зубами я дожил до 2015 года (13 лет!!!), но мысль что что-то надо с ними делать меня периодически посещала.

Между стенками передних резцов у меня периодически застревали мелкие семечки от ягод и я подумал: раз застревают семечки, то материал пломбы точно должен держаться. Я проконсультировался со знакомым стоматологом (сестра жены, но живет она в другом городе) и выяснил, что можно отреставрировать передние резцы без бормашинки. Ну условно без бормашинки, но сверлить ничего не нужно. Одну такую процедуру этот стоматолог уже проводила (т.е. направление моих мыслей было правильное). И я занялся поисками стоматолога в Великом Новгороде, кто мне сделает передние резцы по "моей" технологии. Неспешные поиски заняли еще 2 года (без особой нужды к врачам я ни ногой). Пять врачей мне сказали, что так как я хочу делать нельзя - только коронки! Я уже почти отчаялся, но в 2017 набрел на молодого врача и она решила совместно со мной провести эксперимент. Правда деньги содрала как за два глубоких кариеса!

Повторюсь, сама процедура была в 2017 году, а вот как выглядят мои верхние резцы сейчас (в 2022 году)

Передние резцы автора. Прошу прощения за небритость!
Передние резцы автора. Прошу прощения за небритость!

Кончики пломбы конечно немного истерлись за 5 лет в некоторых местах, но зубы до сих пор живые и как новые. Какие применялись материалы я не знаю, но теперь, собственно, сама технология:

  • на бормашинку одевается шлифовальный круг и немного стачивается край эмали с наружной стороны зуба для придания шероховатости. Именно шлифовальным кругом, а не буром!
  • Проводится подтравливание стенок зуба внутри и снаружи для улучшения адгезии материала пломбы
  • Наносится и отверждается пломбировочный материал
  • Финишная обработка пломбировочного материала

Как видите технология рабочая и довольно проста. По идее, она должна стоить дешевле легкого кариеса. Но тут уж как с врачом договоритесь, если найдете нужного. А представьте сколько сейчас стоит металокерамика на 2 передних зуба с удалением корней и пр.! По Новгородским ценам я насчитал около 70 тыс. руб. (не говоря уже о неприятной процедуре лечения). Следите за своими зубами и не поддавайтесь на провокации врачей. Всем здоровья!

Дзен практически не показывает мои статьи. Хочешь узнать больше - подпишись.

Вот в (этой статье) я описал как в хорошем смысле можно экономить на лечении как детских, так и взрослых зубов.