Найти в Дзене

УЗ-исследование селезенки у животных. Для чего оно нужно?

Селезенка относится к непарным паренхиматозным органам. Строма образована соединительнотканной капсулой, покрытой серозной оболочкой, и отходящими внутрь органа трабекулами. Паренхима селезенки разделяется на красную и белую пульпу. Белая пульпа представлена многочисленными лимфоидными узелками, а красная — сосудами микроциркулярного русла. Характерная особенность красной пульпы у собак состоит в том, что она образует синусы селезенки, у кошек синусы развиты очень слабо или вообще отсутствуют. Как выглядит селезенка у животного? У собак и кошек селезенка плоская, вытянутой лентовидной формы, дорсальный конец узкий, вентральный более широкий. На висцеральной поверхности располагаются ворота селезенки, куда впадает селезеночная артерия.
Селезенка располагается слева, прилежит к брюшной стенке (левое подреберье, левая подвздошная область), доходит до левой почки. Дорсальным концом селезенка прикрепляется желудочно-селезеночной связкой к большой кривизне желудка. Какие функции в организме
Оглавление

Селезенка относится к непарным паренхиматозным органам. Строма образована соединительнотканной капсулой, покрытой серозной оболочкой, и отходящими внутрь органа трабекулами. Паренхима селезенки разделяется на красную и белую пульпу. Белая пульпа представлена многочисленными лимфоидными узелками, а красная — сосудами микроциркулярного русла. Характерная особенность красной пульпы у собак состоит в том, что она образует синусы селезенки, у кошек синусы развиты очень слабо или вообще отсутствуют.

Как выглядит селезенка у животного?

У собак и кошек селезенка плоская, вытянутой лентовидной формы, дорсальный конец узкий, вентральный более широкий. На висцеральной поверхности располагаются ворота селезенки, куда впадает селезеночная артерия.
Селезенка располагается слева, прилежит к брюшной стенке (левое подреберье, левая подвздошная область), доходит до левой почки. Дорсальным концом селезенка прикрепляется желудочно-селезеночной связкой к большой кривизне желудка.

Какие функции в организме выполняет селезенка:

1. Лимфопоэз. Синтез и антигензависимая дифференцировка Т и В-лимфоцитов;
2. На ранних стадиях эмбриогенеза – универсальное кроветворение;
3. Выполнение роли биологического фильтра (фильтрация крови), т.к. селезеночные макрофаги уничтожают антигены и любые инородные частицы (разрушение эндотоксинов, нерастворимых компонентов клеточного детрита при ожогах, травмах и других тканевых повреждениях);
4. Депонирование крови в синусоидных капиллярах и венозных синусах;
5. Утилизация эритроцитов;
6. Обеспечение иммунных реакций с участием Т- и В-лимфоцитов;
7. Депо моноцитов;
8. Участие в метаболизме;
9. Депо тромбоцитов;
10. Превращение гемоглобина в билирубин и гемосидерин;
11. Резервуар железа в организме;
12. Участие в процессе гемолиза.

Показания для проведения УЗИ селезенки:

1. Спленомегалия;
2. Образование в левой подвздошной области;
3. Травма;
4. Увеличение объема живота;
5. Желтуха;
6. Анемия;
7. Бледность слизистых оболочек;
8. Лейкоцитоз;
9. Лейкопения;
10. Асцит;
11. Лихорадка;
12. Боль в брюшной полости;
13. Увеличение лимфатических узлов;
14. Лимфоцитоз;
15. Лимфопения;
16. Новообразовательные процессы в других органах;
17. Гемабдомен;
18. Снижение гематокрита;
19. Гемопаразитарные болезни.

Какие заболевания можно обнаружить и диагностировать с помощью УЗИ селезенки:

1. Пороки развития (агенезия селезенки, микроспления);
2. Диагностика добавочной селезенки;
3. Диагностика спленомегалии;
4. Диагностика портальной гипертензии;
5. Диагностика лимфомы;
6. Обнаружение диагностических признаков инфекционных болезней;
7. Диагностика септической селезенки;
8. Диагностика кистозных изменений селезенки (поликистоз, единичные кисты);
9. Обнаружение гематом;
10. Диагностика спленита;
11. Диагностика инфарктов;
12. Диагностика абсцессов;
13. Диагностика травматизации селезенки (наличие свободной жидкости в брюшной полости, субкапсулярные гематомы, разрывы паренхимы);
14. Диагностика новообразований (очаговые, диффузные);
15. Обнаружение тромбоэмболии сосудов селезенки;
16. Визуализация метастатических поражений.

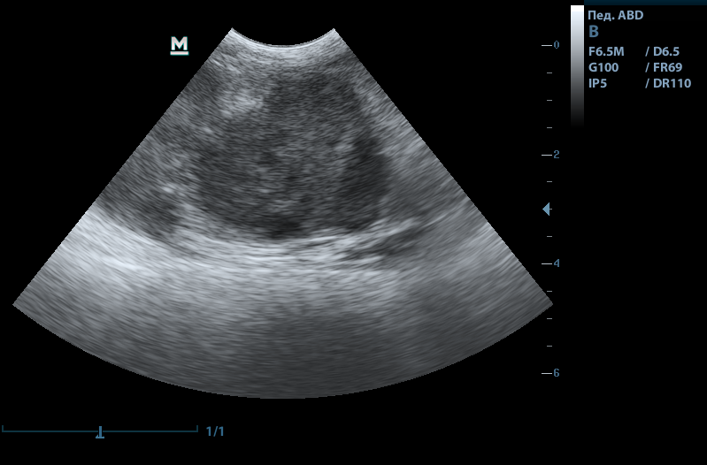
Рис.1. Новообразовательный процесс в селезенке у кота
Рис.1. Новообразовательный процесс в селезенке у кота

Рис.2. Спленомегалия у кошки
Рис.2. Спленомегалия у кошки

Рис.3. Асцит. Визуализируется край нормальной селезенки
Рис.3. Асцит. Визуализируется край нормальной селезенки

Рис.4. Очаговое новообразование тела селезенки
Рис.4. Очаговое новообразование тела селезенки

Как нужно подготовить животное к УЗИ селезенки?

Голодная диета у собак 8-10 часов, у кошек 6 часов со свободным доступом воды. В месте исследования механически удаляется шерсть (машинкой для стрижки), наносится специальный гель. В экстренных случаях исследование проводится без подготовки.
Пациента укладывают на правый бок или на спину. УЗИ селезенки выполняют датчиками 5 и 7.5 МГц.
В норме на УЗИ селезенка вытянутой формы, однородная. Контур ровный, четкий, иногда видно капсулу. Визуализируются сосуды. У собак достигает в ширину 3 см, у кошек 1.5см.

В ветеринарных клиниках в г.Витебск, г.Могилев, г.Новополоцка, г.Минск (Беларусь) и г.Санкт-Петербург, г.Смоленск, г.Севастополь (Россия)  Ветеринарного центра доктора Базылевского А.А. можно получить подробную консультацию по вопросам проведения УЗИ селезенки, пройти обследование и получить необходимые рекомендации по лечению и профилактике заболеваний селезенки.