Добавить в корзинуПозвонить
Найти в Дзене

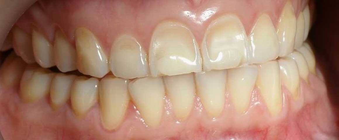
Что нужно знать о кислотной эрозии эмали зубов?

Латинское слово «эрозия» в переводе на русский означает – разъедание. При диагнозе «эрозия зубной эмали» разъедается/портится верхний слой зубов, а на последних стадиях страдает и твердая ткань зуба – дентин, являющийся его основной частью. Кислотный износ – часто встречающаяся проблема полости рта. Каждый третий человек до 35 лет страдает от эрозии. Она может поражать молочный прикус и постоянный, только в разном возрасте страдают разные зубы. У ребенка кислотный износ можно заметить на резцах, а у взрослого человека чаще всего поражаются клыки. Данная болезнь ротовой полости вызывает потерю зубной эмали. Ваши зубы начинают тускнеть и желтеть. Как распознать? Самый заметный симптом – возникновение на эмали дефектов в форме овала или круга. В простонародье называют форма «блюдца» или «чашевидная». Но лучше до такого не доводить. Дефект виден невооруженным глазом только на последних стадиях. К стоматологу следует обращаться раз в полгода. Он сможет выявить болезнь на начальном этапе. С
Оглавление

Латинское слово «эрозия» в переводе на русский означает – разъедание. При диагнозе «эрозия зубной эмали» разъедается/портится верхний слой зубов, а на последних стадиях страдает и твердая ткань зуба – дентин, являющийся его основной частью.

Кислотный износ – часто встречающаяся проблема полости рта. Каждый третий человек до 35 лет страдает от эрозии. Она может поражать молочный прикус и постоянный, только в разном возрасте страдают разные зубы. У ребенка кислотный износ можно заметить на резцах, а у взрослого человека чаще всего поражаются клыки. Данная болезнь ротовой полости вызывает потерю зубной эмали. Ваши зубы начинают тускнеть и желтеть.

Как распознать?

Самый заметный симптом – возникновение на эмали дефектов в форме овала или круга. В простонародье называют форма «блюдца» или «чашевидная». Но лучше до такого не доводить. Дефект виден невооруженным глазом только на последних стадиях. К стоматологу следует обращаться раз в полгода. Он сможет выявить болезнь на начальном этапе.

Стоматолог при осмотре вашей ротовой полости обратит внимание на следующие симптомы болезни:

  • эмаль стала матового цвета (в здоровом состоянии она должна быть лакированной и хорошо отображать свет) и имеет серо-желтый цвет;
  • на поверхности зубов видны светлые пятна;
  • зубы становятся очень чувствительными. Больно есть мороженое, пить горячий чай, кусать кислые фрукты и ягоды. Человек начинает испытывать неприятные ощущения, даже когда вдыхает прохладный воздух на улице;
  • существует большая вероятность повреждения эмали в участках соприкосновения зубов.
-2

Причины возникновения

Кислотная эрозия возникает из-за высокого содержания кислоты во многих привычных нам продуктах (свежие овощи, фрукты) и напитках (газировка, черный чай, фруктовые соки, вино). В сладких газированных напитках содержатся химические соединения и красители, которые разъедают и пигментируют эмаль, тем самым придавая ей желтый оттенок. В кофе присутствуют красящие пигменты, которые проникают в твердые ткани и меняют их оттенок. На здоровье полости рта также влияют белое и красное вино. Белое ускоряет разрушение эмалевого слоя, а красное искажает его визуально. Эрозии подвержены вегетарианцы и все приверженцы идеологии «здорового питания», а также любители газированных напитков и алкоголя.

Если вы слишком часто и интенсивно будете чистить полость рта, то и это может ускорить износ эмали, провоцируемый кислотой из пищи и напитков. Врачи советуют прибегать к гигиене ротовой полости не менее двух раз в день, а профессиональную чистку зубов проводить 2 раза в год. Чтобы качественно чистить зубы нужное время, можно взять на заметку песочные часы на 30 секунд или поставить таймер/будильник на мобильном устройстве. К проблемам с эмалью также может привести чистка щеткой с очень твердой щетиной. Ваш дантист поможет подобрать идеальную для вас зубную щетку в зависимости от состояния ваших зубов. Не стоит прибегать к некачественному процессу отбеливания, потому что этот фактор тоже приводит к кислотной эрозии.

Следующая причина – проблема с желудочно-кишечным трактом. Регургитация (процесс заброса содержимого желудка обратно в ротовую полость) может привести к кислотной эрозии. Желудочный сок содержит соляную кислоту, которая оказывает разрушительное воздействие на эмаль.

Обратите внимание не только на состояние вашего желудка, но и на свой прикус. Неправильный прикус – причина распределения неравномерной нагрузки на обе челюсти, что в последствии вредит эмали.

Кроме того, стоит выбирать безопасное место труда. Ученые доказали, что у работников на предприятиях с токсическими выбросами кислотная эрозия выявляется намного чаще, чем у обладателей других профессий.

Методы лечения и профилактики

Пейте кислотосодержащие напитки через трубочку и не держите их долго в ротовой полости. Воздержитесь от чистки зубов сразу после употребления еды или напитков. От приема пищи до чистки должно пройти не менее 15 минут.

-3

Используйте пасту с содержанием фтора, если вода в вашем кране не содержит большой концентрации данного химического элемента.

Употребляйте кислотообразующие продукты в меру. Включите в свой рацион полезную пищу и напитки, которые укрепляют эмаль: зеленые овощи, твердый сыр, жирная рыба и зеленый чай.

И главное – не занимайтесь самолечением! Посетите своего стоматолога, если вы у него не были в течение года. Даже при ежедневном уходе за полостью рта вам потребуется профессиональная гигиена и консультация специалиста.