Добавить в корзинуПозвонить
Найти в Дзене
KENMED.ru

Рассекающий остеохондрит коленного сустава

Рассекающий остеохондрит, или болезнь Кёнига – это состояние, при котором в результате некроза небольшого участка суставной поверхности отламываются отдельные фрагменты кости и хряща. Чаще всего поражается коленный сустав – до 75% случаев. Но процесс может затрагивать и другие суставы: локтевой, голеностопный, тазобедренный и плечевой. Остеохондрит может быть двусторонним (поражает симметричные суставы как с правой, так и с левой стороны). Иногда одновременно начинают разрушаться суставы различных локализаций. Как правило, остеохондрит встречается у лиц молодого возраста (от 10 до 30-35 лет) и в три раза чаще у мужчин, чем у женщин. Рассекающий остеохондрит: причины развития Существует много теорий условий возникновения заболевания. Наиболее широкое распространение получили две – травматическая и сосудистая. Сосудистая теория Согласно статистике поражения возникают в той части сустава, на которую приходится основная нагрузка – вес тела. Главным образом страдают мыщелки бедренной кости
Оглавление

Рассекающий остеохондрит, или болезнь Кёнига – это состояние, при котором в результате некроза небольшого участка суставной поверхности отламываются отдельные фрагменты кости и хряща.

Чаще всего поражается коленный сустав – до 75% случаев. Но процесс может затрагивать и другие суставы: локтевой, голеностопный, тазобедренный и плечевой.

Остеохондрит может быть двусторонним (поражает симметричные суставы как с правой, так и с левой стороны). Иногда одновременно начинают разрушаться суставы различных локализаций.

Как правило, остеохондрит встречается у лиц молодого возраста (от 10 до 30-35 лет) и в три раза чаще у мужчин, чем у женщин.

Рассекающий остеохондрит: причины развития

Существует много теорий условий возникновения заболевания. Наиболее широкое распространение получили две – травматическая и сосудистая.

Сосудистая теория

Согласно статистике поражения возникают в той части сустава, на которую приходится основная нагрузка – вес тела. Главным образом страдают мыщелки бедренной кости и особенно медиальный мыщелок.

Проблемная зона находится в состоянии постоянного стресса. Поврежденные ткани не успевают зажить, разрушаются кровеносные сосуды. Недостаточное кровоснабжение и снижение притока жизненно важных питательных веществ усугубляют ситуацию. Ткани начинают дегенерировать. Развивается асептический некроз – гибель клеток в результате нарушения кровообращения. Тонкие слои кости и окружающий хрящ отделяются от основной кости. В некоторых случаях такой фрагмент мигрирует в полость сустава, вызывая его блокаду. Образовавшаяся полость заполняется соединительной (грануляционной) тканью. Суставная поверхность становиться неровной. Часто развиваются дистрофические процессы, что является провоцирующим фактором формирования артроза.

Травматическая теория

Подтверждением травматической теории является наличие в анамнезе большинства больных микротравм, разрывов мениска, связочного аппарата. Травма приводит к местному нарушению проходимости кровеносных сосудов, их повреждению. Дальнейший механизм развития остеохондрита сходен с сосудистой теорией.

Рассекающий остеохондрит: симптомы и клинические стадии заболевания

Симптомы рассекающего остеохондрита могут быть различны и, как правило, проявляются не сразу.

  1. Боль.Постепенно нарастающая.
    По характеру – нечетко выраженная, ноющая. Если фрагмент застревает в суставной полости, боль может быть колющего характера.
    Появляется и/или усиливается при прикосновении к надколеннику, при использовании лестницы и увеличении физической нагрузки (например, занятия спортом).
  2. Отек.Может образоваться вокруг сустава.
  3. Ограничение функции.Слабость в коленном суставе может сочетаться с мышечной атрофией.
    При смещении отделившегося фрагмента в полость возможна частичная или полная блокировка сгибания-разгибания сустава.
  4. Щелчки.Могут появляться при сгибании-разгибании сустава. Чаще всего возникают при поражении внешней стороны колена.

Клинические стадии заболевания

  • I стадия заболевания.
    Симптомы часто отсутствуют. Возможны периодически возникающие незначительные боли и отек пораженного сустава.
    Рентгенологические признаки: формирующийся очаг некроза костной ткани, отделенный от здорового участка кости светлым ободком.
  • II стадия заболевания.
    Появление/нарастание симптомов: боль, отек, признаки воспаления синовиальной оболочки (выпот в полость сустава, локальное покраснение, увеличение температуры). Возможна мышечная атрофия пораженной конечности.
    Рентгенологические признаки: очаг просветления с тенью некротического тела.
  • III стадия заболевания.
    Клинические симптомы устойчивы, выражены. Возможна частичная или полная блокада движения сустава.
    Рентгенологические признаки: неполное отделение некротического костно-хрящевого фрагмента.
  • IV стадия заболевания.
    Усиление признаков воспаления синовиальной оболочки, боли и отека. Блокада сустава встречается реже.
    Рентгенологические признаки: полное отделение фрагмента; на месте отделения четко определяется полуовальный дефект ткани.

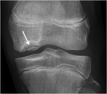
Обычный рентгеновский снимок — лучшее начальное исследование, которое может помочь в диагностике
Обычный рентгеновский снимок — лучшее начальное исследование, которое может помочь в диагностике

МРТ исследование, демонстрирующее четыре стадии развития заболевания:
I стадия – отграниченный очаг некроза костной ткани, отделенный от окружающей кости узким ободком;
II стадия – отслоение костно-хрящевого фрагмента;
III стадия – неполное отделение некротического тела, между ним и здоровой костью находится синовиальная жидкость;
IV стадия – полное отделение фрагмента.
МРТ исследование, демонстрирующее четыре стадии развития заболевания: I стадия – отграниченный очаг некроза костной ткани, отделенный от окружающей кости узким ободком; II стадия – отслоение костно-хрящевого фрагмента; III стадия – неполное отделение некротического тела, между ним и здоровой костью находится синовиальная жидкость; IV стадия – полное отделение фрагмента.

Рассекающий остеохондрит: лечение

Лечение варьируется в зависимости от тяжести заболевания. Но в каждом случае направлено на: уменьшение боли и отека, восстановление поврежденной поверхности сустава, снижение риска развития осложнений (артроза).

Консервативное лечение

Показано при первой и второй стадии заболевания.

  • Иммобилизация сустава.
    Максимальное снижение физической нагрузки на сустав на срок 6-12 месяцев дает возможность тканям восстановить образовавшийся дефект. Для иммобилизации используют гипсовую повязку или шарнирные ортезы.
  • Лекарственный электрофорез и фонофорез.
    Помогают купировать боли и воспаление.
    Лекарственный электрофорез проводится с анальгином, новокаином, салицилатом натрия, химотрипсином.
    Фонофорез проводится с гидрокортизоном.
  • Хондропротекторы: замещение дефектов разрушенного хряща, усиление синтеза хондроидной ткани.Действующие вещества хондроитин и глюкозамин.
    Хондроитин стимулирует выработку компонентов хряща и суставной жидкости, оказывает противовоспалительное действие.
    Глюкозамин является матрицей для синтеза компонентов хрящевой ткани, защищает хрящ от воздействия вредных факторов, оказывает противовоспалительное действие.
    В настоящее время доступны четыре поколения хондропротекторов.
    Первое поколение – хондропротекторы на основе натуральных веществ: Румалон (хрящевая ткань телят), Алфлутоп (костная ткань рыбы).
    Самыми эффективными считаются комбинированные препараты четвертого поколения. Кроме хондроитина и глюкозамина они могут содержать гиалуроновую кислоту, противовоспалительные и обезболивающие средства: Терафлекс (Терафлекс Адванс, Терафлекс Форте), Хондроксид Форте и др.
  • Физиопроцедуры.
    Улучшение кровообращения и обменных процессов, стимуляция процессов регенерации тканей, уменьшение воспаления и боли.
    Применяют достаточно разнообразные процедуры: озокерит и парафин в аппликациях, виброакустическая терапия, ударно-волновая терапия, хивамат-терапия, криотерапия/прогревание, иглотерапия, сероводородные, серные и радоновые ванны и др.
  • Массаж.
    Улучшение кровообращения и обменных процессов, снижение мышечного спазма, предотвращение мышечной атрофии.
  • Лечебная физкультура.
    Упражнения для укрепления коленного сустава помогут уменьшить нагрузку, восстановить правильную амплитуду движений.

Хирургическое лечение

Проводится при третьей и четвертой стадиях заболевания. Фрагменты или удаляются из полости сустава или фиксируются обратно на место повреждения. Возможен артроскопический подход или операция с открытым доступом.

После операции очень важно следовать программе реабилитации, которая изначально может ограничивать нагрузку, оказываемую на колено. Рекомендуется использовать наколенники. Через какой-то период времени назначают физиотерапию и разрабатывают программу лечебной физкультуры.

Узнайте больше о заболеваниях коленного сустава в разделе Диагностика боли в колене.