Найти в Дзене
Владимир Сотников

Почему не помогает лечение

о нашим данным, полученным на основании анализа диагнозов пациентов, поступающих в нашу клинику, выявились четыре основные причины отсутствия лечебного эффекта: Анализ 500 случаев лечения пациентов, у которых так и не наступило улучшение, выявил следующую статистику: Наиболее распространенными из несуществующих диагнозов, которые придумываются для животных с неврологическим проблемами являются инсульт (чаще всего ставится пациентам с неврологическими признаками поражения головного мозга); защемление – «чудесный» диагноз с неопределенной этиологией, лишенный всякого смысла; остеохондроз; радикулит; аневризма. Встречаются и совсем казуистические случаи, например ишемический колит. Этот интересный диагноз был поставлен пациенту с портоковальным шунтом, ему сделали сульфокамфокаин, после чего пациент впал в кому и умер. В другом случае профессор ветеринарной академии при наличии МРТ - исследования диагностировал у кошки рассеянный склероз! Этот случай исчерпывающе иллюстрирует уровень подг
Оглавление

о нашим данным, полученным на основании анализа диагнозов пациентов, поступающих в нашу клинику, выявились четыре основные причины отсутствия лечебного эффекта:

  1. Отсутствие диагноза.
  2. Назначения лечащими врачами препаратов, не рекомендованных руководствами по лечению животных.
  3. Неправильное (не по назначению) использование лекарственных препаратов и несоблюдение надлежащих дозировок.
  4. Обращение к нетрадиционным методам лечения.

Анализ 500 случаев лечения пациентов, у которых так и не наступило улучшение, выявил следующую статистику:

  • Диагноз был не поставлен 500 пациентам.
  • Диагнозы были придуманы 500 пациентам, из которых в 250 случаях – дважды в разных клиниках; в 150 случаях – трижды в разных клиниках; в 50 случаях – четырежды в разных клиниках; в 50 случаях – пять раз в разных клиниках. В общей сложности 460 пациентам были поставлены/придуманы не существующие диагнозы.

Наиболее распространенными из несуществующих диагнозов, которые придумываются для животных с неврологическим проблемами являются инсульт (чаще всего ставится пациентам с неврологическими признаками поражения головного мозга); защемление – «чудесный» диагноз с неопределенной этиологией, лишенный всякого смысла; остеохондроз; радикулит; аневризма. Встречаются и совсем казуистические случаи, например ишемический колит. Этот интересный диагноз был поставлен пациенту с портоковальным шунтом, ему сделали сульфокамфокаин, после чего пациент впал в кому и умер. В другом случае профессор ветеринарной академии при наличии МРТ - исследования диагностировал у кошки рассеянный склероз! Этот случай исчерпывающе иллюстрирует уровень подготовки ветеринарных специалистов, очевидно, что, если преподаватель не в состояние проанализировать данные МРТ - исследования, его ученики не приобретут этих навыков в процессе учебы.  В итоге, получив диплом ветеринарного врача, они в лучшем случае будут «доучиваться»  в процессе уже самостоятельной практики, а в худшем - ставить такие же «диагнозы», как их преподаватель. Почечные, печёночные иногда кишечные колики обвинялись в неврологической симптоматике у пациентов с проявлениями поражения как головного, так и спинного мозга. В 250 случаях причиной нарушения опорной функции тазовой конечности были определены дископатия и дискоспондилез; у 50 пациентов дисплазия ТБС ошибочно признавалась причиной нарушения функции тазобедренных конечностей, включая кошек и собак карликовых пород. Листериоз и кампилобактериоз также по какой-то немыслимой причине обвинялись в преступлении. И даже бедный клещ, который был обвинен в заражении собаки энцефалитом, был приговорен и казнен за другого.

Непонятно, откуда берутся эти диагнозы? Объяснить, почему придумываются несуществующие диагнозы, хотя логичнее было бы использовать существующие (пусть ошибочно), невозможно. Так, по крайней мере, правдоподобнее выглядел бы процесс «запудривания мозгов» владельцам животных. Но, видимо, чем проще и наглее обман, тем легче его выдать за правду.

Протокол обследования неврологических пациентов не был выполнен ни у одного пациента.

Протокол

Диагностическое обследование

Для разных участков нервной системы существуют разные методы обследования. Определение нейроанатомической локализации позволяет выбрать дальнейший  алгоритм  исследования, который приведет к окончательному диагнозу. К сожалению, в отечественной ветеринарии очень распространено нарушение последовательности  в постановке диагноза у неврологических пациентов. Без анамнеза и неврологического  диагноза, поставленного неврологом после неврологического обследования, проведение всех дальнейших исследований совершенно бессмысленно.

Периферическая нервная система (нервные корешки, нервы, концевые пластинки, мышцы):

  • Полный анализ крови, биохимия крови, анализ мочи.
  • Электродиагностика (электромиографии, исследования нервной проводимости).
  • Биопсия мышцы/нерва, определение антител к рецептору ацетилхолина, 2М антител и т.д.

Мозг головной (передний мозг, ствол мозга, мозжечок):

  • Полный анализ крови, биохимия крови, анализ мочи.
  • Электродиагностика (электроэнцефалография, аудиометрия).
  • Магнитно-резонансное исследование.
  • Исследование спинномозговой жидкости.

Спинной мозг и конский хвост:

  • Полный анализ крови, биохимия крови, анализ мочи.
  • Рентгенография.
  • Исследование спинномозговой жидкости.
  • Контрастное исследование (миелография, дискография, эпидурография).
  • Магнитно-резонансная томография.

Локализация поражения у пациентов с монопарезом (монопараличем)

Монопарез  передних конечностей чаще всего вызван заболеваниями периферических нервов  или нервных корешков. Заболевания концевых пластин тел позвонков  или мышц, влияющих только на одну конечность, очень редки. Заболевания спинного мозга в шейном отделе обычно вызывают гемипарез или тетрапарез. Таким образом, монопарез  передних конечностей, как правило, вызван патологиями нервов и нервных корешков пораженной конечности.

Монопарез  тазовой конечности также обычно вызывается поражением нерва или нервного корешка. Повреждение  может быть за пределами спинномозгового канала (периферический нерв) или внутри канала (нервы конского хвоста). Кроме того, одностороннее поражение спинного мозга каудальнее по отношению к Th2 может привести к монопарезу тазовых конечностей. Это является исключением из общей схемы локализации. Сосудистые поражения являются наиболее частой причиной такого одностороннего заболевания спинного мозга (например, относящиеся к волокнистой хрящевой  эмболии (фиброкартилягиозная эмболия).

В итоге несистемный подход, отсутствие диагноза, несвоевременная диагностика стали причиной гибели 250 пациентов и около ста пациентов (главным образом с неврологическими заболеваниями, связанными с поражениями спинного мозга) лишились возможности на восстановление функции спинного мозга. Лечение остальных животных после постановки диагноза дало свои результаты. Стоит особо отметить, что ни в одном руководстве по неврологии не описаны те пациенты, которых нам приходится диагностировать и лечить после оказанной уже им неквалифицированной  ветеринарной помощи, потому что ни в одной стране мира (ни в  США, ни в  Англии или ЮАР) ни одному ветеринарному врачу не придет в голову сделать неврологическому пациенту сульфокамфокаин, травматин, солкосерил или 5% глюкозу.

Второй причиной гибели пациентов или отсутствия лечебного эффекта является неадекватное использование лекарственных препаратов.

В медицине имеются исследования по использованию лекарственных препаратов. В ветеринарии таких исследований нет, но, основываясь на нашем опыте, можно с уверенностью утверждать: ситуация здесь складывается гораздо хуже.

Анализ качества лекарственной помощи в медицине показывает  (Клевцова Л., 2003),  что неблагоприятные последствия приема лекарственных средств в 51,9% случаях вызваны полипрагмазией, в 48,7% - недооценкой анамнеза больного, в 17,8% - неправильным выбором препарата, в 12,6% - неправильной его дозировкой. Таким образом, установлено, что среди всех нежелательных реакций на медикаментозное вмешательство 34,9%  случаев произошли по вине врача. При этом более чем 80% врачебных ошибок объясняются неграмотным комбинированием препаратов.

В этой связи особенно хотелось бы остановиться на проблеме использования нелекарственных препаратов в лечении неврологических пациентов и/или препаратов, не рекомендованных для лечения собак и кошек. Это так называемая гомеопатия, например травматин и др. (со всем списком подобных препаратов можно ознакомиться на сайте производителя).

Существует целый список препаратов, которые должны научить клетку организма не дышать (солкосерил, актовегин, милдронат и так далее, список огромный). Распространенное использование эссенциале как препарата, якобы благотворно влияющего на печень собак и кошек, – еще один вымысел, подогретый массированной телевизионной рекламой.

В Санкт-Петербурге  в начале этого года прошло судебное разбирательство о защите деловой репутации по иску производителей травматина против автора статьи.

Аудиозапись из зала суда

Сам факт подобного судебного разбирательства стал возможным, потому что препарат «является зарегистрированным лекарственным средством для применения в ветеринарии на территории РФ  (в соответствии с ФЗ-61 от 12.04.2012 г. «закон об обращении лекарственных средств»). Кроме того, препарат зарегистрирован на территории республики Беларусь и Украины.»

В нашей стране нет пока практики подобных судебных разбирательств, нет экспертов, систематизированных клинических исследований, которые могли бы объективно повлиять на исход данных судебных тяжб, и самое главное – нет надлежащего контроля со стороны соответствующих органов за процессом регистрации лечебных препаратов в ветеринарии особенно.

Список предприятий, способствовавших продвижению «Травматина»:

Все фармакологические свойства и показания к применению препарата «травматин», описанные в инструкции по применению, утвержденной в установленном порядке (ФЗ-61 от 12.04.2012 г. «закон об обращении лекарственных средств»), подтверждены доклиническими и клиническими исследованиями, проведенными на базе ведущих научно-исследовательских учреждений и ветеринарных клиник (ФБГУ, РОНЦ им. Блохина РАМН (Москва), ООО «Биолот» (Санкт-Петербург), С-ПбГАВМ, ООО «НИИВФ Эврика» (Санкт-Петербург), Казанская ГАВМ, ООО «Биоконтроль» (Москва), Витебская ГАВМ (Беларусь), Кубанский ГАУ)».

Однако решение суда не лишает нас возможности продолжать думать и сомневаться. Например, известно, что для приготовления травматина необходима 1 капля АСД -2  на 50 тысяч литров воды.  То есть, если развести чуть больше одной капли пива в приблизительно такой же цистерне воды (фото.1), станет ли вода пивом?

Рис. 1. Чуть больше капли АСД – 2 надо, чтобы вода в этой цистерне стала травматином.
Рис 2. Объем АСД-2, необходимый для создания целого железнодорожного эшелона цистерн с травматином.
Рис. 1. Чуть больше капли АСД – 2 надо, чтобы вода в этой цистерне стала травматином. Рис 2. Объем АСД-2, необходимый для создания целого железнодорожного эшелона цистерн с травматином.

Справка о сущности разведений применяемых в гомеопатии. Wikipedia:

Разведения 1 к 10 именуются десятичными, обозначаются римской цифрой X или буквой D (…6D=1/1000000,  3D=1/1000)… вероятность того, что 1 моль разведения 13C содержит хотя бы одну молекулу исходного вещества, равна 1 %, для 14С 0,01 % и т. д. Разведения с индексом 40С приблизительно соответствуют 1 молекуле на всю наблюдаемую Вселенную, а с индексом 200С (АнаферонОциллококцинум) 1 молекуле на, соответственно, 10320 Вселенных.[9]Практически можно считать, что разведения с «гомеопатическим индексом» 12С и выше не могут оказывать никакого физического влияния, однако некоторые гомеопаты считают, что действие препарата при высоких разведениях даже усиливается, объясняя это тем, что вода обладает памятью, осуществляющей передачу биологической информации.

Проблему составляет также то, что при больших разведениях количество примесей в гомеопатическом лекарстве неизбежно окажется больше, чем действующего вещества. Это связано с тем, что:

  • в веществе, на котором готовят разведения (вода, сахар), всегда есть примеси;
  • водные растворы выщелачивают стекло пробирки, а сахар при перетирании захватывает частички ступки, и сам претерпевает химические превращения;
  • во время любого разведения в раствор могут попадать частички пыли, состав которых практически непредсказуем.

Таким образом, даже если допустить наличие у вещества памяти, не понятно, почему вещество помнит именно то, что в него добавили на первых стадиях изготовления препарата. Частицы загрязнений, очевидно, должны оказывать большее влияние на гипотетическую структуру воды или сахара, чем то вещество, от которого не осталось ни одной молекулы.

В связи со всем изложенным выше возникает вполне закономерный вопрос, каким образом производителям травматина удалось заручиться поддержкой и представить следующие материалы доклинических и клинических исследований препарата «травматин»:

Исследования биологической активности компонентов:

  • Изучение цитокининдукцирующей активности препаратов. Исполнитель ФГБУ РОНЦ им.Н.Н. Блохина РАМН, Москва.
  • Изучение активности препаратов естественного происхождения (ангиогенез). Исполнитель ФГБУ РОНЦ им.Н.Н. Блохина РАМН, Москва, 2012.

Изучение фармакологических свойств:

  • Отчет «Изучение возможности применения гомеопатических препаратов Ковертал, Белакин (Эндосептин), Травматин. Исполнитель С-ПбГАВМ, ООО «НИИВФ Эврика», Санкт-Петербург, 2007.
  • Диссертация (доктор наук). Шакирова Ф.В. Динамический морфосинографический контроль репаративной регенерации тканей в условиях хирургической травмы. Москва, 2011.
  • Диссертация (кандидат ветеринарных наук). Радченко Д.И. Адаптационные процессы в организме собак и способы их коррекции. Санкт-Петербург, 2007.

Клинические испытания:

  • Клинические исследования действия препаратов « травматин» и «травма гель» в реабилитационном периоде у онкологических больных. Исполнитель ООО «Биоконтроль», Москва, 2007.
  • Отчет о НИР по изучению эффективности препарата «Травматин». Исполнитель Витебская ГАВМ, Беларусь, 2008.
  • Акт о  внедрении в практику рекомендаций по лечению поверхностных случайных ран у лошадей с применением препаратов Травматин и травма-гель. Исполнитель Кубанский ГАК, 2007.

Сегодня ни одна серьезная ветеринарная клиника или ветеринарная ассоциация не сотрудничают с производителями гомеопатии, наоборот, ведут активную деятельность против распространения псевдопрепаратов, понимая, какой огромный вред они наносят. Благодаря Российской Ассоциации практикующих ветеринарных врачей (RSAVA) не была допущена к защите диссертация Новосадюк Т.В. под названием «Теоретические и практические основы применения гомеопатических средств в ветеринарии». И это, конечно, огромный вклад в дело борьбы с псевдонаучным подходом и лженаукой  в нашей стране.

«Что радует в этой печальной истории? То, что наше научное сообщество постепенно избавляется от толерантности к лженаукам, начинает понимать, что наше молчание – это питательная среда для лженауки.

Наука – это не что-то официально утвержденное. Наука – это то, что считает наукой научное сообщество. Научные данные – это то, что печатают научные журналы. Ученые степени – это то, что присуждают ученые советы. Комиссия по лженауке самораспустится в тот самый день, когда ученые перестанут стыдливо закрывать глаза на лженауку, когда они перестанут, не глядя, подмахивать положительные рецензии на безумные статьи и положительные отзывы на бредовые диссертации, перестанут молчать или, пуще того, хвалить непристойные работы, перестанут голосовать за присуждение лжеученым ученых степеней.» проф. Бородин Павел Михайлович, члена Комиссии РАН по борьбе с лженаукой и фальсификацией научных исследований.

В этой связи обращаемся к организаторам ветеринарных конференций с просьбой, быть более разборчивыми в выборе партнеров, не способствовать распространению мракобесия в нашей стране. Вполне можно обойтись без этих «тридцати сребреников», которые вам предложат, ведь честное имя стоит гораздо дороже. Помните о том, что, когда пациент вместо необходимого препарата получает «пустышку» (подсоленную воду), обманутыми оказываются все: врачи, владельцы животных и самое главное – сами животные. Рекламируя на своих конференциях подобные псевдолекарства, вы лишаете пациентов надежды на квалифицированную помощь.

Огромной проблемой в медицине и ветеринарии остается обращение к нетрадиционным методам лечения, по сути лечением не являющимися. Распространение подобных заблуждений основано на незнании людьми патогенеза заболеваний.

Среди перечня мифических диагнозов, которые были поставлены неврологическим больным, нам пришлось столкнуться с такими, как дископатия, грыжа диска у таксы, паралич такс, почки (врач просто вот так лаконично и точно озвучил диагноз: это у нее почки), кишечные колики, межпозвоночные грыжи (такое впечатление, что у собаки есть несколько позвоночников и между ними грыжи).  На самом деле выделяются 8 групп заболеваний, вызывающих поражение спинного мозга. Большей частью из них страдают  собаки хондродистрофоидных пород. Самое распространенное заболевание - Intervertebral DiskDisease (IVDD) Тип 1 Hansen. В силу определенных и, увы, нелицеприятных предпосылок русскоязычный аналог названия данной болезни отсутствует. Проблема эта требует отдельного рассмотрения, в данной статье мы на ней заострять свое внимание не будем. Intervertebral Disk Disease (IVDD) Тип 1 Hansen  - термин, который использ уют сейчас во всем мире в ветеринарной практике для пациентов с болезнями межпозвонковых дисков, вытисняющее постепенно название «грыжи», в отличие от медицины. Логика подобной замены объясняется тем, что вместе с терминологией, уже сложившейся в медицине, в ветеринарию под кальку ошибочно переносятся и методы лечения. Подобные патологии у собак (Intervertebral Disk Disease (IVDD) Тип 1 Hansen)  – это совершенно другая болезнь, требующая абсолютно иного лечения.  Втирания мазей, компрессы с новокоином и 30-50% -ым раствором димексида, новокаиновые и гидрокортизоновые блокады; электропроцедуры (чрескожная электроанальгезия, синусоидально-модулированные токи, диадинамические токи, электрофорез с новокаином и др.),  рефлексотерапия (иглоукалывание, прижигание, электроакупунктура, лазеротерапия), гирудотерапия, принятые в медицине, напротив, в острый период противопоказаны собака с болезнью дисков Хансен I (IVDD). Главное лечение для собак с низкой степенью неврологических расстройств – содержание в клетке в течение определенного времени.

Таким же бесполезным для больных этой группы является лечение с использованием пиявок, кроме отека подкожной клетчатки в месте укуса пиявки, эти процедуры не дают никого эффекта.

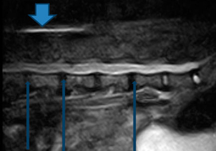
 Рис. 1. МРТ таксы, которую лечили пиявками. Толстая стрелка - действие пиявок на подкожную клетчатку. Отек. Тонкими стрелками показана компрессия спинного мозга. Остается загадкой, как пиявки могут воздействовать на гиалиновый хрящ, вызвавший компрессию. Ответ прост: никак! 70 % такс выздоравливают самостоятельно, именно на этом фате основано псевдолечение пиявками, хондролоном и другими пищевыми добавками.
Рис. 1. МРТ таксы, которую лечили пиявками. Толстая стрелка - действие пиявок на подкожную клетчатку. Отек. Тонкими стрелками показана компрессия спинного мозга. Остается загадкой, как пиявки могут воздействовать на гиалиновый хрящ, вызвавший компрессию. Ответ прост: никак! 70 % такс выздоравливают самостоятельно, именно на этом фате основано псевдолечение пиявками, хондролоном и другими пищевыми добавками.

Инсульт – еще одно заболевание, которое ошибочно диагностируется у животных по аналогии с медициной. В медицине  существуют апробированные способы профилактики  и лечения инсульта. В статье «Лечение инсульта: ноотропы или доказательная медицина?!» (Written by admin on 12 January 2007, А.И. Корзун. Военно-Медицинская Академия, Санкт-Петербург, 2002) четко сформулированы основные из них:

  1. аспирин,
  2. хирургическое лечение (эндартерэктомию сонных артерий),
  3. симвастатин или правастатин,
  4. рамиприл,
  5. варфарин (мерцательная аритмия).

Проблема даже не в том, что подобное заболевание, которое обозначается у людей термином «инсульт», не может быть у животных, в силу их физиологических особенностей, а в том, что ветеринарные деятели, назначая препараты для лечения инсульта у собак, понятия не имеют, чем профилактируют данное заболевание у людей. В итоге прописывают псевдолечение с использованием пирацетама, церебролизина и чудодейственных препаратов типа солкосерила и др. (подобное лечение и людям-то не способно оказать необходимую помощь при инсульте), не учитывая тот факт, что атеросклероз у собак - это нонсенс, так как у них совершенно другой жировой обмен.

Последнее время в медицине активно ведется борьба с применением пищевых добавок, проводятся конференции, издаются законы, защищающие потребителя. Очень показательна в этом смысле история, связанная с продуктами Activia и Actimel (Danone), реклама которых длительное время помогала бессовестно обманывать потребителей, утверждая, что они, якобы, укрепляют природный иммунитет. Комиссия по рекламным стандартам Великобритании еще в октябре прошлого года сочла доводы Danone об укреплении иммунитета продуктами  Actimel недоказуемыми. Было установлено, что никакими особыми полезными свойствами для здоровья они не обладают.  Французский гигант питания Danone вынужден был официально объявить об изменении рекламы своих продуктов – йогуртов Activia и Actimel, что сразу повлекло за собой падения на 1% акций компании на Парижской фондовой бирже. Однако, несмотря на это,  согласно отчетности компании, ее торговый оборот в первом квартале 2010 года вырос на 8,3% (до 3,9 миллиарда евро /5,3 млрд. долларов). Потребитель, поверив однажды в чудодейственные возможности того или иного продукта/пищевой добавки, с трудом расстается со своими иллюзиями. На этом и основан главный принцип производства и распространения пищевых добавок – увеличение прибыли за счет промывания мозгов и никого отношения к лечению это не имеет. Стоит позавидовать развитым странам, к сожалению, России процесс развенчания мифов пока не коснулся. У нас служение Мамоне ставится выше здравого смысла. В ветеринарии этот процесс не только не контролируется, наоборот, набирает силу. Вероятно, по этой причине сегодня следует особенно акцентировать внимание на личной ответственности каждого отдельно взятого врача. Выбор всегда однозначен: либо продолжать кормить обнаглевших воров, внушающим людям с экрана телевизора о чудесном действии линекса на дисбактериоз или в погоне за наживой  придумывать болезни, а потом успешно их лечить; либо вспомнить о своем прямом назначении и главным принципом работы выбрать стремление направлять « режим больных к их выгоде сообразно с моими силами и моим разумением, воздерживаясь от причинения всякого вреда и несправедливости…». Задача каждого уважающего себя врача  не использовать сомнительные препараты  и не участвовать во всеобщем мошенничестве, связанном с продажей псевдолекарств. Работать честно не потому, что кто-то проверит, а потому, что по-другому нельзя.

Хондопротекторы требуют отдельного разговора. Дополнительная информация по ссылке:

https://www.consumerlab.com/reviews/Joint_Supplements_Glucosamine_Chondroitin_and_MSM_Dogs_Cats/jointsupplements_pets/

“Лекарственные средства”, изобретенные на основе идеи органного сродства, присутствовали в медицинских теориях всех цивилизаций. История их происхождения затеряна в доисторических дебрях нашей планеты. В тот темный период первых шагов человеческого социума по планете, основным двигателем интеллекта служило мистическое мышление, пока не умевшее еще разделять встречаемые предметы и наблюдаемые явления. Тогда-то и сложилось представление о возможности прямого влияния на наблюдаемый мир посредством ответственных за него вещей и обратного воздействия, суть которого – заклинания.
Нас в контексте вопроса о лекарственных препаратах интересует как раз прямой механизм, т.е. способность вещества проявлять целенаправленное воздействие на подчиненные ему явления.

В древних философско-медицинских трактатах мы находим отголоски этих магических знаний в виде рецептов приготовления органно-подобных смесей и элексиров. Одним из наиболее популярных снадобий такого рода является отвар из черепных костей горного яка, способный, согласно представлениям тибетской прикладной космологии, производить целительное действие на поражения центральной нервной системы, преимущественно, травмы головного мозга.
Неизвестно, осталось бы данное колдовское варево в безраздельной собственности служителей затеряных в далеком поднебесье монастырей, но судьба распорядилась иначе. В самом центре европейской цивилизации возник такой интерес к мистическим тайнам вселенной, что колесо истории чуть было не соскочило в пропасть мракобесия. Стараниями новых варваров нацистского толка к середине 20 века человечество было “облагодетельствовано” целым рядом лекарств, созданным по технологиям “тайных знаний” наследниками “посвященных горцев востока”.
До сего дня, благодаря тем самым знатокам, мы легко можем найти в перечнях лекарственных препаратов широкий круг отпрысков техномагии, например, знакомый всем с детства церебролизин – потомок отвара ячьих черепов.
Следует заметить, что гомеопатическая теория подобия не полностью отражает главную идею древней мистической теории, поскольку весьма вольно трактует основной канон магии – материальное сродство. Данная ситуация даже вызвала раскол в стане медицинских оккультистов, поделив их на истинных приверженцев образного восприятия подобия и ревизионистов, возведших тезу сродственного подобия в догму и внедривших для ее увековечения органные препараты.
На фоне такого пышного расцвета первобытного мышления естественным образом выросли сводные братья церебролизина, занявшие аналогичные ниши в большинстве разделов частной фармакологии. В настоящее время степень близости лечебной субстанции к органу не всегда является решающим моментом в оценке магической эффективности препарата. Главным действующем началом теперь назначается химическая близость составляющих лекарства и больной части тела, как это, например, наблюдается случае с печеночным целителем эссенциале и суставными полисахаридами. Хотя, несомненно, должны быть и исключения, поддерживающие перманентный путь – этому и служат последние предметы классического культа органомагии – хондропротекторы хрящевой вытяжки. (Источник: Дискуссионный клуб РусМедСервера http://fraudcatalog.com/?p=208)

Жертвами нетрадиционной медицины становятся и весьма образованные, можно сказать, гениальные люди, и они подвержены мракобесию, насаждаемому разными проповедниками, магами и  целителями.

На сайте Hayadan была опубликована статья, посвященная смерти легендарного основателя компании Apple Стива Джобса. Изобретатель "Макинтоша" и iPhone скончался 5 октября от рака поджелудочной железы, но, как стало известно, его можно было спасти. Врачи утверждали, что опухоль операбельная, и давали Джобсу хорошие шансы на выздоровление. Однако он избрал иной путь лечения.

Доктор Олег Бродский из израильской компании Manor Medical Group считает, что Стиву Джобсу "повезло" дважды. У него были все шансы на выздоровление благодаря счастливому стечению обстоятельств. "Первый раз ему "повезло", когда вместо экзокринного типа опухоли, развился нейроэндокринный тип. Первый тип опухоли отличается очень высоким злокачественным потенциалом, диагностируется на позднем этапе и на сегодняшний день продолжительность жизни у таких пациентов составляет в среднем меньше года, - пояснил доктор Бродский. - Второй же тип опухолей, как и тот, который был у Джобса - относительно редкий. Он встречается не только в желудочно-кишечном тракте, но и за его пределами. Этот вид опухоли вылечить легче. Прогноз выздоровления и продолжительности жизни при таких опухолях лучше, чем при первом типе, так что у Джобса были неплохие шансы выкарабкаться".

Джобс страдал хроническим заболеванием желудочно-кишечного тракта, и это, как не парадоксально, помогло ему обнаружить опухоль на ранней стадии. "Из-за болезни он часто делал компьютерную томографию органов брюшной полости. В ходе одного из таких обследований было обнаружено новообразование в поджелудочной железе, - отметил Бродский. - Шансов обнаружить опухоль было мало, но Джобсу и тут "подфартило". Если бы не периодическое выполнение компьютерной томографии, Джобс обратился бы к врачам намного позже, и шансов выжить у него было бы куда меньше".

Многое было сказано про интуицию Джобса. Миллионы поклонников верили, что их кумир обладал редкостным чутьем, чуть ли ни магическим даром. "На сей раз, интуиция его подвела. Джобс был буддистом, он принял решение отложить оперативное лечение, предложенное ему одним из лидеров в лечении этого вида опухолей, заведующим подразделением хирургической онкологии Университета Стэнфорда доктором Джефри Нортоном. Тот предупредил, что только хирургическое вмешательство может гарантировать выздоровление". Однако Джобс решил пойти иным путем.

Почти год он лечился по методам альтернативной медицины. Но опухоль увеличилась, его не раз оперировали. "Ему произвели пересадку печени, пытались спасти. Борьба с болезнью продолжалась восемь лет. За это время мы узнали, что такое iPod, iPhone, iPad. Наверное, мир узнал бы ещё больше, если бы вместо помощи альтернативной медицины лечение проводилось в соответствии со знаниями и достижениями современной науки, - уверен Бродский. - С раком не шутят. Нельзя тянуть время. Рак надо лечить у лучших врачей и только самыми современными способами" (http://izrus.co.il/obshina/article/2011-10-19/15859.html).

В нашей клинике мы определили для себя ряд непреложных правил, которые, на наш взгляд, могут способствовать  пресечению мракобесия. Одним из основных  является стремление преодолеть  нежелательные последствия лекарственной терапии, для этого наши врачи в своей работе придерживаются следующих основных принципов:

  1. Первоочередная задача лечащего врача - постановка диагноза. Определение точного диагноза гарантирует адекватное, эффективное лечение, поэтому сделать это необходимо максимально быстро, насколько технически возможно. Без правильно поставленного диагноза не может быть правильного лечения. Последствия неправильного лечения наносят гораздо больший вред, чем отсутствие какого-либо лечения вообще.  Тех пациентов, которым по каким-то объективным причинам не удалось диагностировать в нашей клинике, мы направляем в другие квалифицированные ветеринарные клиники с лучшей диагностической базой (список таких клиник есть на нашем сайте). Владельцам животных следует объяснять, что оказать необходимую помощь  сложным пациентам способен только  врач, имеющий узкую специализацию.
  2. Врачи должны назначать препараты согласно имеющимся рекомендациям, описанным в руководствах по лечению заболеваний животных, а также принятым и опубликованным Всемирной ассоциацией ветеринарных врачей.
  3. В нашей клинике недопустимо использование препаратов, не рекомендованных к применению и зачастую неэффективных, изготовленных в России сомнительными производителями..
  4. Не использовать экспериментальные препараты.
  5. Недопустима полипрагмазия (назначение более трех препаратов).
  6. Пищевые добавки в качестве лекарственных средств не назначаются.
  7. У врачей клиники нет материальной заинтересованности в назначении того или иного препарата. Это условие позволяет врачу руководствоваться только обоснованной необходимостью использования того или иного препарата для лечения своего пациента, а не собственной выгодой.

Ознакомиться с препаратами, которые рекомендованы к использованию в том или ином разделе ветеринарной медицины, можно на нашем сайте и в руководствах, изданных Британской ассоциацией ветеринарии мелких домашних животных (British Small Animal Veterinary Association, BSAVA) и Всемирной ветеринарной ассоциацией WSAVA.

Уважаемы владельцы животных помните,
врач может ошибаться, не стесняйтесь проверять назначения своего врача, возможно, этим вы сохраните жизнь своему питомцу.  Специалист всегда в состоянии объяснить, чем он руководствовался при выборе того или иного препарата и его дозировки. Если врач отказывается это сделать, препарат (во избежание нанесения возможного вреда вашему питомцу) лучше не использовать. Если врач ставит вашему подопечному несуществующий диагноз или назначает препараты эссенциале, сульфокамфокаин, прозерин для лечения такс (прозерин не действует на спинной мозг), 5% глюкозу неврологическим пациентам, нооторпил, церебролизин, хондропротекторы, лучше сменить врача.

Для получения объективной информации обращайтесь к англоязычным сайтам ветеринарных центров США, Англии и других стран, европейских университетов и ветеринарных центров, специализирующихся на вашей проблеме (значительная часть русскоязычных статей носит рекламный характер и предназначена для коммерческих целей; правдивой информации там, к сожалению, очень мало). В большинстве случаев автоматического перевода достаточно для того, чтобы составить свое мнение о проблеме.

Помните, если вы сами не позаботитесь о своем питомце, о нем не позаботится никто.

Малая доступность информации не позволяет отечественной ветеринарии присоединиться к мировому опыту лечения мелких домашних животных и создает благотворную почву для процветания мошенничества в фармакологической индустрии.