Добавить в корзинуПозвонить
Найти в Дзене

Одышка. Спайки и фиброз в лёгких. Что делать?

Нынешняя эпидемия ведет к неожиданным и необычным последствиям. Это связано с особенностью вируса. Он повреждает ткани сосудов, эпителий легких и нервы. Поэтому мы имеем дело не с классической пневмонией при поражении лёгких,а с пневмонитом - небактериальным повреждением ткани легких. Это принципиально отличает эти два заболевания. При обычной бактериальной пневмонии поражается ограниченная часть - сегмент, несколько сегментов или доля легкого. Остальной, бОльший объем остается нетронутым и продолжает дышать. Вирусный процесс поражает мелкие сосуды и небольшие участки легких, но их может быть много и они могут быть разбросаны по всей толще обоих легких. Поэтому дыхательная функция страдает сильнее. При бактериальной пневмонии содержимое поврежденных участков - это экссудат (жидкость) с лейкоцитами, которые после нейтрализации возбудителей превращаются в гной и выкашливаются в виде мокроты наружу. Воздействие вируса на внутреннюю выстилку капилляров ведет к их повреждению. Из-за чего ка

Нынешняя эпидемия ведет к неожиданным и необычным последствиям. Это связано с особенностью вируса. Он повреждает ткани сосудов, эпителий легких и нервы.

Поэтому мы имеем дело не с классической пневмонией при поражении лёгких,а с пневмонитом - небактериальным повреждением ткани легких. Это принципиально отличает эти два заболевания.

При обычной бактериальной пневмонии поражается ограниченная часть - сегмент, несколько сегментов или доля легкого. Остальной, бОльший объем остается нетронутым и продолжает дышать.

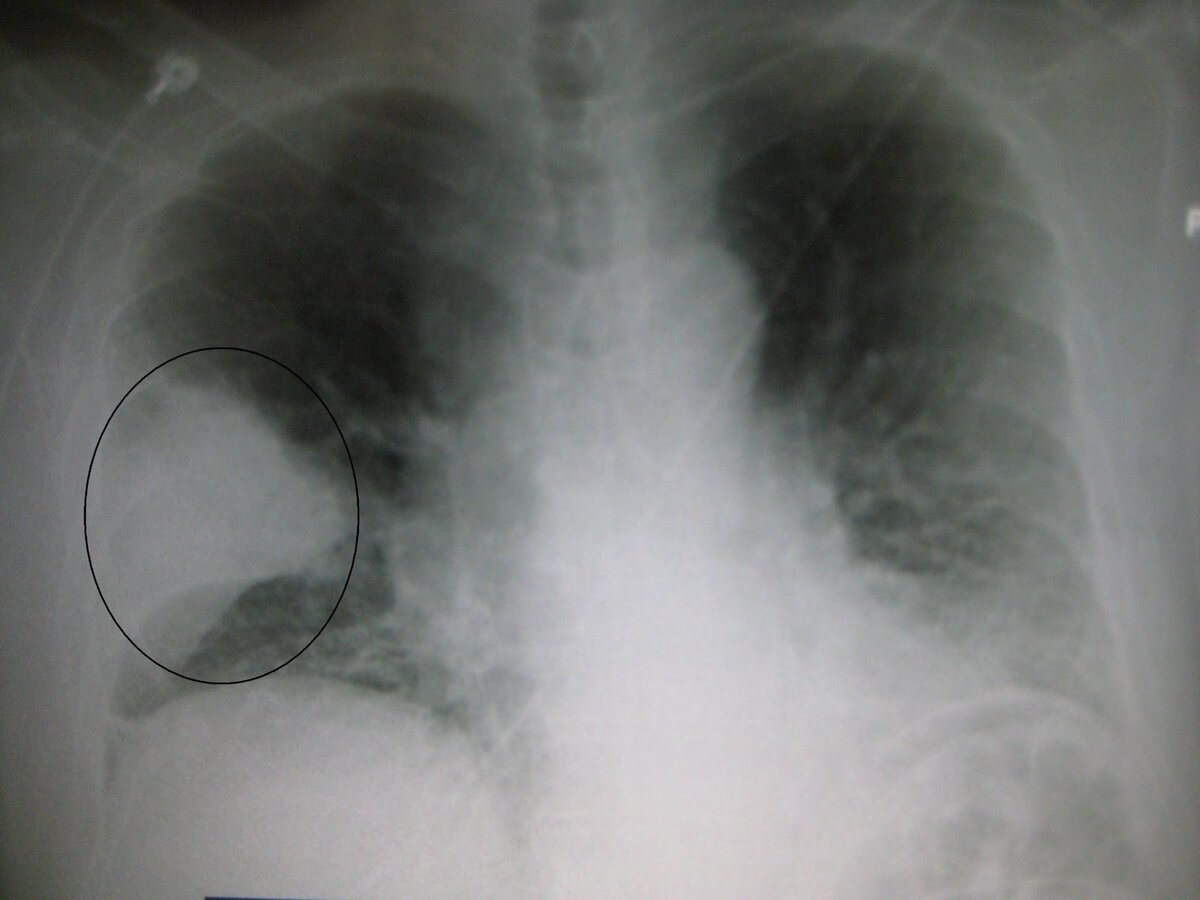
Очаг пневмонии в правом легком
Очаг пневмонии в правом легком

Вирусный процесс поражает мелкие сосуды и небольшие участки легких, но их может быть много и они могут быть разбросаны по всей толще обоих легких. Поэтому дыхательная функция страдает сильнее.

При бактериальной пневмонии содержимое поврежденных участков - это экссудат (жидкость) с лейкоцитами, которые после нейтрализации возбудителей превращаются в гной и выкашливаются в виде мокроты наружу.

Воздействие вируса на внутреннюю выстилку капилляров ведет к их повреждению. Из-за чего капилляры начинают протекать, как решето.

Жидкая часть крови попадает в окружающие ткани. А оставшаяся в сосудах кровь сгущается и может превращаться в микроскопические тромбы, забивая их. Процесс называется микроангиопатия. Когда он проходит в лёгких, повреждаются участки лёгочной ткани, соответствующие питающему их сосуду.

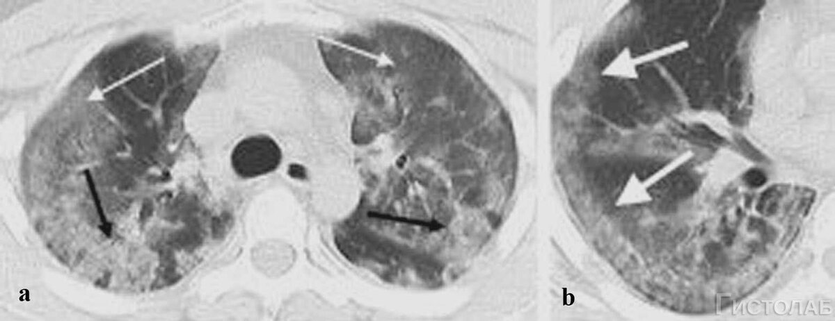
Вирусное поражение легких
Вирусное поражение легких

При этом часто повреждаются мелкие сосуды, поэтому поражение легочной ткани имеет рассеянные характер. Вот почему на рентгеновских снимках и МРТ мы видим такую картину. Она полностью отличается от картины привычной пневмонии.

Попавшая в ткани легкого жидкая часть крови довольно быстро сворачивается. Участок повреждения перестает получать питание. Клетки, которые там находятся, погибают. И на этом месте образуется зона фиброза. Это соединительная ткань, похожая на рубцовую.

Понятно, что “дышать” такой участок не может. Нарушается газообмен, перестает усваиваться кислород и выводиться углекислый газ из нашего тела.

И чем больше таких участков, тем сильнее поражение и тем выраженнее клинические проявления. Они связаны с нехваткой кислорода организму.

Конечно же, в первую очередь страдает мозг. Явления гипоксии вызывают слабость, головные боли, головокружение, депрессивные состояния вплоть до панических атак.

-3

Если были повреждены зоны лёгких по периферии, прилежащие к плевре, на этом месте образуются спайки. Плевральные спайки “подклеивают” лёгкое к внутренней части грудной клетки, это мешает нормальному скольжению лёгких во время дыхания. И тем самым дополнительно снижается объем воздуха, который можно вдохнуть.

К сожалению, сегодня реабилитация после перенесенного заболевания практически отсутствует. А та, что есть, не может дать полноценного восстановления после этого заболевания.

Общеукрепляющие процедуры хороши для организма, но не ведут к восстановлению сосудов и легочной ткани. Дыхательные упражнения могут лишь немного улучшить подвижность лёгких при небольших спайках, это даст некоторое облегчение. Но к восстановлению не приведёт.

-4

В течение полутора лет нами разработана и опробована успешная методика, позволяющая восстанавливать ткани лёгких и сосудов.

Используя ручные техники, мы активируем процессы очистки и восстановления тканей местно в зонах, где это необходимо. Улучшение ощущается уже на первом сеансе. Правильно запуская этот процесс, мы позволяем организму в короткие сроки начать восстановление, чтобы уменьшить повреждения, нанесённые болезнью.

А как проходит восстановление у вас?

Напишите свои ответы в комментариях.
Этот и другие материалы в нашем Онлайн-клубе БиоСерфинг.
Полную запись этого эфира и многие другие материалы вы найдете в нашем онлайн-клубе. Это ресурс о теле и психике глазами нейрореабилитологов!
На связи Александр и Лана Жуковы - нейрореабилитологи, специалисты экспертного уровня.
Авторы уникальной системы реабилитации БиоСерфинг.
Узнать настоящие причины своих проблем можно, записавшись на диагностику онлайн - https://qptr.ru/ps5Y
Пробное участие в онлайн Клубе БиоСерфинг на 3 дня без оплаты - https://clck.ru/377cgL
Подписывайтесь на канал, чтобы всегда быть в потоке полезной информации.
Поделитесь с друзьями, чтобы обсудить эту тему с ними.

Читайте также:

Вы не поверите, отчего на самом деле образуются желчные камни!

Вы будете в шоке! Вся правда об атеросклеротических бляшках

Смотрите:

Где находится современная медицина?

Самый большой орган нашего тела. Факты, о которых вы могли не знать