Добавить в корзинуПозвонить
Найти в Дзене
KENMED.ru

Артроз коленного сустава: особенности

Артроз коленного сустава (гонартроз; gonarthrosis, от греч. gony колено + артроз) – дегенеративно-дистрофическое заболевание коленного сустава. Также как и при артрозах других суставов в первую очередь затрагивается хрящ. Развитии процесса вовлекает костную ткань, ткани суставной капсулы и связочный аппарат. Особенности проявления гонартроза можно выделить в два основных пункта: Артроз коленного сустава: наиболее вероятные причины Артроз коленного сустава: места проявления В строении коленного сустава можно отметить один значимый фактор: наличие двух суставных сочленений. Первое – сочленение между бедренной костью и большеберцовой костью, второе – между бедренной костью и надколенником. Места и характер проявления симптомов зависят от того, хрящ какого сочленения разрушается в первую очередь. Артроз коленного сустава: основные симптомы Проявление артроза коленного сустава очень разнообразно. Ваши боли могут отличаться от болей другого человека. Один день они могут вообще не давать о се
Оглавление

Артроз коленного сустава (гонартроз; gonarthrosis, от греч. gony колено + артроз) – дегенеративно-дистрофическое заболевание коленного сустава. Также как и при артрозах других суставов в первую очередь затрагивается хрящ. Развитии процесса вовлекает костную ткань, ткани суставной капсулы и связочный аппарат.

Особенности проявления гонартроза можно выделить в два основных пункта:

  1. Долгое бессимптомное течение.
    Коленный сустав имеет большое количество хрящевых образований. Кроме большой площади суставного хряща есть внутрисуставные мениски. Мениски выравнивают дефекты суставных поверхностей костей при их разрушении и служат своеобразными амортизаторами. Благодаря этому сглаживается давление на костные поверхности и раздражение нервных окончаний. Формирование ощущения боли не происходит.
  2. Частая поражаемость.
    Коленные суставы несут очень большую физическую нагрузку и очень часто травмируются.

Артроз коленного сустава: наиболее вероятные причины

  1. Возраст.
    Артроз связан со старением, но не вызван им. Чаще всего страдают люди старше 65 лет. С возрастом наши кости становятся более хрупкими, наши мышцы часто ослабевают, и организм становится менее эффективным при самоисцелении.
  2. Пол.
    У женщин вероятность развития гонартроза в два раза выше, чем у мужчин. Наиболее вероятная причина этого – уровень гормонов, влияющих на обменные процессы, происходящих в хрящах и костях.
  3. Вес.
    Исследования показали, что артроз коленного сустава в три раза чаще встречается у людей с избыточным весом (ИМТ > 27). Чем больше мы весим, тем большая нагрузка проходит через наши кости и, следовательно, тем выше вероятность износа хряща.
  4. Травма.
    Если была травма коленного сустава, например, разрыв мениска, то это может стать одним из предрасполагающих факторов развития гонартроза. После первоначальной травмы происходит ряд изменений в костях и хрящах. Дефект в большей степени замещается соединительной тканью, которая не будет настолько же функциональна как ткань, которую она замещает.
  5. Операция на коленном суставе.
    Если в прошлом была перенесена операция на коленном суставе и пришлось удалить часть хряща (например, менискэктомия), есть большая вероятность развития гонартроза. Это связано с тем, что удаленный хрящ никогда больше не вырастет снова и не сможет уменьшить трение костей.
  6. Плоскостопие.
    Некоторые врачи и ортопеды считают, что плоскостопие увеличивает частоту возникновения остеоартроза коленного сустава. Это происходит из-за перенаправления сил через сустав при изменении положения стопы: увеличивается износ компонентов колена (обычно с внутренней стороны).
  7. Высокое расположение надколенника.
    Высокое расположение надколенника или пателла альта (от patella – надколенник, alta – высоко) – надколенник находится выше своего обычного месторасположения (пателлофеморальной борозды). Мыщелки бедренной кости перестают ограничивать боковые движения надколенной чашечки. Сильное сокращение четырехглавой мышцы при сочетании с поворотом корпуса может легко «вытащить» надколенник из борозды, что расценивается как вывих. Каждый такой вывих в той или иной степени повреждает хрящ внутренней стороны надколенной чашечки. Появляется фактор риска развития артроза.
  8. Генетика.
    Считается, что до 60% случаев гонартроза связаны с генетикой. Хотя до конца эта связь не изучена, но она определенно существует. Одним из примеров может стать влияние наших генов на качество и толщину хрящей.

Артроз коленного сустава: места проявления

В строении коленного сустава можно отметить один значимый фактор: наличие двух суставных сочленений. Первое – сочленение между бедренной костью и большеберцовой костью, второе – между бедренной костью и надколенником. Места и характер проявления симптомов зависят от того, хрящ какого сочленения разрушается в первую очередь.

  1. Бедренно-большеберцовое сочленение: повреждение хряща, выстилающего нижнюю часть бедренной кости и верхнюю часть голени.
    Боль, как правило, ощущается глубоко внутри коленного сустава. Чаще всего связана с ригидностью, слабостью и отеком колена.
  2. Бедренно-надколенниковое сочленение: повреждение хряща, выстилающего нижнюю часть бедренной кости (пателлофеморальную борозду) и внутреннюю часть надколенника. Часто происходит при хондромаляции надколенника.
    Боль, как правило, ощущается в передней части колена, усиливается при подъеме по лестнице, вставании из положения сидя и приседании.

Артроз коленного сустава: основные симптомы

Проявление артроза коленного сустава очень разнообразно. Ваши боли могут отличаться от болей другого человека. Один день они могут вообще не давать о себе знать. Зато на следующий – вы не сможете от них убежать. Иногда кажется, что мы нащупали связь ухудшения нашего состояния из-за какой-то причины. Но через какое-то время связь теряется, и мы чувствуем, что закономерности нет вообще.

И тем не менее перечисленные ниже проявления гонартроза встречаются наиболее часто:

  1. Боль.
    Обычно ощущается при попытке полностью согнуть или выпрямить колено (например, при приседании) и при занятиях, при которых через колено проходит большая нагрузка (например, при подъеме и, особенно, спуске по лестнице; во время бега, после длительного нахождения на ногах).
    Характерны «стартовые» боли (проявляются в начале физической нагрузки после покоя, ослабевают через какое-то время работы сустава).
    Колено часто болит при прикосновении (область ниже колена и по его краям).
    Боль в передней части колена и боль при вставании на колени появляется, если первопричиной развития гонартроза стала хондромаляция (разрушение хряща) надколенника.  
    Уровни боли достаточно разнообразны. Часто боль при артрозе похожа на ноющую зубную боль. Острая боль характерна при присоединении реактивного синовита: оторвавшиеся кусочки хряща повреждают синовиальную оболочку и вызывают ее воспаление.
  2. Скованность сустава.
    Может ограничивать степень сгибания и разгибания. Скованность по утрам или после длительного бездействия (например, сидения) является классическим признаком артроза коленного сустава. Также как и «стартовые» боли обычно уменьшается после нескольких минут движения. Выполнение легких упражнений, когда вы просыпаетесь или когда сидите, помогает быстрее с ней справиться.
  3. Тугоподвижность и быстрая утомляемость сустава.
    Обусловлены не соответствием суставных поверхностей относительно друг друга, изменениями (утолщением, известковыми отложениями и склерозом) в суставной капсуле, сухожилиях и других мягких тканях и спазмом мышц.
  4. Деформация сустава.
    Связана с костными разрастаниями. Деформация из-за отека мягких тканей может быть отмечена при присоединении реактивного синовита.
  5. Хруст суставов.
    Появляется из-за трения между неровностями суставных поверхностей и потерявших эластичность мягких тканей. Характерен грубый хруст.

Симптомы артроза коленного сустава часто усиливаются во время:

  1. Холодная и сырая погода.
    Объясняют это тем, что изменение давления воздуха влияет на давление в наших суставах. Увеличение давления на нервные рецепторы и так уже поврежденных тканей провоцирует проявление болей.
  2. Состояние стресса, тревоги, усталости.
    В это время в нашем теле вырабатываются химические вещества, которые делают нас наиболее чувствительными к боли.
  3. Присоединение других заболеваний.
    Попадающие в организм возбудители инфекционных заболеваний могут атаковать и ткани сустава. Ответная воспалительная реакция приводит к усилению симптомов гонартроза.

Рентгенологические признаки гонартроза

На рентгенограммах коленных суставов характерные для артрозов изменения: сужение суставной щели, деформация и разрушение основного вещества хряща и кости, краевые остеофиты, кисты прилегающих частей костей.

К числу ранних рентгенологических признаков гонартроза бедренно-надколенникового сочленения относятся заострения межмыщелковых бугорков большеберцовой кости и надколенника. Наблюдаются также мелкие эрозии в нижней трети задней поверхности надколенника, сужение щели между надколенником и бедренной костью и остеофиты на верхнем и нижнем краях надколенника.


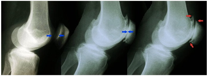
Рентгенограммы здорового коленного сустава (слева) и сустава при гонартрозе бедренно-надколенникового сочленения. Среднее изображение показывает потерю суставной щели. На правом изображении выделяются образующиеся костные заострения или шпоры.
Рентгенограммы здорового коленного сустава (слева) и сустава при гонартрозе бедренно-надколенникового сочленения. Среднее изображение показывает потерю суставной щели. На правом изображении выделяются образующиеся костные заострения или шпоры.

При гонартрозе бедренно-большеберцового сочленения часто поражаются суставные мениски, особенно медиальный. Это приводит к резкому сужению суставной щели или к деформациям конечностей.


Рентгенограммы здорового коленного сустава (слева) и сустава при гонартрозе бедренно-большеберцового сочленения. Поочередно показаны стадии артроза разной степени тяжести: 1 – сомнительное сужение суставной щели и возможные костные шпоры; 2 – наличие костных шпор и возможное сужение суставной щели; 3 – множественные костные шпоры, выраженное сужение суставной щели, склероз и возможная деформация кости; 4 – большие шпоры, выраженное сужение суставной щели, тяжелый склероз и однозначная костная деформация. Костные шпоры обозначены желтой стрелкой.
Рентгенограммы здорового коленного сустава (слева) и сустава при гонартрозе бедренно-большеберцового сочленения. Поочередно показаны стадии артроза разной степени тяжести: 1 – сомнительное сужение суставной щели и возможные костные шпоры; 2 – наличие костных шпор и возможное сужение суставной щели; 3 – множественные костные шпоры, выраженное сужение суставной щели, склероз и возможная деформация кости; 4 – большие шпоры, выраженное сужение суставной щели, тяжелый склероз и однозначная костная деформация. Костные шпоры обозначены желтой стрелкой.

Артроз коленного сустава: лечение

Полностью вылечить измененные кости и хрящи невозможно. Но комплексное лечение может свести симптомы артроза к минимуму.

Информацию о лучших вариантах лечения гонартроза мы разделили на три группы:

Если это не похоже на вашу проблему или вам нужна помощь в выяснении того, что не так с вашим коленом, посетите раздел Диагностики боли в коленях. Но помните: это не заменяет медицинскую консультацию.