Найти в Дзене

Телескопические зубные протезы: кому подходят и сколько стоят?

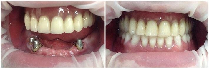
Использование телескопических систем прочно укоренилось в протезировании (хотя, возможно, вы о них и не слышали). На данный момент считается, что это один из самых удобных видов постановки протезов. Качество и результат напрямую зависит от специалиста, так как при телескопическом методе используются специальные материалы, которые при ношении должны иметь минимальный коэффициент деформации. Сама конструкция состоит из двух частей: съемной и несъемной. Первая как раз и представляет сам протез, который выглядит как полноценный зуб, но внутри на самом деле полый. А несъемная часть – это металлическая основа, на которую крепится коронка. При смыкании челюстей эти две части плотно соприкасаются друг с другом, создавая прочную фиксацию. Как и любой метод, телескопическое протезирование имеет свои показания: Почему же сейчас чаще всего используется эта система? К минусам можно отнести более высокую стоимость по сравнению с классическими протезами из пластмасс и саму двухуровневую конструкцию,

Использование телескопических систем прочно укоренилось в протезировании (хотя, возможно, вы о них и не слышали).

На данный момент считается, что это один из самых удобных видов постановки протезов. Качество и результат напрямую зависит от специалиста, так как при телескопическом методе используются специальные материалы, которые при ношении должны иметь минимальный коэффициент деформации.

Фото из открытых источников
Фото из открытых источников

Сама конструкция состоит из двух частей: съемной и несъемной. Первая как раз и представляет сам протез, который выглядит как полноценный зуб, но внутри на самом деле полый. А несъемная часть – это металлическая основа, на которую крепится коронка. При смыкании челюстей эти две части плотно соприкасаются друг с другом, создавая прочную фиксацию.

Как и любой метод, телескопическое протезирование имеет свои показания:

  • Количество зубов, не соответствующее постановке постоянных протезов;
  • Патология десен, при которой возможна потеря одного и более опорных элементов;
  • Неплотная усадка зубов, постоянное расшатывание;
  • Эстетический запрос.

Почему же сейчас чаще всего используется эта система?

  • Удобство для пациента. Возможность круглосуточной носки значительно разгружает человека и не создает проблем.
  • Гипоаллергенность. Даже пациенты с высокой чувствительностью к зубным материалам могут позволить себе телескопическую систему, так как она изготавливается из инертных сплавов.
  • Мобильность системы. Если по каким-то причинам вы утратили опорные зубные элементы, то всю систему можно запросто перебазировать.
  • Прочность и надежная фиксация за счет металлического основания.
  • Физиологичность. При постановке жевательная нагрузка распределяется равномерно, механика жевания не нарушается.

К минусам можно отнести более высокую стоимость по сравнению с классическими протезами из пластмасс и саму двухуровневую конструкцию, которой нужно большего препарирования зуба. Стоимость протезов на телескопах начинается от 20.000р.

Фото из открытых источников
Фото из открытых источников

При правильном уходе телескопические протезы служат от 3 до 10 лет. Для того, чтобы продлить срок службы, необходимо регулярно ходить на профилактические осмотры и соблюдать тщательную гигиену полости рта.

Фото из открытых источников
Фото из открытых источников