Добавить в корзинуПозвонить
Найти в Дзене

Как понять, что у лошади лишай?

Трихофития или трихофитоз, стригущий лишай – грибковое заболевание, которое вызывают несовершенные грибы рода Trichophyton. Дерматофитоз у лошадей вызывают Trichophyton equinum и T. Mentagrophytes, Microsporum gypseum, M. canis и T. verrucosum. Заболевают как отдельные лошади, так и целые поголовья на крупных конюшнях. ⠀ Дерматофиты передаются при прямом контакте с инфицированным животным или с зараженными спорами предметами ухода и амуниции, а также через почву. ⠀ На заболеваемость влияют: К дополнительным факторам относят чрезмерное использование моющих шампуней, которые повреждают естественный защитный барьер кожи и увеличивают риск заражения, и повышенную влажность в денниках. ⠀ Как проявляется трихофития⠀ Как правило, заболевание начинается с папулезной сыпи, затем образуются корки, очаги алопеции и эритемы. Зуд регистрируется редко. Часто дерматофития осложняется вторичной бактериальной инфекцией, что усложняет клиническую картину и диагностику. ⠀ В большинстве случаев дермат
Оглавление

Трихофития или трихофитоз, стригущий лишай – грибковое заболевание, которое вызывают несовершенные грибы рода Trichophyton.

Дерматофитоз у лошадей вызывают Trichophyton equinum и T. Mentagrophytes, Microsporum gypseum, M. canis и T. verrucosum. Заболевают как отдельные лошади, так и целые поголовья на крупных конюшнях. ⠀

Дерматофиты передаются при прямом контакте с инфицированным животным или с зараженными спорами предметами ухода и амуниции, а также через почву. ⠀

На заболеваемость влияют:

  • Возраст лошади (чаще заболевают молодые и пожилые особи)
  • Ослабленный иммунный статус
  • Стресс
  • Скученность содержания
  • Плохое питание

К дополнительным факторам относят чрезмерное использование моющих шампуней, которые повреждают естественный защитный барьер кожи и увеличивают риск заражения, и повышенную влажность в денниках. ⠀

Как проявляется трихофития⠀

Как правило, заболевание начинается с папулезной сыпи, затем образуются корки, очаги алопеции и эритемы. Зуд регистрируется редко. Часто дерматофития осложняется вторичной бактериальной инфекцией, что усложняет клиническую картину и диагностику. ⠀

В большинстве случаев дерматофития проходит спонтанно в течение 1–6 месяцев. Но инфицированных лошадей рекомендуется лечить, чтобы не заразить других животных и людей. ⠀

Дифференциальная диагностика включает: бактериальный фолликулит, демодекоз, кожный онхоцеркоз и некоторые аллергические и аутоиммунные состояния. ⠀

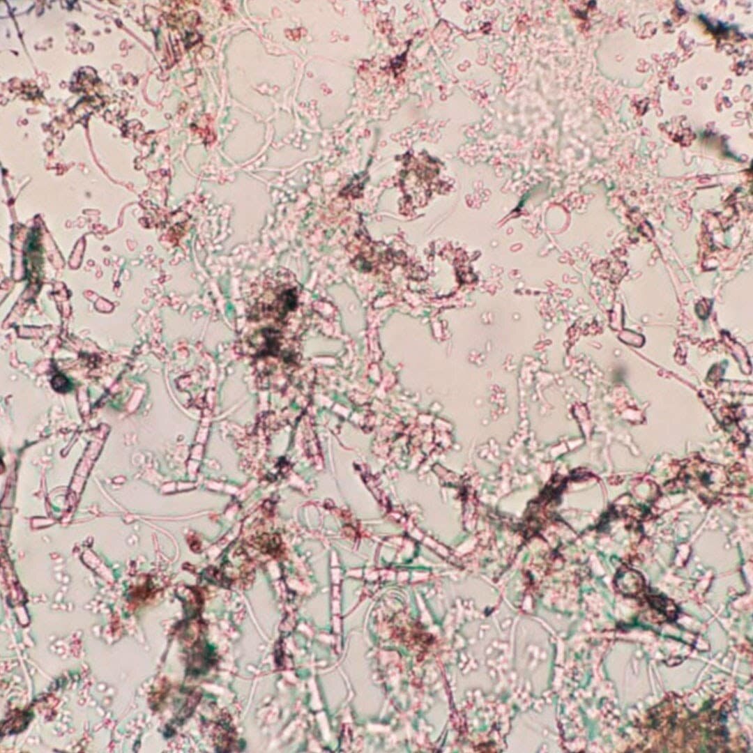
Как диагностировать стригущий лишай

Базовый набор исследований: трихоскопия и посев. ⠀

При заборе биоматериала для посева рекомендуется выщипать волосы по направлению роста и обработать зону взятия спиртом.

В лаборатории VET UNION вы можете заказать исследования для определения трихофатии у лошадей. ⠀

AN400ИДЕ – Исследование на дерматомикозы (трихоскопия) ⠀
AN401ПДЕ – Исследование на дерматомикозы (посев) ⠀
AN400ИДЕ – Исследование на дерматомикозы (трихоскопия) + Эктопаразиты AN407ЭКТ)

-2