Найти в Дзене
Юлия Селютина

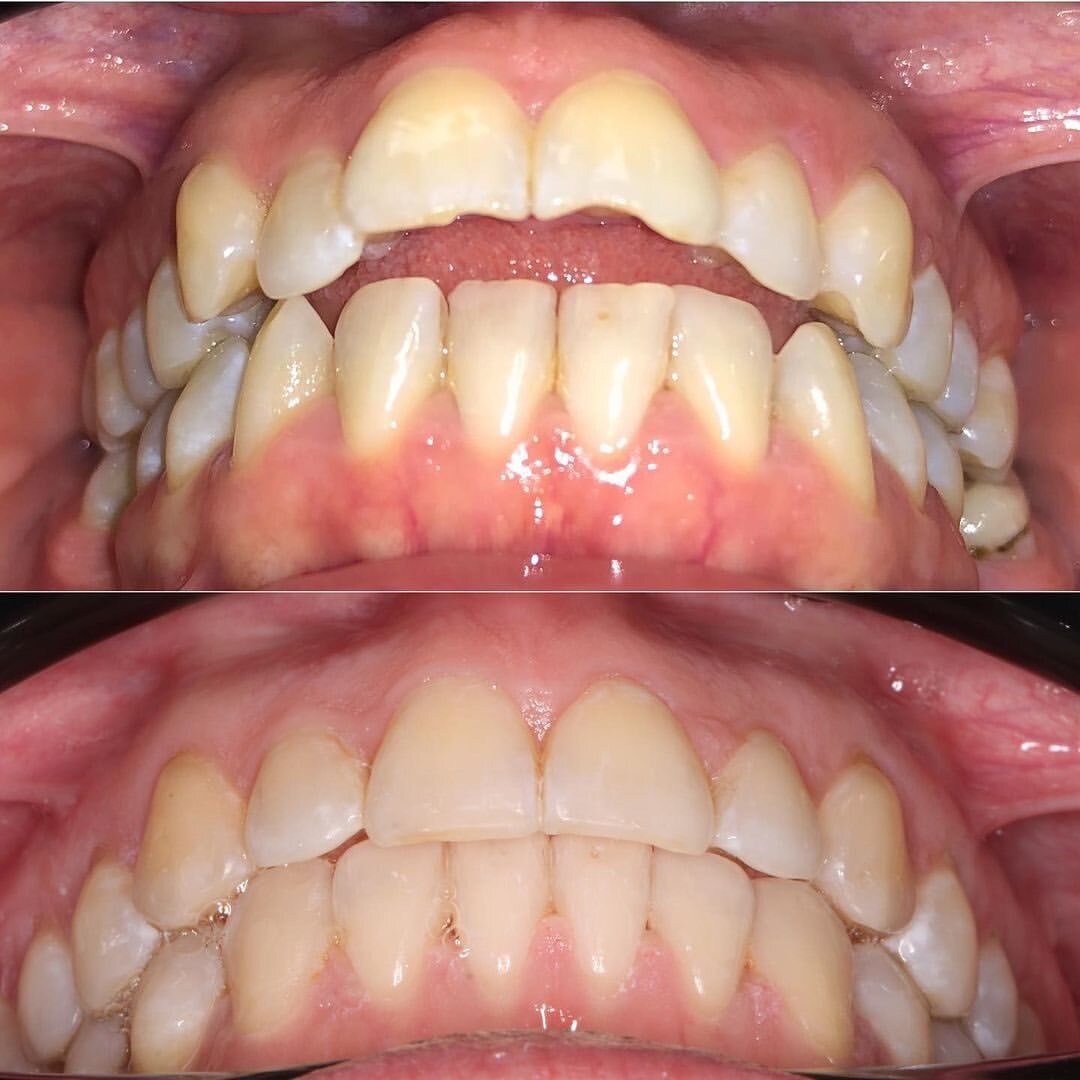
Исправление неправильного прикуса за 13 месяцев: клинический случай.

Ортомагия от Оксаны Ильиченко (Журавской). Лечение открытого прикуса за 13 месяцев — отличная работа! Пациент взрослый. ✔️Диагноз — открытый прикус. Это когда в состоянии покоя при сомкнутых челюстях жевательные зубки контактируют, а центральные зубки между собой НЕТ. Образуется щель между зубными рядами во фронтальной зоне, губы не смыкаются, и поэтому рот пациента всегда полуоткрыт или открыт. Нарушается функция жевания, дыхания и речи, сухость слизистой оболочки полости рта. ✔️Лечение проводилось брекетами H4. Это безлигатурная система, при ношении которой коррекция прикуса идет быстрее, а врача требуется посещать реже. ИМЕЮТСЯ ПРОТИВОПОКАЗАНИЯ. НЕОБХОДИМА КОНСУЛЬТАЦИЯ СПЕЦИАЛИСТА.

Ортомагия от Оксаны Ильиченко (Журавской).

Лечение открытого прикуса за 13 месяцев — отличная работа!

-2
-3

Пациент взрослый.

✔️Диагноз — открытый прикус.

Это когда в состоянии покоя при сомкнутых челюстях жевательные зубки контактируют, а центральные зубки между собой НЕТ.

Образуется щель между зубными рядами во фронтальной зоне, губы не смыкаются, и поэтому рот пациента всегда полуоткрыт или открыт.

Нарушается функция жевания, дыхания и речи, сухость слизистой оболочки полости рта.

✔️Лечение проводилось брекетами H4.

Это безлигатурная система, при ношении которой коррекция прикуса идет быстрее, а врача требуется посещать реже.

ИМЕЮТСЯ ПРОТИВОПОКАЗАНИЯ. НЕОБХОДИМА КОНСУЛЬТАЦИЯ СПЕЦИАЛИСТА.

-4