Добавить в корзинуПозвонить
Найти в Дзене
KENMED.ru

Высокое стояние надколенника или Patella Alta

Высокое стояние надколенника или Patella Alta – такой диагноз ставят, когда коленная чашечка находится выше, чем обычно. Находясь вне пателлофеморальной борозды, надколенник подвергается вывихам. Колено становится менее устойчивым, и появляются боли в его передней части. Обратно в анатомию Коленная чашечка (надколенник) – небольшая перевернутая треугольная кость, которая находится в передней части коленного сустава. Специальное углубление – пателлофеморальная борозда (образована мыщелками бедренной кости) формирует направление движения надколенника. Хрящевые покрытия внутренней стороны чашечки и поверхности борозды обеспечивают плавное скольжение. Сухожилия четырехглавой мышцы сверху и собственная связка надколенника снизу соединяют чашечку с костями (бедренной и большеберцовой) и тянут ее вверх или вниз. Такое строение обеспечивает главную функцию коленного сустава – сгибание-разгибание. А коленная чашечка играет основную роль – роль рычага при сгибании колена, что позволяет при меньш
Оглавление

Высокое стояние надколенника или Patella Alta – такой диагноз ставят, когда коленная чашечка находится выше, чем обычно. Находясь вне пателлофеморальной борозды, надколенник подвергается вывихам. Колено становится менее устойчивым, и появляются боли в его передней части.

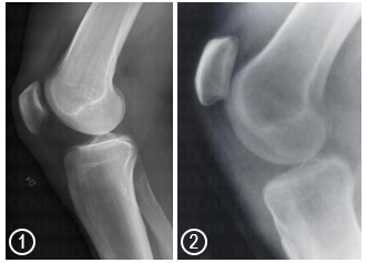
Расположение надколенника при нормальном функциональном состоянии (1) и при Patella Alta (2)
Расположение надколенника при нормальном функциональном состоянии (1) и при Patella Alta (2)

Обратно в анатомию

Коленная чашечка (надколенник) – небольшая перевернутая треугольная кость, которая находится в передней части коленного сустава. Специальное углубление – пателлофеморальная борозда (образована мыщелками бедренной кости) формирует направление движения надколенника. Хрящевые покрытия внутренней стороны чашечки и поверхности борозды обеспечивают плавное скольжение. Сухожилия четырехглавой мышцы сверху и собственная связка надколенника снизу соединяют чашечку с костями (бедренной и большеберцовой) и тянут ее вверх или вниз. Такое строение обеспечивает главную функцию коленного сустава – сгибание-разгибание. А коленная чашечка играет основную роль – роль рычага при сгибании колена, что позволяет при меньших усилиях совершать значимые движения.

Пателлофеморальная борозда достаточно глубокая. Ее боковые стенки не позволяют чашечки выскакивать в стороны при повышенном мышечном напряжении. Однако, в своей верхней части глубина борозды уменьшается, боковые стенки исчезают. И, если надколенник по каким-то причинам располагается выше, чем обычно, его движение ничто не стабилизирует. При сгибании колена он вытягивается за пределы борозды. Его расположение и направление движения могут кардинально измениться.

Считается, что около 30% случаев рецидивирующего вывиха надколенника происходит из-за Patella Alta.

Каждый раз, когда надколенник выходит за пределы борозды, хрящ части коленной чашечки подвергается риску разрушения. Это может стать причиной развития пателлофеморального болевого синдрома, хондромаляции надколенника, артрита коленного сустава и других заболеваний.

Высокое стояние надколенника: причины появления

Patella Alta относится к идиопатическим заболеваниям. То есть причина высокого расположения надколенника до конца неизвестна. Однако, есть некоторые предположения.

  • Врожденная аномалия.
    В большинстве случаев Patella Alta присутствует с рождения и вероятно возникает во время эмбрионального развития.
  • Длинная собственная связка надколенника.
    Диагноз высоко расположенного надколенника обычно подтверждают при проведении рентгенологического исследования. Измеряют вертикальную длину надколенника и длину его собственной связки на боковой рентгенограмме коленного сустава. Если длина связки более чем на 1 см превышает вертикальную длину надколенника, подозревают высоко расположенный надколенник.
  • Травма колена.
    Patella Alta может развиться после травмы колена, например вывиха коленной чашечки.
  • Детский церебральный паралич.
    Высокое стояние надколенника — частая аномалия при церебральном параличе, особенно у детей, которые ходят с согнутыми коленями.

Высокое стояние надколенника: симптомы

Типичные клинические проявления включают в себя:

  1. Нестабильность.
    Жалобы на нестабильность или слабость коленного сустава, усиливающиеся при ходьбе и беге, очень характерны при данном состоянии.
  2. Рецидивирующий (повторяющийся) вывих коленной чашечки.
    Обычно происходит в наружную (латеральную) сторону. Надколенник полностью смещается за пределы сустава. Часто сопровождается разрывом связки надколенника. Основные симптомы: острая боль, деформация колена и аномальное расположение надколенника, отек, гематома, тугоподвижность и ограничение амплитуды движений сустава.
  3. Боль в области передней части колена.
    Часто диагностируется как пателлофеморальная боль. Усиливается при ходьбе вверх и вниз по склону и лестнице, приседании, длительном сидении.

Высокое стояние надколенника: лечение

Лечение надколенника направлено на восстановление полноценной функции колена, уменьшение боли и нестабильности в коленях. Включает в себя консервативный и хирургический подход.

Консервативное лечение

  1. Отдых: уменьшение физической нагрузки позволит уменьшить симптомы воспаления.
  2. Лечебная физкультура: укрепление мышц VMO, ягодичных мышц и четырехглавой мышцы помогут стабилизировать движения надколенника.
  3. Тейпирование надколенника: центрирование (выравнивание) надколенника в пателлофеморальной борозде помогает уменьшить боль и другие симптомы.
  4. Охлаждение: применение криотерапии допустимо при острых состояниях и выраженных симптомах воспаления.
  5. Наколенники: помогают уменьшить смещение коленной чашечки.

Оперативное лечение

В случаях, когда консервативная терапия не достигает необходимых результатов или вывих коленной чашечки носит постоянный характер, необходимо хирургическое вмешательство.

  1. Тибиальная остеотомия.
    Проводится в области бугристости большеберцовой кости. В результате операции место прикрепления собственной связки надколенника перемещается вниз. Связка надколенника тянет за собой сам надколенник и фиксирует его в пателлофеморальной борозде.
  2. Освобождение боковых латеральных связок для уменьшения бокового натяжения.
    Применяется при смещении надколенника в латеральном (наружном) направлении.
  3. Пателлэктомия.
    Удаление коленной чашечки. Операция уменьшает симптомы заболевания, однако, нарушается анатомия сустава. Используется редко, когда другие хирургические методы не эффективны.

Узнайте больше о заболеваниях коленного сустава в разделе Диагностика боли в колене.