Добавить в корзинуПозвонить
Найти в Дзене
СТОМАТОЛОГ-ЭКСПЕРТ

СУПЕРМЕДИЦИНА: ЛЕЧЕНИЕ КАРИЕСА БЕЗ БОРМАШИНЫ. ТЕХНОЛОГИИ БУДУЩЕГО.

Пришеечный кариес – это одно из наиболее распространенных заболеваний зубов, при котором наблюдается высокая чувствительность на: Данный процесс сопровождается разрушением зуба в пришеечной области. Помимо этого, раннее установленные пломбы в поврежденной зоне не отличаются стойкостью и быстро требуют замены. Причиной высокой чувствительности является то, что ближе к шейке у зуба более тонкая эмаль, а также располагаются нервы. Это усиливает действие любого раздражителя и вызывает сильную боль. Подобное воздействие ухудшает состояние нервов, приводит к развитию зубных болезней. Слабая фиксация пломбировочного материала объясняется недостатком твердой ткани. Но современные клиники используют специальные материалы для восстановления зубов и европейские методики. Это позволяет полностью решить проблему лечения пришеечного кариеса. МЕТОДИКИ ЛЕЧЕНИЯ ПРИШЕЕЧНОГО КАРИЕСА Специалисты нашей клиники в своей работе используют 3 особенности в лечении: Первая особенность лечения пришеечного к
Оглавление

Пришеечный кариес – это одно из наиболее распространенных заболеваний зубов, при котором наблюдается высокая чувствительность на:

  • сладкую и кислую еду;
  • холодные и горячие напитки, пищу;
  • использование зубной щетки и других приспособлений для гигиены ротовой полости.

Данный процесс сопровождается разрушением зуба в пришеечной области.

Лечение пришеечного кариеса современной воздушно-абразивной системой в клинике "Бионик Дентис".
Лечение пришеечного кариеса современной воздушно-абразивной системой в клинике "Бионик Дентис".

Помимо этого, раннее установленные пломбы в поврежденной зоне не отличаются стойкостью и быстро требуют замены.

Причиной высокой чувствительности является то, что ближе к шейке у зуба более тонкая эмаль, а также располагаются нервы. Это усиливает действие любого раздражителя и вызывает сильную боль.

Подобное воздействие ухудшает состояние нервов, приводит к развитию зубных болезней.

Лечение пришеечного кариеса современной воздушно-абразивной системой в клинике "Бионик Дентис".
Лечение пришеечного кариеса современной воздушно-абразивной системой в клинике "Бионик Дентис".

Слабая фиксация пломбировочного материала объясняется недостатком твердой ткани.

Но современные клиники используют специальные материалы для восстановления зубов и европейские методики. Это позволяет полностью решить проблему лечения пришеечного кариеса.

Лечение пришеечного кариеса современной воздушно-абразивной системой в клинике "Бионик Дентис".
Лечение пришеечного кариеса современной воздушно-абразивной системой в клинике "Бионик Дентис".

МЕТОДИКИ ЛЕЧЕНИЯ ПРИШЕЕЧНОГО КАРИЕСА

Специалисты нашей клиники в своей работе используют 3 особенности в лечении:

Первая особенность лечения пришеечного кариеса в клинике "Бионик Дентис": лечение с помощью кинематической системы SANDMAN без сверления.

Основным принципом методики является то, что зубы не сверлят, а зачищают кариес воздухом с гранулами оксида алюминия. Такой подход обеспечивает аккуратную и бережную зачистку, без травмирования и повреждений здоровой эмали.

Лечение пришеечного кариеса современной воздушно-абразивной системой в клинике "Бионик Дентис".
Лечение пришеечного кариеса современной воздушно-абразивной системой в клинике "Бионик Дентис".

Поэтому здоровым участкам зубам ничего не угрожает, даже при недостаточной твердости тканей для крепления реставрационного материала.

Процесс лечения включает несколько шагов:

- на десневые ткани наносят анестетический гель, чтобы снизить чувствительность слизистых;

- выполняется 100% обезболивание с применением инъекции;

- используя воздушно-абразивную систему Сандман, проводится тщательное вычищение разрушенных и инфицированных тканей;

- стерилизация полости зуба стоматологическим лазером;

- обработка поверхности при помощи адгезивной системы;

- восстановление зуба с применением световой реставрационной системы, которая делает место реставрации абсолютно незаметным;

- завершающая полировка поверхности.

Для лечения пришеечного кариеса зуба с помощью системы Сандман требуется примерно 30-40 минут. Если в зубном ряде поражено несколько элементов, то выполняется одновременное устранение дефектов.

Видео: лечение пришеечного кариеса воздушно-абразивным методом без сверления.

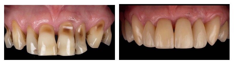
Фото до и после лечения данного пациента:

Лечение пришеечного кариеса современной воздушно-абразивной системой в клинике "Бионик Дентис".
Лечение пришеечного кариеса современной воздушно-абразивной системой в клинике "Бионик Дентис".

Вторая осоебнность лечения с реставрацией при помощи адгезивной системы 7 поколения.

Сложность при лечении пришеечного кариеса возникает из-за недостатка твердой ткани для прочного фиксирования пломбы. Решение этой проблемы стало возможным благодаря использованию адгезивной системы 7 поколения.

Лечение пришеечного кариеса современной воздушно-абразивной системой в клинике "Бионик Дентис".
Лечение пришеечного кариеса современной воздушно-абразивной системой в клинике "Бионик Дентис".

С ее помощью происходит модифицирование зубной эмали, что позволяет прочно и надежно закрепить реставрационный материал.

Подобные пломбы отлично держатся в течение 10 лет.

Данная методика включает следующие этапы:

- стерилизация зубной полости стоматологическим лазером;

- обработка поверхности с применением адгезивной системы 7 поколения;

- восстановление зубного ряда с помощью световой системы, что делает место реставрации практически незаметным;

- полирование отреставрированной поверхности зуба.

Лечение пришеечного кариеса современной воздушно-абразивной системой в клинике "Бионик Дентис".
Лечение пришеечного кариеса современной воздушно-абразивной системой в клинике "Бионик Дентис".

При такой методике фиксирование пломбы получается максимально прочной, не травмируя здоровые участки и не ухудшая состояние эмали. На лечение пришеечного кариеса по этому методу требуется около 30 минут. Восстановление нескольких поврежденных элементов зубного ряда выполняется одновременно при обращении к стоматологу.

Лечение пришеечного кариеса современной воздушно-абразивной системой в клинике "Бионик Дентис".
Лечение пришеечного кариеса современной воздушно-абразивной системой в клинике "Бионик Дентис".

Третья особенность это восстановление пришеечного кариеса керамическими вкладками при массивном разрушении зуба.

Особенность этой методики заключается в закрытие зубной полости с помощью керамической вкладки. Прослужит этот элемент не менее 25 лет. При этом восстановленные зубы практические не отличаются от натуральных.

Преимущества лечения пришеечного кариеса с применением керамической вкладки состоят в:

  • биосовместимости используемого материала, который получил в Европе название – синтетическая эмаль;
  • высокой эстетичности, так как вкладка не заметна благодаря эффекту хамелеона, характерному для дисиликата лития;
  • продолжительном блеске, даже без периодической полировки;
  • безупречной гладкости поверхности, что не допускает образование налета и камня на зубах;
  • максимальной прочности, обеспечивающей срок службы около 25 лет.

Этапы лечения в этом случае включают 2 визита к специалисту с определенными моментами.

Лечение пришеечного кариеса современной воздушно-абразивной системой в клинике "Бионик Дентис".
Лечение пришеечного кариеса современной воздушно-абразивной системой в клинике "Бионик Дентис".

При первом визите:

  • наносится аппликационный анестетик на десневую ткань, что понижает чувствительность слизистых;
  • полностью обезболивают инъекцией Ультракаина, обеспечивая безболезненность процедуры на 100%;
  • вычищают поврежденные и инфицированные участки, используя турбину и стоматологический алмазный бор, для подготовки места под вкладку;
  • стерилизация зубной полости стоматологическим лазером;
  • обработка с применением адгезивной системы 7 поколения;
  • снятие слепка с зубов на силиконовый материал или 3D сканер – отправляется в лабораторию;
  • устанавливается временная пломба.
Лечение пришеечного кариеса современной воздушно-абразивной системой в клинике "Бионик Дентис".
Лечение пришеечного кариеса современной воздушно-абразивной системой в клинике "Бионик Дентис".

Во время второго визита:

  • десневая ткань покрывается аппликационным анестетиком, позволяя снизить чувствительность слизистых;
  • ставят инъекцию Ультракаина, обеспечивая на 100% проведение безболезненной процедуры;
  • убирают временную пломбу, используя турбину и стоматологический алмазный бор;
  • готовую вкладку прикрепляют в ротовой полости на пришеечном участке;
  • выполняется полимеризация клея с помощью стоматологической лампы;
  • полируется восстановленный элемент.
Лечение пришеечного кариеса современной воздушно-абразивной системой в клинике "Бионик Дентис".
Лечение пришеечного кариеса современной воздушно-абразивной системой в клинике "Бионик Дентис".

Хотя лечение пришеечного кариеса по этой методике требует посетить клинику два раза, результат полностью оправдывает ожидание пациента. Такой продолжительный процесс компенсируется долгим эксплуатационным периодом.

Для каждого визита потребуется не более 40 минут. Интервал между процедурами составляет 10 дней.

Лечение пришеечного кариеса современной воздушно-абразивной системой в клинике "Бионик Дентис".
Лечение пришеечного кариеса современной воздушно-абразивной системой в клинике "Бионик Дентис".

Использование при лечении пришеечного кариеса современных методик позволяет гарантированно решить эту проблему, не вспоминая о ней на протяжении долгих лет.

Если вас заинтересовало современное лечение пришеечного кариеса, прочтите нашу статью:

Современные методики лечения пришеечного кариеса.

МНЕНИЕ ЭКСПЕРТА:

Озеров Петр Владимирович, врач стоматолог.
Озеров Петр Владимирович, врач стоматолог.

Мнение эксперта:
Еще 10 лет назад, пломбирование пришеечного кариеса, было настоящей проблемой для стоматологов, пломбы в этой области зуба совершенно не держались. Сейчас, используя современные световые реставрационные системы и воздушно-абразивную систему обработки эмали, в нашей клинике "Бионик Дентис" мы добились стабильной фиксации пломбы в пришеечной области на 5-7 лет.