Добавить в корзинуПозвонить
Найти в Дзене
ОРТОДОНТ-ЦЕНТР

Преимущества флексилайнеров

Сейчас появилось множество систем, предлагающих лечение на элайнерах. Я бы хотела рассказать о системе FlexiLigner. В основу лечения положена итальянская система прозрачных элайнеров, а вот производятся они в России, что позволяет пациентам сэкономить время, не ожидая неделями ответа от производителя. Также это единственная компания, которая контролирует качество 3D-планирования лечения. Фото до Flexiligner Фото после Flexiligner Преимущества элайнеров Flexiligner: Автор статьи — Гущина Вера Игоревна, врач-ортодонт Оригинал статьи — https://www.ortodont-center.ru/articles/article_104/

Сейчас появилось множество систем, предлагающих лечение на элайнерах. Я бы хотела рассказать о системе FlexiLigner. В основу лечения положена итальянская система прозрачных элайнеров, а вот производятся они в России, что позволяет пациентам сэкономить время, не ожидая неделями ответа от производителя. Также это единственная компания, которая контролирует качество 3D-планирования лечения.

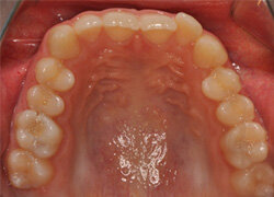
Фото до Flexiligner

-2
-3

Фото после Flexiligner

-4
-5

Преимущества элайнеров Flexiligner:

  • незаметны для окружающих,
  • плотно прилегают к зубам, а, значит, эффективно работают; ,
  • не травмируют мягкие ткани полости рта, так как края кап гладкие, повторяют контуры десневого края;
  • на капе лазерная маркировка с порядковым номером, поэтому пациент всегда знает, какую капу он носит;
  • простая гигиена и уход за полостью рта;
  • нет ограничений в еде.

Автор статьи — Гущина Вера Игоревна, врач-ортодонт

Оригинал статьи — https://www.ortodont-center.ru/articles/article_104/