Добавить в корзинуПозвонить
Найти в Дзене
Yellmed.ru

Немедленная имплантация – ни дня без зубов: рассказывает хирург-имплантолог

Имплантация с немедленной нагрузкой – один из новейших способов восстановления утраченных зубов. В отличие от традиционных методик, она характеризуется минимальной инвазивностью, сокращенным сроком реабилитации и меньшим количеством визитов к стоматологу. О других преимуществах мгновенной имплантации зубов портал Yellmed узнал у хирурга-имплантолога стоматологической клиники «Авантис» Артема Амаева. – Одномоментная имплантация с немедленной нагрузкой – настоящий прорыв в стоматологии. Артем Курбанович, что такое «немедленная нагрузка»? – Немедленная нагрузка означает возможность «нагрузить», то есть зафиксировать коронку или мостовидную конструкцию на установленный имплантат в ранние сроки после его установки. Мгновенная имплантация наиболее востребована при реставрации зубов в видимой зоне, в частности, в зоне улыбки. – Подойдет ли такая методика, если нужно удалить не один, а несколько зубов, либо при их полном отсутствии? – Зачастую такая конструкция часто ведет себя гораздо стабиль

Имплантация с немедленной нагрузкой – один из новейших способов восстановления утраченных зубов. В отличие от традиционных методик, она характеризуется минимальной инвазивностью, сокращенным сроком реабилитации и меньшим количеством визитов к стоматологу.

Фото: pixabay.com
Фото: pixabay.com

О других преимуществах мгновенной имплантации зубов портал Yellmed узнал у хирурга-имплантолога стоматологической клиники «Авантис» Артема Амаева.

– Одномоментная имплантация с немедленной нагрузкой – настоящий прорыв в стоматологии. Артем Курбанович, что такое «немедленная нагрузка»?

– Немедленная нагрузка означает возможность «нагрузить», то есть зафиксировать коронку или мостовидную конструкцию на установленный имплантат в ранние сроки после его установки. Мгновенная имплантация наиболее востребована при реставрации зубов в видимой зоне, в частности, в зоне улыбки.

– Подойдет ли такая методика, если нужно удалить не один, а несколько зубов, либо при их полном отсутствии?

– Зачастую такая конструкция часто ведет себя гораздо стабильнее, чем одиночная коронка. Поэтому методика подходит как для восстановления нескольких зубов, так и для пациентов с полным отсутствием зубного ряда.

– Что такое моделирование улыбки?

– Это часть масштабной работы по планированию и подготовке к имплантации. Планирование улыбки позволяет заранее представить, как определенная форма и размеры искусственных зубов будут выглядеть в полости рта пациента, и индивидуально учесть его эстетические запросы.

– Насколько высока вероятность, что при одномоментной имплантации не удастся достичь желаемого результата или имлантаты отторгнутся?

– Используя методы цифрового планирования, можно заранее просчитать возможные риски. При сложной анатомической ситуации иногда целесообразно прибегнуть к более консервативным методикам восстановления утраченных зубов. Все это индивидуально обсуждается с пациентом.

– В каких случаях невозможно проведение мгновенной имплантации?

– Основные противопоказания – выраженный дефицит костной ткани и активный воспалительный процесс в организме. Кроме того, мгновенная имплантация противопоказана пациентам с тяжелым общесоматическим анамнезом.

– Может ли перед экспресс-имплантацией понадобиться костная пластика?

– Все зависит от конкретного случая. В некоторых случаях мы проводим определенную подготовку, а иногда совмещаем костную пластику и одномоментную имплантацию.

– Сколько длится реабилитация после такой имплантации?

– В целом, одномоментные методики позволяют сократить сроки реабилитации. Как и при любом хирургическом вмешательстве в стоматологии, восстановление пациентов после проведения мгновенной имплантации занимает от 3 до 7 дней.

– В чем заключаются преимущества немедленной нагрузки перед классическим многоэтапным подходом?

– В числе основных плюсов имплантации с немедленной нагрузкой – меньшее количество хирургических этапов и возможность сокращения физической и социальной реабилитации пациентов. Это связано с тем, что при таком подходе период нахождения человека без зубов минимален.

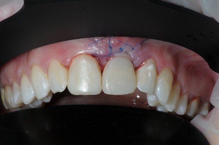
Фото: Стоматологическая клиника «Авантис»
Фото: Стоматологическая клиника «Авантис»

– А в плане стоимости – это выгодный вариант имплантации?

– Как уже было сказано, одномоментная имплантация позволяет избежать некоторых дополнительных этапов, плюс уменьшается количество дорогостоящих расходных материалов. Все это позитивно сказывается на цене таких мероприятий.

– Какими знаниями и навыками должен обладать стоматолог, чтобы проводить одномоментную имплантацию?

– Это требует максимального уровня теоретической и практической подготовки специалиста, ведь планирование и высококлассное исполнение разных методик мануально.

Важно, чтобы при таком типе реабилитации пациент работал в одной команде с врачами: соблюдал корректный режим питания и выполнял весь спектр рекомендаций.