Найти в Дзене
Юлия Селютина

Налет Пристли бывает у взрослых?

Если вы думаете, что налет Пристли образуется только на молочных зубках, то спешу вас огорчить. Он может появляться и на постоянных, и даже у взрослых. Сам по себе налет Пристли не опасен, но под ним может скрываться кариес. Поэтому, черноту надо периодически счищать у стоматолога, т.к. дома у вас это сделать не получится — налет слишком устойчив. Пациенту 9 лет. ✔️Доктор Светлана Кожемякина очистила зубки от налета специальным порошком на основе глицина — он очень мелкий и не противопоказан детям; ✔️Затем убрала все зубные отложения; ✔️И заполировала зубки до блеска. Налет Пристли появляется в результате активного развития и жизнедеятельности пигментообразующих бактерий. Чаще всего это связано с нарушениями в ЖКТ. Поэтому рекомендую посетить педиатра и гастроэнтеролога. Напоминаю, с 1 по 10 мая #ЦентрСелютиной работает в общем режиме. Без выходных. Взрослые и детские специалисты ведут прием каждый день. Для того, чтобы записаться, звоните или пишите администратору в ватсап по теле

Если вы думаете, что налет Пристли образуется только на молочных зубках, то спешу вас огорчить.

Он может появляться и на постоянных, и даже у взрослых.

Сам по себе налет Пристли не опасен, но под ним может скрываться кариес.

Поэтому, черноту надо периодически счищать у стоматолога, т.к. дома у вас это сделать не получится — налет слишком устойчив.

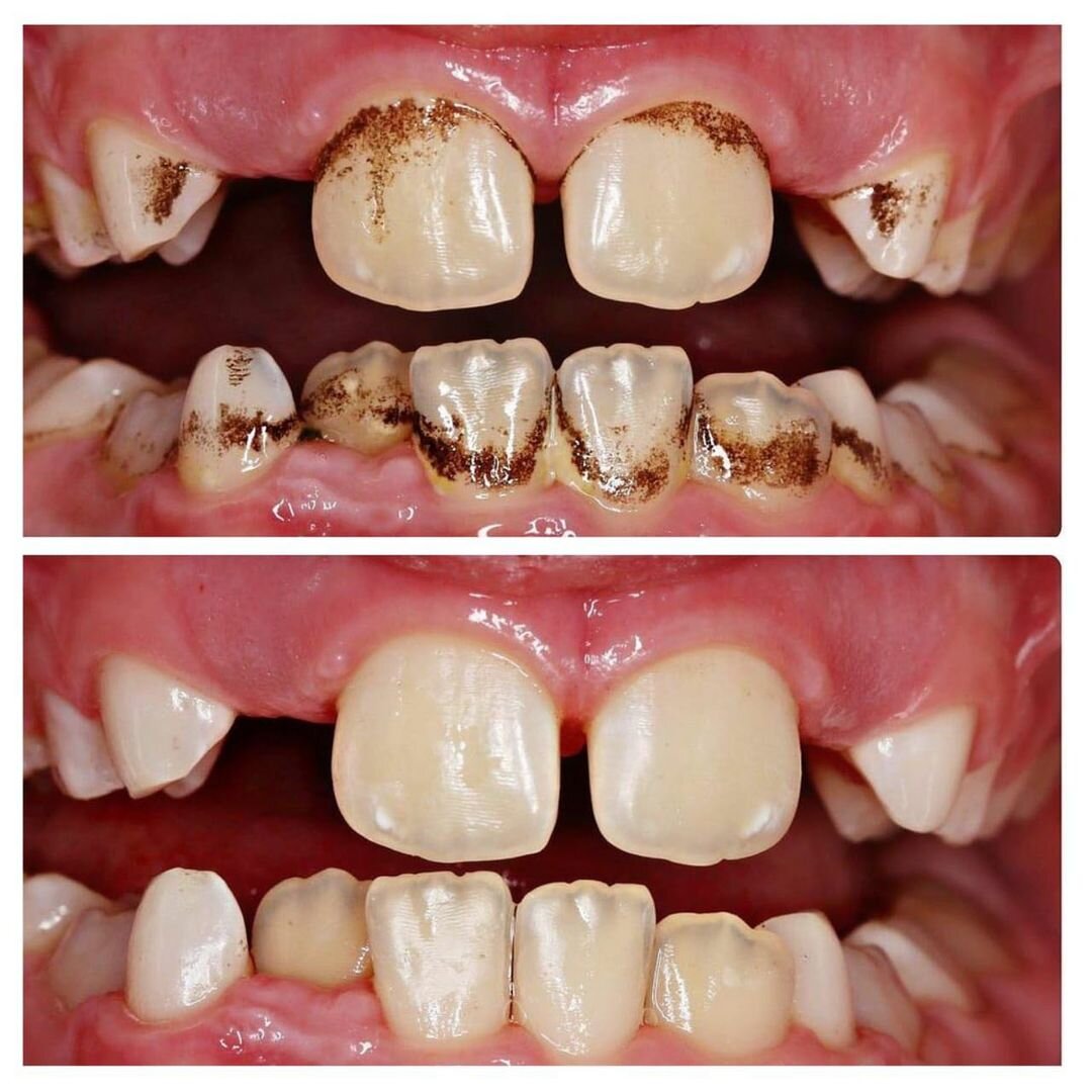
Пациенту 9 лет.

✔️Доктор Светлана Кожемякина очистила зубки от налета специальным порошком на основе глицина — он очень мелкий и не противопоказан детям;

✔️Затем убрала все зубные отложения;

✔️И заполировала зубки до блеска.

Налет Пристли появляется в результате активного развития и жизнедеятельности пигментообразующих бактерий.

Чаще всего это связано с нарушениями в ЖКТ.

Поэтому рекомендую посетить педиатра и гастроэнтеролога.

Напоминаю, с 1 по 10 мая #ЦентрСелютиной работает в общем режиме. Без выходных. Взрослые и детские специалисты ведут прием каждый день. Для того, чтобы записаться, звоните или пишите администратору в ватсап по телефону: +7-926-538-48-84.

ИМЕЮТСЯ ПРОТИВОПОКАЗАНИЯ. НЕОБХОДИМА КОНСУЛЬТАЦИЯ СПЕЦИАЛИСТА.