Добавить в корзинуПозвонить
Найти в Дзене
Юлия Селютина

Лечение множественного кариеса у малыша

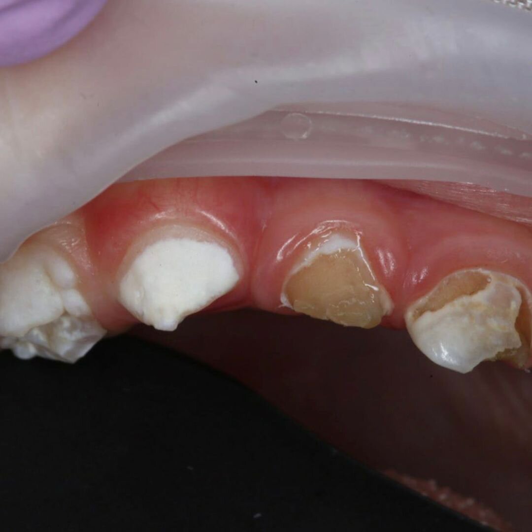
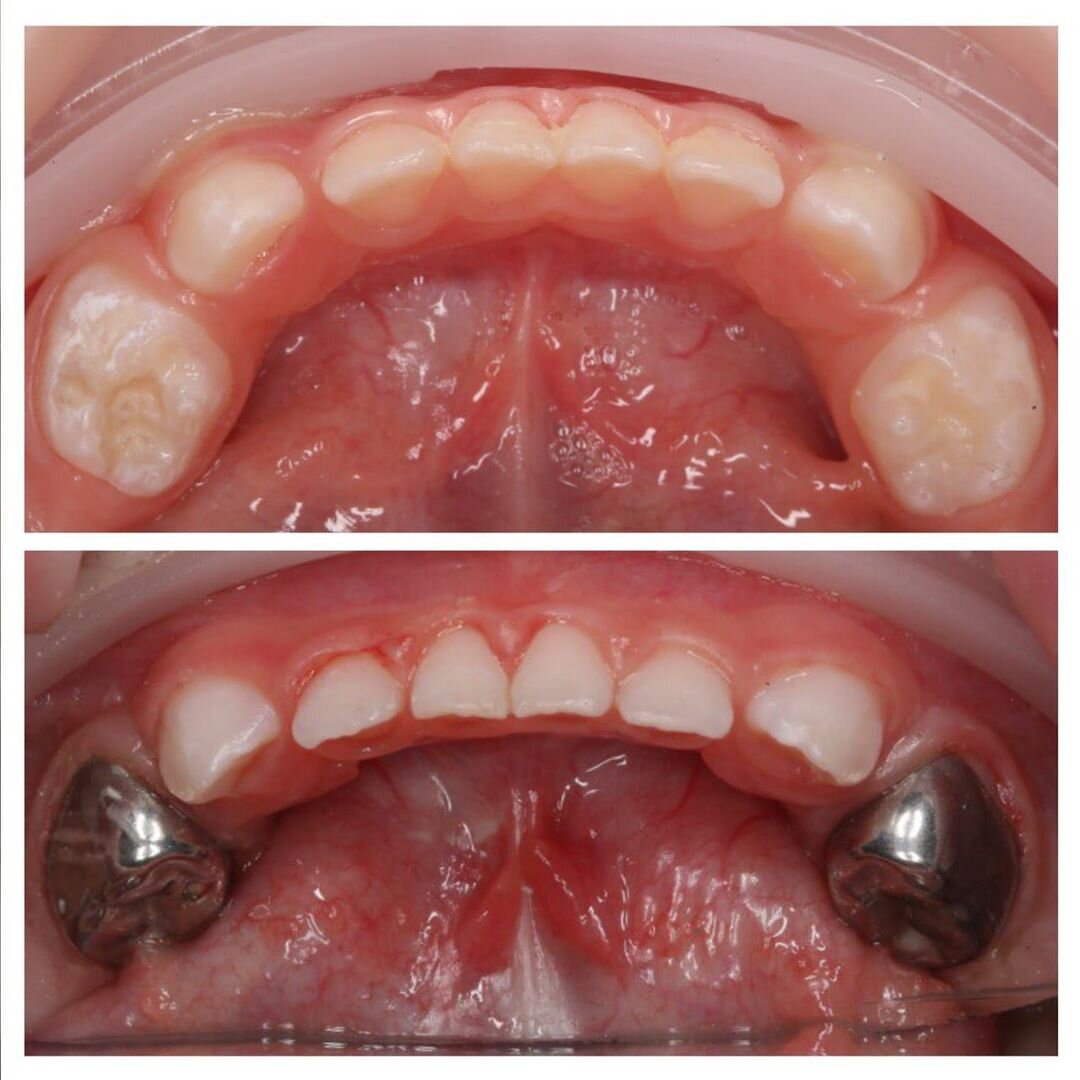
Самый агрессивный кариес встречается у самых маленьких детей. Их зубки прорезались совсем недавно и совершенно беззащитные. Маленькому пациенту всего 1,7 года. Лечение было очень сложным, но детский стоматолог Мария Штельмах справилась блестяще! В чем трудность? ✔️В силу возраста у малыша нет ни одного полностью сформированного зуба. ✔️Разрушались они стремительно, т.к. ребенок на ГВ (ПО НОЧАМ!) и зубы ему практически не чистили. ✔️На всех «четверках» циркулярный (или круговой) кариес — разрушение начинается сразу на нескольких зубах. Циркулярный кариес поражает шейки зубов и молниеносно уходит вглубь. Возникает на месте пороков развития молочных зубов или системном поражении постоянных. Так как развивается он очень быстро и часто на не полностью сформированных молочных зубках, то гибель пульпы и возникновение периодонтита протекает бессимптомно. Если вовремя не обратиться к стоматологу, начнется резорбция (рассасывание) корней. ✔️Лечили, естественно, под наркозом. ✔️Восстановили

Самый агрессивный кариес встречается у самых маленьких детей.

Их зубки прорезались совсем недавно и совершенно беззащитные.

Маленькому пациенту всего 1,7 года.

Лечение было очень сложным, но детский стоматолог Мария Штельмах справилась блестяще!

В чем трудность?

✔️В силу возраста у малыша нет ни одного полностью сформированного зуба.

✔️Разрушались они стремительно, т.к. ребенок на ГВ (ПО НОЧАМ!) и зубы ему практически не чистили.

✔️На всех «четверках» циркулярный (или круговой) кариес — разрушение начинается сразу на нескольких зубах.

Циркулярный кариес поражает шейки зубов и молниеносно уходит вглубь.

Возникает на месте пороков развития молочных зубов или системном поражении постоянных.

Так как развивается он очень быстро и часто на не полностью сформированных молочных зубках, то гибель пульпы и возникновение периодонтита протекает бессимптомно.

Если вовремя не обратиться к стоматологу, начнется резорбция (рассасывание) корней.

-2

✔️Лечили, естественно, под наркозом.

✔️Восстановили резцы пломбировочным материалом;

✔️«Четверки» пролечены и закрыты металлическими коронками.

Напоминаю про чистку зубов малышам.

✔️Пока первый зубик только прорезывается, пользуйтесь силиконовым напальчником (любой фирмы).

Им можно почесать десну и облегчить зуд, а также малыш начнет привыкать, что родители чем-то елозят у него во рту.

✔️Когда зуб прорежется полностью, начинайте чистить его зубной щеткой с пастой.

Средства должны быть ДЕТСКИЕ.

Поначалу ребенок может сопротивляться и плакать.

Вам будет казаться, что все очень сложно, и вы мучаете малыша.

❗НО ЭТО НЕ ТАК!

Не сдавайтесь, не грызите себя и не ленитесь.

Помните, что ежедневная чистка может стать залогом здоровья зубов малыша.

А примеров пораженных и несвоевременно удаленных зубов в моем блоге и так хватает.

ИМЕЮТСЯ ПРОТИВОПОКАЗАНИЯ. НЕОБХОДИМА КОНСУЛЬТАЦИЯ СПЕЦИАЛИСТА.

-3