Найти в Дзене

Почему у передних зубов волнистые края?

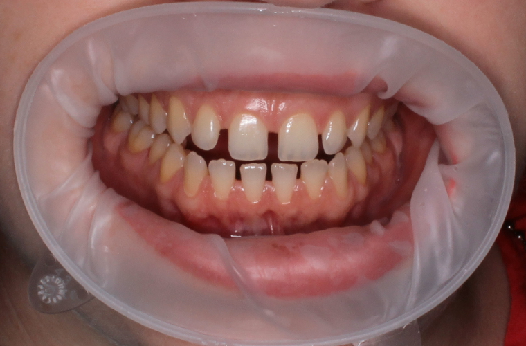
Наличие волнистого края у передних резцов считается одним из вариантов нормального анатомического строения зубов. В процессе взросления человека волнистость под действием жевательных нагрузок постепенно стирается и края становятся ровными. При наличии неправильного прикуса волнистые края могут оставаться неизменными на протяжение всей жизни человека. Почему у зубов могут быть волнистые края? У каждого человека при #прорезывании постоянных резцов на их поверхности имеются три бугорка. По-научному эти бугорки называются #мамелонами и являются абсолютной нормой. Степень выраженности мамелонов у разных людей отличается, поэтому у одних #волнистые края очень заметные, а у других — визуально ровные и гладкие. Мамелоны появляются еще во время формирования постоянных резцов. В построении передней стенки зуба участвуют три разные группы клеток. В процессе роста каждая из них образует #валик дентина, покрытый эмалью. Валики плотно сливаются друг с другом, но в зоне их соединения остаются углуб
Оглавление

Наличие волнистого края у передних резцов считается одним из вариантов нормального анатомического строения зубов. В процессе взросления человека волнистость под действием жевательных нагрузок постепенно стирается и края становятся ровными. При наличии неправильного прикуса волнистые края могут оставаться неизменными на протяжение всей жизни человека.

Эти три эти бугорка на поверхности зуба называются мамелонами и являются абсолютной нормой
Эти три эти бугорка на поверхности зуба называются мамелонами и являются абсолютной нормой

Почему у зубов могут быть волнистые края?

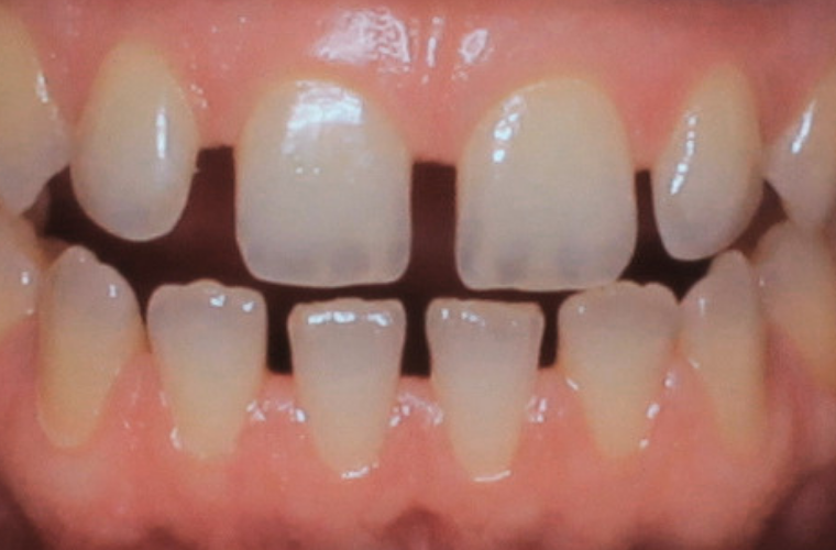
У каждого человека при #прорезывании постоянных резцов на их поверхности имеются три бугорка. По-научному эти бугорки называются #мамелонами и являются абсолютной нормой. Степень выраженности мамелонов у разных людей отличается, поэтому у одних #волнистые края очень заметные, а у других — визуально ровные и гладкие.

Мамелоны появляются еще во время формирования постоянных резцов. В построении передней стенки зуба участвуют три разные группы клеток. В процессе роста каждая из них образует #валик дентина, покрытый эмалью. Валики плотно сливаются друг с другом, но в зоне их соединения остаются углубления. Иногда эти углубления достаточно заметные, что и создает волнистый вид у режущего края зубов.

Мамелоны появляются еще во время формирования постоянных резцов.Иногда эти углубления достаточно заметные, что и создает волнистый вид у режущего края зубов.
Мамелоны появляются еще во время формирования постоянных резцов.Иногда эти углубления достаточно заметные, что и создает волнистый вид у режущего края зубов.

Считается, что с точки зрения эволюции мамелоны предназначены для того, чтобы облегчить прорезывание #зуба. Также они улучшают процесс захвата и откусывания пищи. Выступающие бугорки тонкие и обычно #стираются к взрослому возрасту. Однако в случае с неправильным прикусом, когда #жевательная нагрузка распределена неправильно, края зубов не стачиваются и остаются волнистыми.

Что может предложить современная стоматология для решения проблемы?

Волнистые края зубов не являются патологией или симптомом серьезного заболевания. Однако некоторые люди считают волнистые края у зубов серьезным #эстетическим дефектом. В таких случаях лучше всего обратиться к стоматологу, который сможет аккуратно и без вреда для здоровья сделать шлифовку зубного края или исправит это при помощи микропротезов, например #виниров, коронок или люминиров.

Особенности шлифовки зубного края:

  • пришлифовка не затрагивает глубокие ткани и проводится в пределах не более 1 мм эмали
  • на обработанных поверхностях риск возникновения кариеса не повышается
  • чувствительность зубов также не меняется при правильном выполнении манипуляции

Часто коррекция волнистых краев входит в комплекс #исправления прикуса и проводится ортодонтами. Вмешательство не сопровождается какими-либо болезненными ощущениями и занимает немного времени. Процедура позволяет существенно усовершенствовать эстетику улыбки и в дальнейшем избежать неравномерного стачивания зубов.

Наш официальный сайт: https://dentalux-m.ru