Найти в Дзене

Пять возможных проблем после установки коронки и варианты их устранения

Установка коронок – это один из методов, позволяющий пациентам дарить здоровую и ослепительную #улыбку окружающему миру. Но не всегда данная процедура заканчивается хорошо. Иногда пациентам приходится столкнуться с неприятными ощущениями сразу после установки #коронки или через определенный промежуток времени. Некоторые симптомы являются естественной реакцией организма. Но бывают случаи, когда пациенту стоит срочно вернуться в кабинет стоматолога и устранить #неприятные ощущения. О главных #проблемах, способных возникнуть с появлением протеза, мы расскажем вам этой статье. Проблема №1. Дискомфорт Стоматолог часто слышит от пациента фразу: «Мне некомфортно» сразу после установки коронки. Эти слова человек произносит после пломбирования зуба или установки протяженного протеза. Если стоматолог утверждает, что это нормально, не стоит обвинять его в грубости. Во рту появляется инородное тело. Дискомфортные ощущения естественны. К пломбе и коронке организм человека «привыкает» за несколько
Оглавление

Установка коронок – это один из методов, позволяющий пациентам дарить здоровую и ослепительную #улыбку окружающему миру. Но не всегда данная процедура заканчивается хорошо.

Иногда пациентам приходится столкнуться с неприятными ощущениями сразу после установки #коронки или через определенный промежуток времени. Некоторые симптомы являются естественной реакцией организма. Но бывают случаи, когда пациенту стоит срочно вернуться в кабинет стоматолога и устранить #неприятные ощущения.

О главных #проблемах, способных возникнуть с появлением протеза, мы расскажем вам этой статье.

Проблема №1. Дискомфорт

Стоматолог часто слышит от пациента фразу: «Мне некомфортно» сразу после установки коронки. Эти слова человек произносит после пломбирования зуба или установки протяженного протеза.

Если стоматолог утверждает, что это нормально, не стоит обвинять его в грубости. Во рту появляется инородное тело. Дискомфортные ощущения естественны. К пломбе и коронке организм человека «привыкает» за несколько дней.

Когда #дискомфорт длится дольше недели, челюсть полностью не смыкается или есть серьезные проблемы с застреванием пищи, то визит к стоматологу неминуем. Специалист «подгонит» коронку по размеру или заменит ее новым изделием, которое лучше подходит пациенту.

Проблема №2. Боль

После #протезирования зуб «благодарит» болезненными ощущениями. Как бы грустно не звучало, но эта ситуация абсолютно нормальна. Может болеть травмированная слепками и установкой коронки десна или сам зуб.

Когда стоит показаться стоматологу?

  • Болезненные ощущения сохраняются дольше 4 дней. Стоматолог делает рентген и выясняет причину неприятных ощущений. Может потребоваться удаление нерва или повторное лечение корневых каналов.
  • Внезапное появление болезненных ощущений через время после лечения. Опять-таки, стоматолог предлагает вариант лечения после рентгена.
  • Острая боль #при надкусывании через время после протезирования. Причиной может быть трещина корня зуба после травмы или в результате повышенной нагрузки. Данная ситуация нечастая и сложная. Если она возникла, то решение непростое. Стоматологу приходится удалить зуб вместе с коронкой. Потом нужно поставить протез или #имплант.

В общем, болевые ощущения стоит потерпеть всего 3-5 дней после процедуры. Если ситуация не улучшается, обратитесь к специалисту.

Острая боль при надкусывании через время после протезирования-сигнал для повторного визита к специалисту
Острая боль при надкусывании через время после протезирования-сигнал для повторного визита к специалисту

Проблема №3. Чувствительность к температуре

Если до лечения ваш зуб нормально реагировал на контакт с холодными или горячими блюдами и напитками, то, возможно, коронка не полностью прилегает к пришеечной части зуба. Объясню данный сложный процесс подробнее.

Готовясь к протезированию, стоматолог стачивает слой эмали, обнажая дентин – внутреннюю ткань, что окружает нервно-сосудистый пучок вашего зуба. Если протез покрывает зуб не полностью, то дентин остается «безоружным». Ткань не находится под защитой, поэтому болезненно реагирует, сталкиваясь с внешними раздражителями. В моей практике были случаи, когда пациент жаловался на невыносимую #зубную боль, которую ему приходилось испытывать во время короткого похода в магазин зимним утром. Дентин болезненно реагировал даже при вдыхании воздуха.

Конечно, ситуацию нельзя оставлять без реакции, иначе привычная жизнедеятельность станет настоящим мучением. Есть два варианта действий: использование специальных зубных паст с учетом данной ситуации или повторный визит к специалисту. Мы, стоматологи, покрываем дентин специальным защитным материалом. Потом ткань не выдает болезненную реакцию.

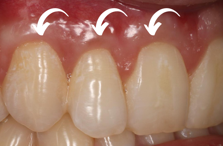
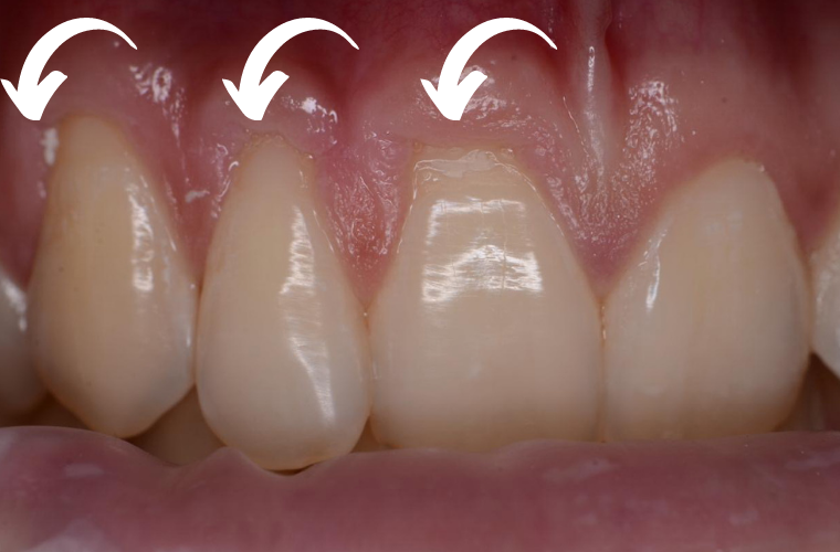
Кстати, есть еще одно обстоятельство – #рецессия десны. Так называем процесс убывания десны, при котором шейка и корень зуба обнажаются. У этих частей нет эмали, и реакция на серьезные раздражители является болезненной.

Проблема №4. Скалывание фрагмента фарфоровой облицовки

Проблема эстетическая и неприятная. Обычно скол маленький и почти незаметный. Стоматолог может исправить ситуацию, даже не снимая протез. После реставрации пациент будет наслаждаться привычными блюдами и показывать окружающим белоснежную улыбку.

Как выбрать оптимальный материал для производства коронки?

  • Если нужно установить коронку на передние зубы, я обычно рекомендую керамику E-max. Данный материал отличается прочностью, эстетичностью и надежностью. В этом случае откол облицовки тоже возможен, но данная ситуация скорее будет единичным исключением.
  • Для жевательных зубов лучше выбрать коронки из циркония. Данный материал более прочен, чем керамика E-max. От фарфоровой облицовки лучше оказаться.
  • Металлокерамические коронки тоже могут сколоться, но не сказать, чтобы часто. Но выглядит данный вариант не так презентабельно, как керамический или циркониевый протез.

Проблема №5. Синяя десна

Данная проблема страшно звучит. Но она типична для тех случаев, когда пациент выбирает металлокерамическую коронку. Получает, что десна окрашивается из-за края каркаса.

Ситуация неприятна, если под коронкой прячется передний зуб, который хорошо видно во время улыбки. Чтобы исправить проблему, пациенту стоит заменить протез.

Можно выбрать металлокерамическую коронку со специальной керамической прокладкой, называемой «плечевой массой». Еще один вариант – безметалловый протез, который изготовлен с диоксидом циркония или E-max керамикой в основе.

Выше перечислены пять основных проблем, с которыми сталкиваются новые обладатели зубных коронок. Но напоминаю: если зуб болит или вызывает дискомфорт через несколько дней после установки протеза, не стоит надеяться на «само пройдет». Лучше покажитесь специалисту, чтобы он подобрал вариант исправления ситуации.

Если болит зуб, дискомфорт или какой-то из описанных в данной статье симптомов имеет место - лучше покажитесь специалисту, чтобы он подобрал вариант исправления ситуации. На фото  рецессия десны
Если болит зуб, дискомфорт или какой-то из описанных в данной статье симптомов имеет место - лучше покажитесь специалисту, чтобы он подобрал вариант исправления ситуации. На фото рецессия десны

Я всегда напоминаю пациентам: лучше перестраховаться и прийти за профильной консультацией к стоматологу, чем отменить визит и потом серьезно пожалеть об этом!

Наш официальный сайт: https://dentalux-m.ru