Добавить в корзинуПозвонить
Найти в Дзене
Сергей Страхов

Пневмония или как не пропустить удар, когда вирусы не при чем

Один из самых страшных недугов человечества и сегодня по поддаётся полному устранению
Привет читатель. Последнее время можно все чаще слышать о таком страшном недуге, как пневмония. В этой статье дам общую информацию и опишу свой опыт встречи с представителями микромира, которые успешно преодолевали все защитные барьеры перед легкими.
Впервые симптомы болезни легких описал Гиппократ в далеком 460
Один из самых страшных недугов человечества и сегодня по поддаётся полному устранению
Один из самых страшных недугов человечества и сегодня по поддаётся полному устранению

Привет читатель. Последнее время можно все чаще слышать о таком страшном недуге, как пневмония. В этой статье дам общую информацию и опишу свой опыт встречи с представителями микромира, которые успешно преодолевали все защитные барьеры перед легкими.

Впервые симптомы болезни легких описал Гиппократ в далеком 460 году до н.э. Думаю, что сам период существования этой болезни намного больше, чем эти 2500 тыс. лет, что научный мир людей старается победить эту страшную проблему.

Все дело в том, что инфекции, ее вызывающие, частью - вирусного, а частью - бактериологического происхождения живут на Земле много большее время, чем любой макро организм, включая Homo sapiens. И некоторые из них уже совсем давно научились паразитировать на человеке, что последнему совсем не на пользу, а в ряде случаев в вовсе грозит гибелью.

Наши недавние знакомые из микромира исторически влияли на численность тех, кто шел по пути к совершенству
Наши недавние знакомые из микромира исторически влияли на численность тех, кто шел по пути к совершенству

Давайте сразу разделим эти две группы возбудителей. Одна группа - вирусы, и здесь есть несколько типичных и не очень их представителей. Перечислять не станем, зачем же пугать лишний раз обывателя, которого и без этого немало напугали одним лишь единственным представителем.

Ну а возбудителей из второй группы просто не перечислить. Их - огромное множество видов, объединяющихся в стройные группы, среди которых можно выделить наиболее известные нам стафилококки, стрептококки, пневмококки.

В первом случае, пневмония называется вирусной, во втором - инфекционной. Какая хуже - разобраться сложно, обе формы - не подарок, но само течение инфицирования - разные. С вирусами все проходит более длительно, этапно, перетекает из одних форм заболевания в более серьезные и, чаще всего, хорошо прогнозируются.

А вот во втором, все может случится внезапно, за пару суток и буквально каждый день без адекватного лечения будет «в разы» увеличивать шансы на негативный исход. Бывает, кстати, и третий вариант - смешанный, но о нем и думать не хочется.

Как «поймать» инфекцию? Чаще всего - вдохнуть ее. Далее все будет зависит от воли случая. Варианты:

  • бактерия могла «осесть» на слизистой горло-носа
  • могла «залипнуть» в трахее
  • каким-то чудом минуть все и попасть сразу в бронхи
  • теоретически, есть вероятность попадания сразу в легкое, но очень маленькая

В первых двух вариантах, инфицированный скорее всего начнёт быстро ощущать недомогание, признаки ОРЗ, начнёт активно поить себя горячим чаем с лимоном, иногда зачем то выпьем сто грамм с молотым перцем, ну а затем пойдёт к врачу, где ему пропишут отхаркивающее средство. С большой вероятностью, через 7-10 дней проблема будет решена за счёт иммунной системы человека в сочетании с простыми средствами фармацевтики.

С бронхитом - сложнее, особенно, если есть стресс-факторы, например, курение или хронический бронхит, который обостряется от любого переохлаждения. Инфекция отсюда имеет прямой выход к альвеолам легких, а это место, где их воздуха поглощается кислород, так необходимый нам.

Чем больше альвеол (частичек) легких поражено, тем меньше площадь обработки воздуха, тем меньше кислорода в крови, тем более выражен стресс и общий ущерб организму. Инфекцию нужно остановить немедленно, иначе сил на восстановление может не хватить. Очень актуально становится применение АБТ, или антибиотиков, если по простому.

Теоретически, можно быстро сходить к врачу и провести все анализы, но ведь: работа, куча дел, планы, поездки. Как понять, что все серьезно?

Несколько важных маркеров:

  • резкий скачок температуры до 38 и выше
  • пропал голос (не певческий, а свой)
  • слабость и отсутствие аппетита
  • зелёная мокрота сразу, без «раскачки»

Есть и другие. И вообще, при любых недомоганиях нужно «лететь» к врачу, но эти несколько пунктов - серьезное предупреждение о больших проблемах. При инфекционном поражении бронхов и легких, отсчёт времени адекватной реакции измеряется даже не днями, иногда - часами.

Адекватной реакцией является применение антибиотика широкого спектра действия, чаще всего, - это амоксициллиновая группа, но не факт. Даже с ними остаётся большая вероятность «не попасть», поэтому лучшим вариантом остаётся анализ мокроты и «тонкий» подбор лекарства. Если, конечно, на это есть время. Есть и другой риск.

Когда то инфекционную пневмонию лечили пенициллином и другими препаратам его группы. Но, представьте себе, эти микро бактерии, без мозга и тела, научились сопротивляться пенициллину. А прошло то всего около 100 лет его массового применения. Сегодня примерно 50% бактерий-возбудителей пневмонии сохраняют устойчивость к пенециллину.

Вероятнее всего, то же самое случится и с другими группами антибиотиков, просто ещё не настало время. Этой борьбе микро и макро мира нет конца.

Бывают случаи, когда все, что мы знаем, - не работает
Бывают случаи, когда все, что мы знаем, - не работает

Ну что ж, о самом явлении - достаточно. Расскажу о недавнем, весьма странном для меня опыте.

Обычное начало истории: - заболела жена, ОРЗ, сухой кашель, насморк, голос, отрицательный тест. История вполне рядовая, но длительность ОРЗ оказалось приличной, - почти две недели, без особой положительной динамики. Только голос вернулся.

Я все две недели спокойно работал, не брало совсем, хотя никаких мер предосторожности дома не реализовывалось. Сами понимаете, это почти не реально.

Неожиданно для меня наступила ночь, когда я почувствовал тяжесть в горле. Странность была в том, что ни кашля, ни насморка, ни боли в горле, ни температуры не было.

Вообще впервые такое, - ты начинаешь терять голос, а признаков классического ОРЗ нет.

Я даже вполне нормально провёл следующий день, если не считать все более изменяющийся голос. Я «списывал» это на хороший иммунитет, который по моему мнению уже выполнял свою защитную работу. В эту мысль не вписывалось только отсутствие температуры, которая и есть основной признак работы иммунной системы. Но тот факт, что у супруги также отсутствовала температура на протяжении всех двух недель - успокаивал. До этого момента было все - «как у неё» и особых беспокойств не вызывало.

Но к вечеру - началось все самое «интересное». Появилась мокрота, при чем без кашля, выходящая сама по себе, и сразу - светло-зелёного цвета, что заставило сильно задуматься. Поскольку дело шло в ночь, решил, что «утро вечера мудренее», но уже среди ночи шансы на благополучный исход растаяли. Несколько подъемов из за «булькающего» дыхания и походов к умывальнику не оставили вариантов, - инфекция развивается глубоко в дыхательной системе.

Такого объема мокроты я ещё не встречал на своём опыте. Без кашля, свободно вытекающая, уже темно зелёного цвета, - она явственно говорила, что проблемы - большие.

Раньше я уже не раз сталкивался с острым бронхитом, поэтому всегда держал в запасе антибиотик широкого спектра действия и к моменту обострения моей новой, не похожей ни на что, истории, - он у меня был в некотором количестве.

Хотя, конечно, так не делают, но из за огромной скорости развития симптомов, я решил начать приём препарата самостоятельно до прихода врача. Около пяти утра выпил стартовую большущую дозу - 1000 мг. и снова постарался заснуть.

На утро, через пару часов, объём мокроты снизился десятикратно и ее цвет сильно посветлел. Стало понятно, что с антибиотиком я «попал в цель». При этом, появился, теперь уже сухой кашель и температура - выше 38. Как будто то, что хотело долгое время оставаться незаметным, теперь было раскрыто и приобрело очень знакомые черты. На тот момент, все напоминало острый бронхит и я был уверен, что это скорее всего так и есть.

Вызвал врача, написал на работу, надел маску, проверил дыхание и другие параметры, - в норме почти все, если не считать достаточно высокой температуры. Думал о том, как же оправдаться за самостоятельное решение об АБТ. Хотел рассказать про хронический бронхит и попросить выписать антибиотик «на будущее».

Врач пришла во второй половине дня, к тому моменту никакой динамики не было. Рассказал все, как «на духу», она меня послушала и одобрила мое решение о применении антибиотика и прописала его курс в усиленной дозе. Дыхание плавало, назначила флюорограмму и тест на известный вирусный возбудитель. На следующий день сдал и то, и другое.

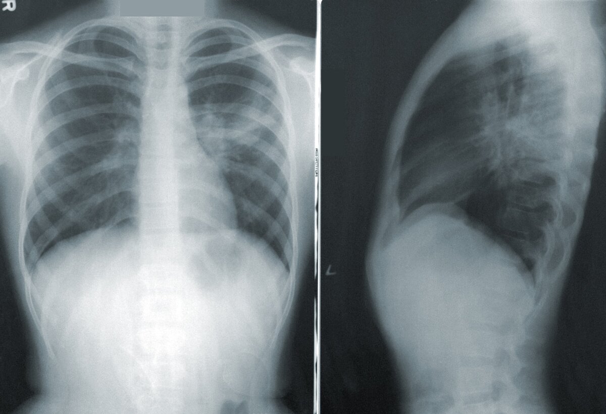
Через пару дней звонок и сообщение: «У вас двусторонняя полисегментарная пневмония ранней стадии. Мы привезём вам лекарства».

Тест оказался отрицательным и картина почти полностью прояснилась: инфекция в бронхах и гортани развивалась очень быстро и буквально за часы успела проникнуть в легкие. Если бы не АБТ, которую я предпринял ранним утром, за полдня масштабы инфицирования стали бы огромными. Не исключено, что сейчас стадия пневмонии была бы более угрожающей.

Если вы когда нибудь наблюдали, как быстро распространяются отряды бактерий, вы сможете представить, что именно происходит внутри вас
Если вы когда нибудь наблюдали, как быстро распространяются отряды бактерий, вы сможете представить, что именно происходит внутри вас

Лечусь уже пятый день. Ситуация как будто «замерла», почти ничего не меняется: - мокрота исчезла совсем, кашель стал сухим и непродуктивным, температура снизилась до нормальных пределов. Повторная флюорограмма - через 10 дней. Лечение легкой стадии пневмонии, в зависимости от возбудителя - от 7 и до 14 дней.

Раз в сорок лет бывают такие истории, я на себе это понял. Будьте внимательны к себе, иногда излишнее беспокойство отделит реальность от сурового прогноза, а вам позволит предупредить очень тяжелое развитие событий, которые случаются внезапно.

Мои рекомендации:

  • читайте больше о частых формах заболеваний человека, это поможет вам быть «на чеку»
  • доверяйте врачам, нам почти не на кого больше положиться
  • имейте всегда «свежую» аптечку с обязательным присутствием самых нужных препаратов
  • учитесь оказанию первой помощи, сегодня есть много видео на эту тему
  • устраните «народное мышление», оно способно поставить человека на грань
  • не игнорируйте «голоса» вашего организма, у него нет другого слушателя, кроме вас

Будьте здоровы,

Сергей Страхов