Найти в Дзене
Юлия Селютина

Могут ли зубы прорезаться "плохими"?

Заглядывайте в ротик ребенку почаще!
Делюсь очередным случаем из практики.
Пациент совсем еще малыш, ему 2 года.
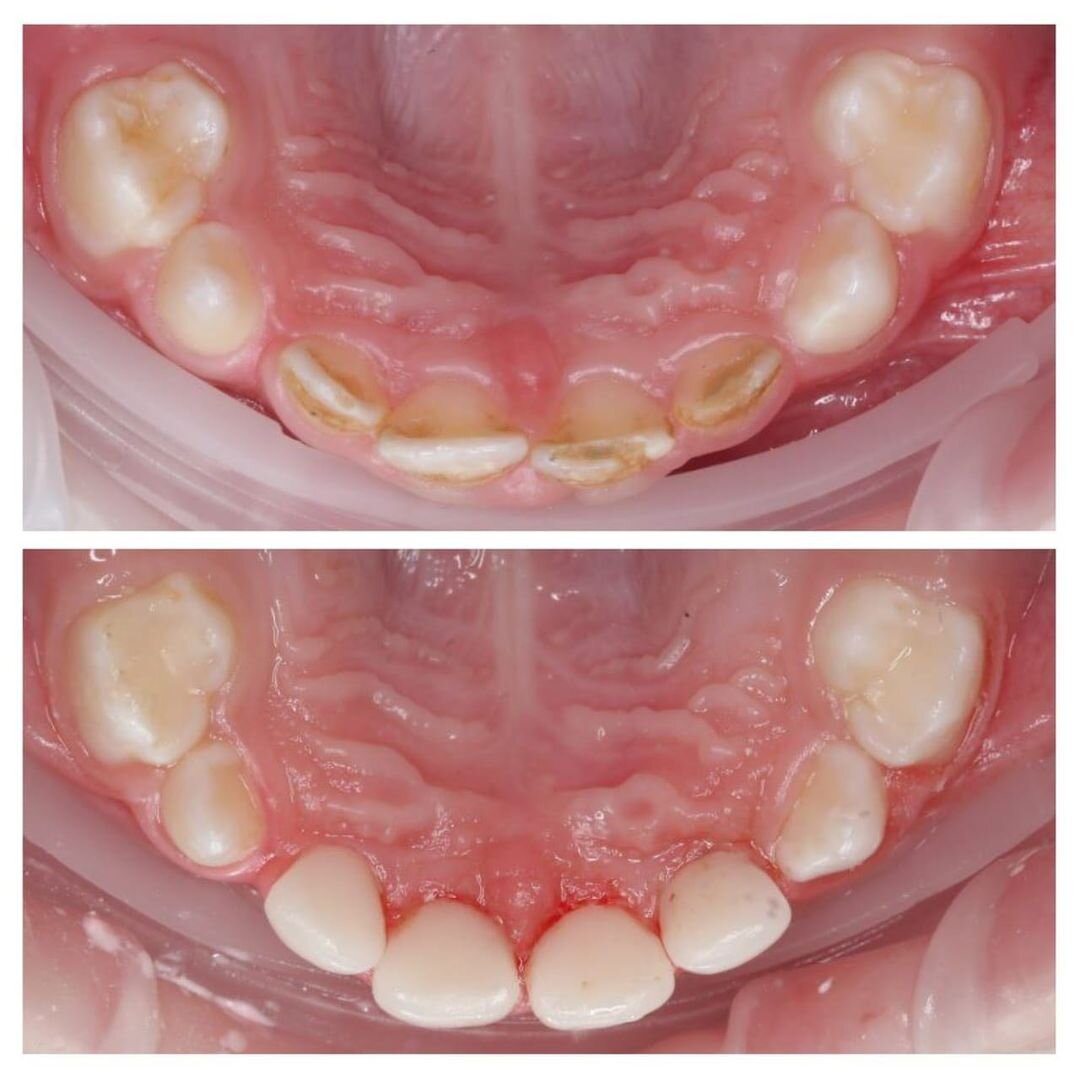
Со слов мамы, четыре верхних резца сразу прорезались с дырочками.

Заглядывайте в ротик ребенку почаще!

Делюсь очередным случаем из практики.

Пациент совсем еще малыш, ему 2 года.

Со слов мамы, четыре верхних резца сразу прорезались с дырочками.

Это называется гипоплазия эмали.

И, к сожалению, к ней присоединился кариес.

ДОПОЛНИТЕЛЬНЫМИ факторами такого агрессивного кариеса стали ночные кормления и недостаточно тщательная домашняя гигиена.

До 1,6 года ПО НОЧАМ было ГВ, затем перешли на молочко и компот.

Малыш не давал хорошо почистить ему зубки: один родитель держал, другой — чистил.

Сами понимаете, когда ребенок сопротивляется, качественной чистки не получится.

При этом, зубки начали чистить с пастой с появления самого первого.

На ночь мазали гелем Tooth Mousse.

Пару раз делали фторирование у стоматолога.

Теперь видите, насколько агрессивным может быть кариес раннего детского возраста?

Не спешите грешить на родителей, что не чистят, не ухаживают за зубками детей.

Всё не так просто.

Работу проводила детский стоматолог Мария Штельмах.

• Все манипуляции делали под наркозом — это заняло 2 часа;

• Вылечено 4 кариеса на передних зубках;

• Загерметизировали 4 жевательных зуба;

• Провели гигиену полости рта.

✔️Гипоплазия — это недоразвитие (порок) эмали зубов, возникающее ДО их прорезывания.

Всегда обращайте внимание при появлении новых зубов у ребенка — это очень важно при постановке диагноза и методах лечения.

Любые пятна, полоски, углубления должны вас насторожить.

ИМЕЮТСЯ ПРОТИВОПОКАЗАНИЯ. НЕОБХОДИМА КОНСУЛЬТАЦИЯ СПЕЦИАЛИСТА.

-2