Найти в Дзене
Yellmed.ru

Цирконий или металлокерамика? Что выбрать, объясняет ортопед круглосуточной стоматологии «УстаДент»

Установка коронок – классический метод восстановления зубов. Это эстетично, надежно и функционально. Зачастую пациентам предстоит выбрать, какую коронку ставить на зуб – циркониевую или металлокерамическую. О плюсах и минусах обоих видов коронок, когда показано применение того или иного материала, насколько существенна разница в долговечности и цене, порталу Yellmed рассказал стоматолог-ортопед клиники «УстаДент» Карим Паркуев. – Карим Саладинович, в чем заключаются основные отличия циркониевых коронок от металлокерамических? – Зубные протезы из металлокерамики состоят из металлического каркаса и керамической облицовки. Керамическую масса наносят послойно на металлический каркас и обжигают в печи при высоких температурах. Обычно для изготовления основы используют никель-хромовые или кобальт-хромовые сплавы. Для производства циркониевых протезов используется диосксид циркония – сложное соединение металла с кислородом. В процессе химической реакции образуются бесцветные кристаллы, отлича

Установка коронок – классический метод восстановления зубов. Это эстетично, надежно и функционально. Зачастую пациентам предстоит выбрать, какую коронку ставить на зуб – циркониевую или металлокерамическую.

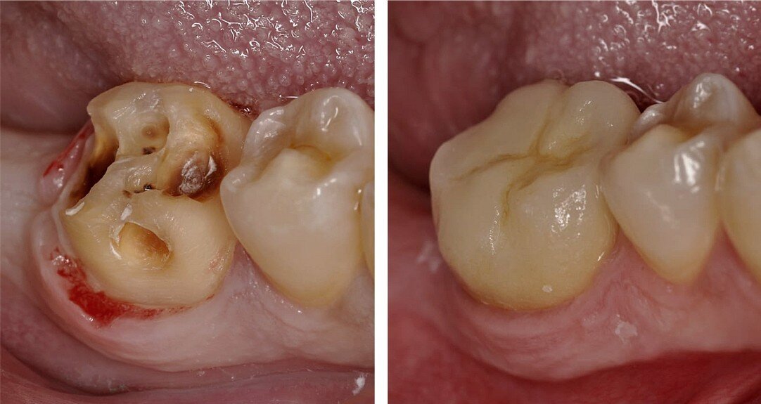
Фото: «УстаДент»
Фото: «УстаДент»

О плюсах и минусах обоих видов коронок, когда показано применение того или иного материала, насколько существенна разница в долговечности и цене, порталу Yellmed рассказал стоматолог-ортопед клиники «УстаДент» Карим Паркуев.

– Карим Саладинович, в чем заключаются основные отличия циркониевых коронок от металлокерамических?

– Зубные протезы из металлокерамики состоят из металлического каркаса и керамической облицовки. Керамическую масса наносят послойно на металлический каркас и обжигают в печи при высоких температурах. Обычно для изготовления основы используют никель-хромовые или кобальт-хромовые сплавы.

Для производства циркониевых протезов используется диосксид циркония – сложное соединение металла с кислородом. В процессе химической реакции образуются бесцветные кристаллы, отличающиеся высокой прочностью и имеющие высокую температуру плавления. Коронки могут быть полностью сделаны из диоксида циркония или иметь только базис из этого материала.

Фото: «УстаДент»
Фото: «УстаДент»

– Каковы преимущества и недостатки циркониевого протезирования?

– Среди преимуществ циркониевых коронок:

  • легковесность готовых коронок, благодаря чему они отлично подходят для протезирования на имплантатах;
  • безупречная эстетика. Это позволяет использовать их для единичных реставраций в области передних зубов;
  • возможность установки пациентам, склонным к аллергическим реакциям;
  • отсутствие необходимости депульпирования опорных зубов;
  • при данном виде протезировании не нужно снимать значительный слой эмали с опорных зубов;
  • плотно прилегают к тканям полости рта. Это исключает проседание десны, обнажение зубного корня, воспаление мягких тканей ротовой полости;
  • не вызывают потемнения, воспаления и отека десны по краю коронки;
  • обладают антибактериальными свойствами – отталкивают микробы и бактерии;
  • установка не предусматривает глубокого погружения края коронки в десну, что помогает избежать ее травмирования.

Недостатков у циркониевых зубных коронок практически нет. Некоторые пациенты отказываются от них из-за высокой стоимости, но она вполне оправдана их высоким качеством, долговечностью, дороговизной самого материала и сложностью процесса изготовления.

– Расскажите о плюсах и минусах металлокерамических протезов.

– Металлокерамика – довольно популярный материал, обладающий массой преимуществ по сравнению с другими изделиями зубных протезов. К основным плюсам металлокерамики относятся высокая прочность, долговечность, повышенная функциональность, простота в установке, биологическая совместимость, а также доступная цена.

Фото: «УстаДент»
Фото: «УстаДент»

Что касается минусов металлокерамических коронок, то, во-первых, из-за металлического каркаса трудно добиться естественного вида зуба, во-вторых, для их установки нужна депульпация зуба из-за достаточного сошлифовывания его тканей. К тому же прочность такого протеза может привести к истиранию противоположного зубного ряда и появлению сколов на зубах. Кроме того, при использовании метода крепления без плечевой массы возможно появлений затемнения у десны.

– В каких случаях показана установка циркониевых коронок, а когда стоматолог рекомендует пациенту установить металлокерамику?

– Металлокерамические коронки предпочтительнее при установке мостовидных протезов с низкой высотой коронок, а также при протяженных дефектах. Установка циркониевых коронок рекомендована при наличии у пациента аллергии на металл, серьезном поражении дентина кариесом, несовершенстве форм зубов, потемнении десен в зоне прежних протезов, небольших микродефектах, замене устаревших или неправильно установленных протезов.

– Какие коронки лучше ставить на передние зубы, а какие лучше для протезирования жевательных зубов?

– Ввиду лучшего эстетического вида на передние зубы предпочтительней устанавливать циркониевые коронки с нанесением керамики, а на жевательные зубы – цельноциркониевые коронки, отличающиеся высокой прочностью.

Фото: «УстаДент»
Фото: «УстаДент»

– Как долго служат те и другие коронки?

– Современные металлокерамические колонки служат в среднем 10-12 лет. По истечении этого срока конструкцию нужно заменить. Это связано с тем, что цемент, на который она крепится, под воздействием слюны и других факторов со временем начинает разрушаться.

Если своевременно не заменить коронку, под колпачком и на его стыке с тканями зуба может развиться вторичный кариес.

Коронки из диоксида циркония по прочности сравнимы с металлом, минимальный срок их службы – 15 лет. При должном уходе они могут прослужить и дольше, особенно если установлены на качественные имплантаты либо прочные опорные зубы.

– Насколько существенны различия в цене циркониевых и металлокерамических коронок?

– Как только циркониевые коронки стали широко применяться в стоматологии, разница в цене по сравнению с металлокерамическими протезами была в три, а то и в четыре раза выше. Сегодня различия в стоимости между этими видами коронок весьма несущественная.