Найти в Дзене

Диагностика и лечение разрыва ПКС, TPLO у собак

Одна из частых обращений владельцев собак в ветеринарные клиники – хромота . Большинство случаев хромоты, со слов хозяев – травмы. Именно владелец оказывает неоценимую помощь ветеринарному врачу в установлении причины хромоты. А помогает в этом ответ владельцев на такие вопросы: предшествовала  ли хромоте травма, как давно протекает хромота, как влияет физическая нагрузка и отдых на выраженность
Оглавление

Одна из частых обращений владельцев собак в ветеринарные клиники – хромота . Большинство случаев хромоты, со слов хозяев – травмы. Именно владелец оказывает неоценимую помощь ветеринарному врачу в установлении причины хромоты. А помогает в этом ответ владельцев на такие вопросы: предшествовала  ли хромоте травма, как давно протекает хромота, как влияет физическая нагрузка и отдых на выраженность хромоты.

В случае возникновения хромоты владельцу необходимо показать животное ветеринарному специалисту для осмотра и проведения дополнительных исследований (в случае необходимости) как можно быстрее.

Одной из наиболее часто встречающихся патологий коленного сустава, которая неизбежно приводит к развитию остеоартрита и хромоте на заднюю конечность – разрыв передней крестовидной связки (ПКС) . Основная функция ПКС заключается в обеспечении стабильности коленного сустава. Эта связка обладает важными биомеханическими функциями: препятствует чрезмерному вращению и смещению большеберцовой кости вперед, а также предохраняет сустав от чрезмерного сгибания.

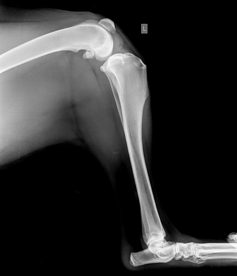
Разрыв ПКС у йоркширского терьера
Разрыв ПКС у йоркширского терьера

Какие причины разхрыва ПКС?

Основная причина разрыва ПКС – травма .

Факторы, предрасполагающие к разрыву передней крестообразной связки:

  • Лишний вес и особенности конституции собаки;
  • Избыток физической нагрузки после длительной гиподинамии;
  • Деформации в строении коленного сустава;
  • Нарушения в анатомии задней конечности;
  • Наследственный фактор.

Как проявляется разрыв передней крестовидной связки?

Основной симптом разрыва передней крестовидной связки – хромота и сильная боль сразу после получения травмы (резкого поворота, прыжка). При неполном разрыве питомец может на некоторое время перестать хромать, но через несколько дней хромота возвращается. Собака будет беречь лапу, поджимать, стараться не наступать или не переносить на нее вес.

Как диагностировать данное заболевание?

Диагноз ставится врачом при осмотре – на основании клинической картины и рентгеновских снимков. Исключаются другие патологии с похожими симптомами – медиальный или латеральный вывих коленной чашечки, дисплазия ТБС. Все эти патологии могут накладываться друг на друга. Например, запущенный медиальный вывих надколенника у мелких пород с возрастом может приводить к повреждению ПКС, но в любом случае необходимо их дифференцировать, чтобы правильно провести лечение.

Физикальные обследования включают:

  1. Компрессионый тест Хендерсона;
  2. Тест «переднего выдвижного ящика» (проба Ортолани) – визуально наблюдаемое смещение большеберцовой кости краниально относительно бедренной.

Инструментальные методы включают:

  1. Рентгенологическое исследование;
  2. УЗИ коленного сустава;
  3. Артроскопия ;
  4. Магнитно-резонансная томография (МРТ) .
 Разрыв ПКС у азиатской овчарки (хронический процесс), боковая проекция
Разрыв ПКС у азиатской овчарки (хронический процесс), боковая проекция
 Прямая проекция коленного сустава у алабая при хроническом течении разрыва ПКС
Прямая проекция коленного сустава у алабая при хроническом течении разрыва ПКС
 Боковая рентгенограмма при хроническом течении разрыва ПКС у алабая
Боковая рентгенограмма при хроническом течении разрыва ПКС у алабая

Какие методы лечения разрыва ПКС существуют?

Лечение данной патологии осуществляется как оперативным, так и консервативным методом. Физическую активность больным животным, подлежащих как хирургическому, так и консервативному лечению ограничивают. Длительность ограничения физической нагрузки зависит от метода лечения и динамики клинической картины. Контролируют массу тела животного с целью уменьшения нагрузки на коленный сустав. Нестероидные противоспалительные препараты и анальгетики, столь популярные в настоящее время, не рекомендуется использовать, так как, уменьшая воспалительные явления в суставе, они никак не влияют на вторичный остероартроз, более того, они могут усилить деструктивные процессы  из-за увеличения нагрузки на нестабильный сустав. Кроме того, эти средства негативно сказываются на пищеварительной системе собак. По той же причине противопоказано использование гормональных средств из-за побочных эффектов и поражения суставных хрящей при длительном применении.

Оперативное лечение имеет приоритет при лечении данной патологии. На сегодняшний день существует более 60 методов оперативного лечения разрыва ПКС у собак. В филиалах Ветеринарного центра доктора Базылевского А.А. используются следующие методы оперативного лечения:

Периартикулярная стабилизация коленного сустава по L. Brunnberg . Техника операции сводится к ревизии коленного сустава, удалению фрагментов ПКС, ревизии менисков (в 98% случаев к порциальной менискэктомии медиального мениска) и ушиванию капсулы коленного сустава «внахлест». В течение 2-3 месяцев за счет фиброза капсулы происходит стабилизация коленного сустава.

Латеральная переартикулярная стабилизация коленного сустава . Данная техника своим вторым рождением обязана появлению современных синтетических имплантатов обладающих высокой прочностью и эластичностью. Данная операция показана собакам мелких и средних пород с разрывом передней крестовидной связки, а так же собакам крупным пород при «слабо» выраженной хромоте на тазовую конечность.

TPLO (Tibial plateau leveling osteotomy ) – остеотомия, выравнивающая наклон плато большеберцовой кости.

TPLO (Tibial plateau leveling osteotomy) –  выравнивающая остеотомия плато большеберцовой кости считается золотым стандартом при разрыве передней крестообразной связки в течение почти двух десятилетий. TPLО наиболее часто выполняемая ортопедическая процедура для животных в истории.

 До операции
До операции
 После операции
После операции

В 1978 году д-р Barclay Slocum, американский ветеринарный врач, по-новому взглянул на механику собачьего колена. Его исследования показали, что при использовании задней конечности, все силы стопы передаются через большеберцовую кость. Поскольку плато большеберцовой кости  наклонная, часть этой силы будет передаваться по направлению вперед в момент переноса веса на лапу.  Эту силу он назвал «Выдвижной ящик», которую нейтрализует передняя крестообразная связка. При проведенных исследованиях выяснилось, что изменение угла наклона плато при помощи остеотомии, почти перпендикулярно механической оси голени может нейтрализовать эту силу и сделать переднюю крестообразную связку ненужной.

В 1993 году д-р Barclay Slocum запатентовал TPLO в Юджин, штат Орегон для своих пациентов, в надежде на более качественные и функциональные результаты при разрыве передней крестообразной связки. Хирурги в западной части Соединенных Штатов Америки видели послеоперационные результаты и репутация росла, становясь методом выбора во всем мире.

Методика заключается в радиальной остеотомии осцилирующей пилой. После поворота фрагмента большеберцовой кости до нужного угла его фиксируют компрессионной пластиной. После того, как кость зажила, пластина и винты не нужны, но они редко удаляются, если не существует связанных с ними проблем (раздражение, инфекции).

Какие этапы операции методом TPLO?

Предоперационное планирование:

  1. Измерение угла наклона плато большеберцовой кости;
  2. Расчет «ротационного» смещения для остеотомированного сегмента;
  3. Подбор соответствующего размера бирадиального пильного полотна;
  4. Подбор необходимого импланта.

Интраоперационные этапы при выполнении TPLO:

  1. Иедиальную артротомию;
  2. Ревизию сустава с иссечением поврежденной передней крестообразной связки + поврежденного мениска;
  3. Кшивание сустава;
  4. Радиальная остеотомия проксимального сегмента большеберцовой кости;
  5. Фиксация пластиной остеотомированного сегмента;
  6. Послойное ушивание мягких тканей.

Послеоперационный период:

  1. Противовоспалительная терапия;
  2. Антибактериальные препараты;
  3. Контроль массы тела;
  4. Дозированные нагрузки (регулярные умеренные физические нагрузки);
  5. Гидротерапия (плавание или водная беговая дорожка).

Сможет ли собака вести обычный образ жизни после операции?

Прогноз при разрыве передней крестовидной связки в целом зависит от своевременно проведенного лечения. Длительная нестабильность в коленном суставе приводит к развитию артроза и укоренению хромоты, особенно у крупных животных. Поэтому крайне важно вовремя диагностировать причину хромоты у ветеринарного хирурга-ортопеда и провести правильное лечение или операцию. Чем раньше проведено необходимое лечение, тем быстрее восстановится функция сустава.

 Рентгенограмма правого коленного сустава с признаками остеоартрита, дегенеративными изменениями в результате несвоевременного оперативного лечения разрыва ПКС
Рентгенограмма правого коленного сустава с признаками остеоартрита, дегенеративными изменениями в результате несвоевременного оперативного лечения разрыва ПКС

Как быстро проходит реабилитация после операции?

Операция, к сожалению, не единственное, что необходимо для выздоровления после разрыва передней крестообразной связки у собаки. Питомцу также необходим длительный уход. Минимальный срок восстановления при должном уходе и интенсивной физиотерапии – 8 недель. Если не проводить физиотерапевтические процедуры, сроки восстановления увеличиваются до полугода, могут наблюдаться остаточные осложнения и остаточная хромота даже при успешно проведенном хирургическом вмешательстве, так как при этой патологии очень быстро деградируют суставы и теряется мышечная масса.

Получить подробную консультацию по хирургическому лечению разрыва ПКС и реабилитации после хирургических операций можно по телефонам наших ветеринарных клиник в России и Беларуси.