Найти в Дзене
Обо всём на свете

Лечить или нет зубы ребенку в 4 г. ?

Совсем недавно столкнулась с такой проблемой, как лечение зубов у ребенка. На дальних зубах с низу и с верху у ребенка 4,5 года появились дырочки.На боль она не жаловалась, но что же делать лечить или нет ? Этот вопрос меня сильно беспокоил.Некоторые из моих знакомых говорили : " зачем сейчас лечить все равно выпадут,молочные же". Но я все таки решила повести ребенка к зубному. Мне кажется я

Совсем недавно столкнулась с такой проблемой, как лечение зубов у ребенка. На дальних зубах с низу и с верху у ребенка 4,5 года появились дырочки.На боль она не жаловалась, но что же делать лечить или нет ? Этот вопрос меня сильно беспокоил.Некоторые из моих знакомых говорили : " зачем сейчас лечить все равно выпадут,молочные же". Но я все таки решила повести ребенка к зубному. Мне кажется я боялась больше, чем ребенок. Врач осмотрев зубы сказала, что нужно обязательно лечить, пока не сгнило до нерва и сказала брать талон через интернет. Талон мы взяли, только на неделю вперед, я взяла сразу два на разные даты,так как лечить надо было 3 зуба. И вот этот день настал, ребенок немного боялся, я еще сильнее.За день до этого я читала ей книгу про больницу как звери ходят лечиться,что врачи помогают. Вообщем все прошло нормально, нам поставили пломбы сразу на два нижних зуба, она не дергалась,терпела только ей не понравилась сушилка,которая дула холодом. Потом мы вышли из кабинета, она сказала, что ей понравилось и было не больно. Я уж подумала второй зуб с легкостью вылечим. Но оказалось все по другому.На этот раз она уже не хотела терпеть, дергалась, ревела говорила что больно.Вообщем еле-еле вылечили. Нам сказали пользоваться пастой с большим процентом фтора. Еще посоветовали гель "тус мусс" для укрепления зубов. Ну и показаться снова через 3 месяца. Не знаю как мы пойдем снова туда, наверно не просто будет заманить. Но все равно нужно следить за зубами, посещать стоматолога и лечить, даже если дырочка маленькая, иначе потом будет больно лечить!

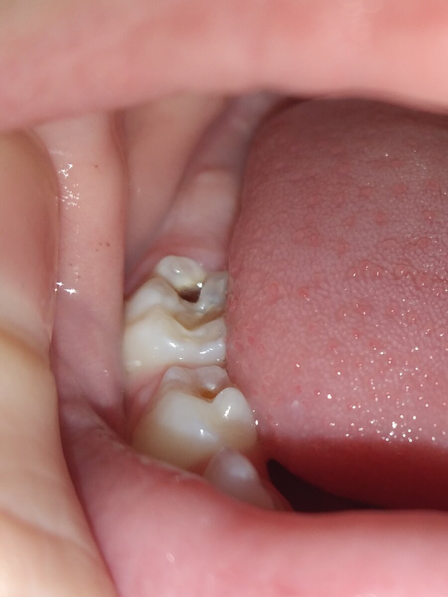
Личное фото. Даже маленькую дырочку на зубе надо лечить
Личное фото. Даже маленькую дырочку на зубе надо лечить