Найти в Дзене

Один день, который изменил все

Ещё совсем недавно я был обычным, ничем непримечательным парнем 20 лет с обычными увлечениями и обычными проблемами, свойственными для моего возраста. Учился в университете. Не сказать, что я был отличником учебы, но мозги у меня были всегда, поэтому особых проблем не было. С недавнего момента всерьёз взялся за учёбу, став отличником по некоторым предметам. В начале января купил машину, как давно

Ещё совсем недавно я был обычным, ничем непримечательным парнем 20 лет с обычными увлечениями и обычными проблемами, свойственными для моего возраста. Учился в университете. Не сказать, что я был отличником учебы, но мозги у меня были всегда, поэтому особых проблем не было. С недавнего момента всерьёз взялся за учёбу, став отличником по некоторым предметам. В начале января купил машину, как давно и хотел. Конечно, с такой покупкой помогли родители, но так как у меня была работа, то и я внёс свой вклад. Время от времени встречи с друзьями. Недавно завёл новые знакомства. Настроился работать ещё больше для того, чтобы реализовать все свои планы на лето, которых было не мало. Да и в целом строил долгосрочные планы на дальнейшую жизнь.Дела шли не просто хорошо, а великолепно.

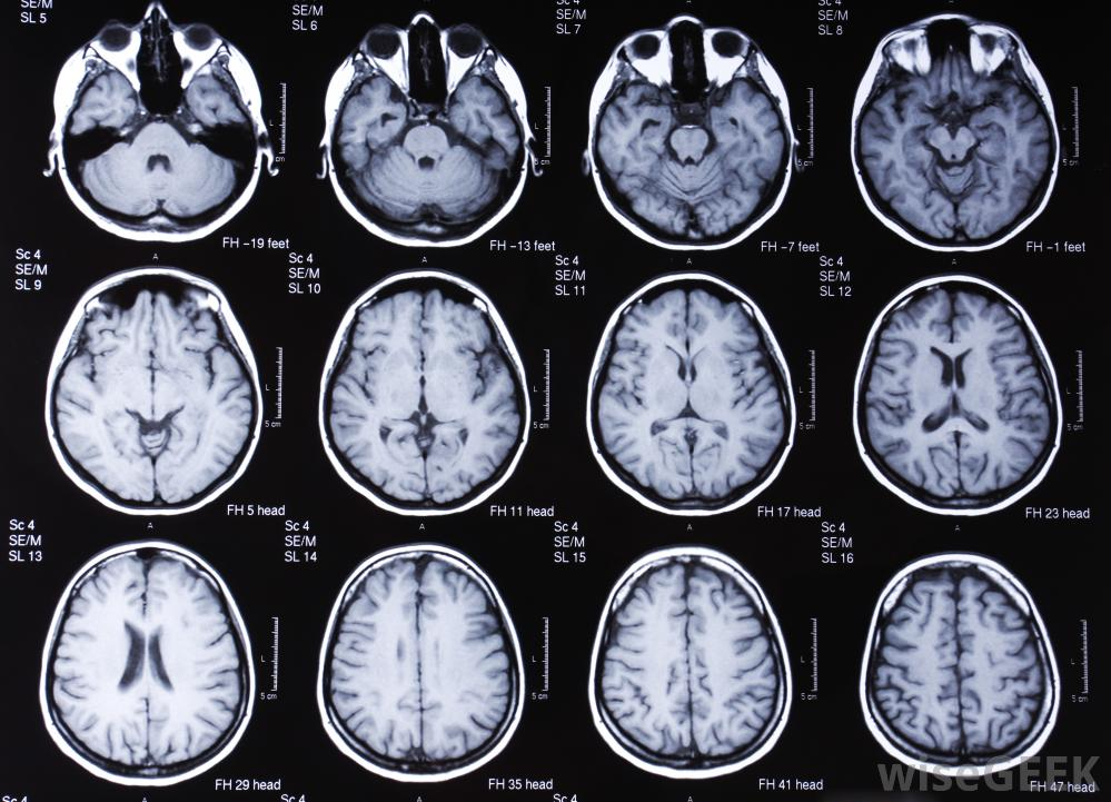
И вот наступил тот день, который изменил все. Которому ничего не предвещало. Как обычно проснулся, умылся, поговорил с мамой и сел обедать. Во время обеда замечаю, что моя рука ведёт себя странно и я не могу контролировать. Отключаюсь и виду перед собой перепуганных родителей. Сначала я не придал значения этому событию, но родители настояли пойти к врачу. Терапевт сказал, что скорее всего ничего серьёзного и просто скачки давления, но на всякий случай отправил к неврологу. Невролог отправил на мрт. Мрт показало объемное кистозно-солидное образование.

Спустя несколько дней консультация у нейрохирурга, до которой ещё была надежда, что ничего серьёзного нет. Но он лишь смог подтвердить, что это онкология. Единственное, что он смог сказать обнадёживающее, так это то, что на мрт опухоль выглядит как доброкачественная. Но до гистологического исследования это лишь предположение.

И вот теперь я лежу в нейрохирургическом отделении одной из Российских больниц и готовлюсь к операции, не зная, как теперь мне жить дальше и даст ли мой недуг мне право на жизнь вообще.