Найти в Дзене
Яжмать и эти дети

Операция во время "короны".

Давным-давно, в декабре 2017 года я сломала лодыжку. Не рассчитала, вернее, переоценила трудолюбие гастарбайтеров из ближнего зарубежья и попыталась взбежать по обледенелым ступенькам на каблуках. Был вечер, в декабре темнеет рано, и поэтому было темно.

Видимо, местный властелин лома и повелитель лопаты решил, что в темноте все равно никто трудов его не оценит и не стал зря инструмент подвергать нагрузкам. Примерно с четвертой ступеньки я и улетела. Жила я тогда на пятом этаже в доме без лифта. Ступеньки, с которых я повторила подвиг Гагарина, вели как раз к подъездной двери моего дома.

Сапоги на каблуках были новые и тугие, чтобы застегнуть их утром, мне приходилось сжимать икры и молиться, кто знает, тот знает, как это. За день беготни ноги немного отекали и расстегнуть вечером их бывало еще сложнее. Сапоги прирастали к ногам и ощущались продолжением.

Упала, встала. Больно, видимо вывих, решила я и потопала наверх. Сдалась я на 4 этаже. Боль была слишком ощутима, чтобы продолжать подниматься домой. Постучала соседям, они позвали родственников. Совместными усилиями меня дотягали до родных дверей.

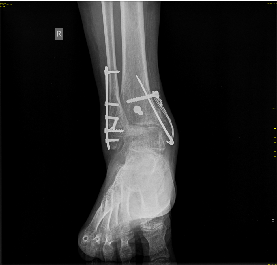
Дома сапог сняли и ножка моя странно перекосилась. Часа через два, уже в больнице выяснилось, что сломав на первом этаже ногу, я усугубила ситуацию, карабкаясь домой, и раздробила кость. В больничке меня подлатали, вставили в одну кость спицу, а другую косточку собрали и закрепили тоже какой-то конструкцией.

Вот так видят меня на просвет в аэропорту.
Вот так видят меня на просвет в аэропорту.

Мечта детства — иметь гипс — сбылась. Не буду рассказывать, как чесалась нога в этом гипсе, как я боролась с нашей медициной потому как мне были положены перевязки через день, а для этого нужно было спуститься с пятого этажа, доехать до травмпункта и там подняться на второй этаж. Что характерно, в моем травмпункте лифт не предусмотрен. Вероятно — естественный отбор. До врачей доберется только тот, кому действительно жизненно необходимо.

Звонила в ОМС, в больницу, где меня оперировали, в поликлинику и непосредственно в травму. Два дня звонила — результат нулевой. Пришлось пригрозить передачей "Пусть говорят." Сказала, что характер у меня так себе, а времени теперь масса, напишу на первый канал Андрюшке Малахову об издевательствах над больными. И в течении часа после моих обещаний, проблема моя решилась. И ровно десять дней, через день, посещал меня заведующий травматологией лично. Посещал и делал перевязки. Швы я уже сама сняла — маникюрными ножницами. Очень уж помыться хотелось.

Прошлым летом пришло время конструкцию из ноги удалять, но ситуация с пандемией повлияла на эту процедуру. Мой врач предложил мне подождать, буквально чуть-чуть, как только больные схлынут из больниц — сразу и прооперируемся. Время идет, и вот уже из каждого утюга нам обещают третью волну "короны". Резервные госпитали заполняются, люди лежат на аренах ледовых дворцов и конца этой напасти не видно. Господин Жириновский вообще пророчит, что пандемия не кончится никогда и надо привыкать жить в рамках своей страны, города и подъезда.

В этом году доктор сказал, что стоит попробовать сделать операцию до"третьей волны". То есть, буквально "приходите завтра". Дело-то говорит плевое. И пока больница принимает на плановые операции надо лечь быстренько и удалить из ноги все инородные предметы.

И вот передо мной дилемма. Добровольно ложиться по соседству с красной зоной или подождать еще годик, два, когда там закончится эта напасть. Между тем, нога чувствует себя хуже, чем в первый год после вмешательства. Отекает, стали видны вены и иногда ноет в плохую погоду. А главное, гнется не очень хорошо. А на принятие решения буквально два дня. Не успею в апреле, неизвестно, получится ли в мае.